TGM6 Antibody

Images

 
Western Blot: TGM6 Antibody [NBP2-75688] - Analysis of TGM6 on different tissue lysates using anti-TGM6 antibody at 1/100 dilution.Positive control:Lane 1 : Mouse brain Lane 2 : Mouse brainLane 3 : Mouse spleen ...read more
Immunocytochemistry/ Immunofluorescence: TGM6 Antibody [NBP2-75688] - Staining TGM6 in 293T cells (green). The nuclear counter stain is DAPI (blue). Cells were fixed in paraformaldehyde, permeabilised with 0.25% Triton ...read more
Immunohistochemistry-Paraffin: TGM6 Antibody [NBP2-75688] - Analysis of paraffin-embedded rat brain tissue using anti-TGM6 antibody. Counter stained with hematoxylin.
Flow Cytometry: TGM6 Antibody [NBP2-75688] - Analysis of 293T cells with TGM6 antibody at 1/100 dilution (red) compared with an unlabelled control (cells without incubation with primary antibody; black). Alexa Fluor ...read more
Immunocytochemistry/ Immunofluorescence: TGM6 Antibody [NBP2-75688] - Staining TGM6 in A549 cells (green). The nuclear counter stain is DAPI (blue). Cells were fixed in paraformaldehyde, permeabilised with 0.25% Triton ...read more
Immunocytochemistry/ Immunofluorescence: TGM6 Antibody [NBP2-75688] - Staining TGM6 in SH-SY5Y cells (green). The nuclear counter stain is DAPI (blue). Cells were fixed in paraformaldehyde, permeabilised with 0.25% ...read more
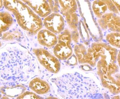
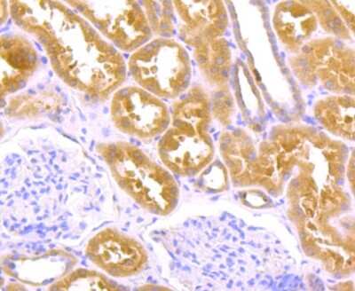
Immunohistochemistry-Paraffin: TGM6 Antibody [NBP2-75688] - Analysis of paraffin-embedded human kidney tissue using anti-TGM6 antibody. Counter stained with hematoxylin.
Immunohistochemistry-Paraffin: TGM6 Antibody [NBP2-75688] - Analysis of paraffin-embedded mouse testis tissue using anti-TGM6 antibody. Counter stained with hematoxylin.
Immunohistochemistry-Paraffin: TGM6 Antibody [NBP2-75688] - Analysis of paraffin-embedded mouse brain tissue using anti-TGM6 antibody. Counter stained with hematoxylin.

Product Details

Summary
Product Discontinued
View other related TGM6 Primary Antibodies

Order Details


    • Catalog Number
      NBP2-75688
    • Availability
      Product Discontinued

    Can't find what you are looking for? Use our Antibody Concierge Service & we will help you locate your antibody!

    Or feel free to contact us for alternative products.

TGM6 Antibody Summary

Immunogen
Synthetic peptide corresponding to N-terminal of Mouse TGM6 (SwissProt: O95932 Human; SwissProt: Q6Y684 Mouse; SwissProt: F1M4T7 Rat)
Localization
Cytoplasm.
Isotype
IgG
Clonality
Polyclonal
Host
Rabbit
Gene
TGM6
Purity
Immunogen affinity purified
Innovator's Reward
Test in a species/application not listed above to receive a full credit towards a future purchase.

Applications/Dilutions

Dilutions
  • Flow Cytometry 1:50-1:100
  • Immunocytochemistry/ Immunofluorescence 1:50-1:200
  • Immunohistochemistry
  • Immunohistochemistry-Paraffin 1:50-1:200
  • Western Blot 1:500
Theoretical MW
79 kDa.
Disclaimer note: The observed molecular weight of the protein may vary from the listed predicted molecular weight due to post translational modifications, post translation cleavages, relative charges, and other experimental factors.

Packaging, Storage & Formulations

Storage
Store at 4C short term. Aliquot and store at -20C long term. Avoid freeze-thaw cycles.
Buffer
PBS (pH7.4), 0.2% BSA, 50% Glycerol
Preservative
0.05% Sodium Azide
Concentration
1 mg/ml
Purity
Immunogen affinity purified

Alternate Names for TGM6 Antibody

  • SCA35
  • TGase-6
  • TGM3L
  • TGM6
  • TGY
  • Transglutaminase 6

Background

TGM6 catalyzes the dephosphorylation and concomitant reactivation of the alpha subunit of the E1 component of thepyruvate dehydrogenase complex

Limitations

This product is for research use only and is not approved for use in humans or in clinical diagnosis. Primary Antibodies are guaranteed for 1 year from date of receipt.

Customers Who Viewed This Item Also Viewed...

AF8691
Species: Hu, Mu, Rt
Applications: IHC, KO, Simple Western, WB
AF4376
Species: Hu, Mu, Rt
Applications: IP, KO, Simple Western, WB
AF1230
Species: Hu, Mu, Rt
Applications: IHC, KO, WB
NBP2-37568
Species: Hu
Applications: ELISA, Flow, ICC/IF, IHC,  IHC-P, WB
NBP1-68874
Species: Hu, Mu, Rt
Applications: PEP-ELISA, WB
NB100-56446
Species: Hu, Mu, Rt
Applications: WB
H00010598-M01
Species: Hu, Mu, Rt
Applications: ELISA, ICC/IF, S-ELISA, WB
NBP2-13304
Species: Hu
Applications: ICC/IF, IHC,  IHC-P, WB
NBP2-00764
Species: Hu, Mu, Rt
Applications: Flow, IHC,  IHC-P, WB
NBP1-81575
Species: Hu, Mu, Rt
Applications: ICC/IF, IHC,  IHC-P, WB
NBP1-86950
Species: Hu
Applications: IHC,  IHC-P, WB
NBP1-87791
Species: Hu, Mu, Rt
Applications: ICC/IF, IHC,  IHC-P, WB
AF2848
Species: Hu, Mu
Applications: ICC, WB
NBP2-34294
Species: Hu, Mu, Rt
Applications: Flow, IHC,  IHC-P
AF5426
Species: Hu
Applications: WB
NB100-81798
Species: Hu, Mu, Rt
Applications: ICC/IF, IHC,  IHC-P, WB
NBP2-94524
Species: Hu, Mu, Rt
Applications: IHC,  IHC-P, WB
NBP2-52508
Species: Hu
Applications: CyTOF-ready, ELISA, Flow, ICC, ICC/IF, IHC,  IHC-P, WB

Publications for TGM6 Antibody (NBP2-75688) (0)

There are no publications for TGM6 Antibody (NBP2-75688).
By submitting your publication information earn gift cards and discounts for future purchases.

Reviews for TGM6 Antibody (NBP2-75688) (0)

There are no reviews for TGM6 Antibody (NBP2-75688). By submitting a review you will receive an Amazon e-Gift Card or Novus Product Discount.
  • Review with no image -- $10/€7/£6/$10 CAD/¥70 Yuan/¥1110 Yen
  • Review with an image -- $25/€18/£15/$25 CAD/¥150 Yuan/¥2500 Yen

Product General Protocols

Find general support by application which include: protocols, troubleshooting, illustrated assays, videos and webinars.

Video Protocols

WB Video Protocol
ICC/IF Video Protocol

FAQs for TGM6 Antibody (NBP2-75688) (0)

There are no specific FAQs related to this product. Read our general customer & technical service FAQs.

Contact Information

Product PDFs

Calculators

Concentration Calculator

The concentration calculator allows you to quickly calculate the volume, mass or concentration of your vial. Simply enter your mass, volume, or concentration values for your reagent and the calculator will determine the rest.

=
÷

Review this Product

Be the first to review our TGM6 Antibody and receive a gift card or discount.

Bioinformatics

Gene Symbol TGM6