SYCE2 Antibody - BSA Free

Images

 
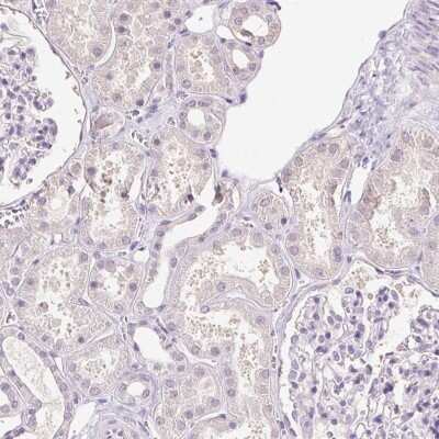
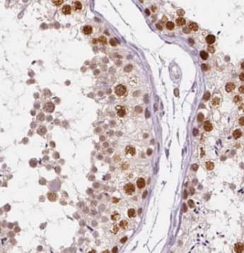
Orthogonal Strategies: Immunohistochemistry-Paraffin: SYCE2 Antibody [NBP1-90637] - Staining in human testis and kidney tissues using anti-SYCE2 antibody. Corresponding SYCE2 RNA-seq data are presented for the ...read more
Immunohistochemistry-Paraffin: SYCE2 Antibody [NBP1-90637] - Staining of human kidney shows low expression as expected.
Immunohistochemistry-Paraffin: SYCE2 Antibody [NBP1-90637] - Staining of human testis shows high expression.

Product Details

Summary
Reactivity HuSpecies Glossary
Applications IHC
Clonality
Polyclonal
Host
Rabbit
Conjugate
Unconjugated
Format
BSA Free
Validated by:
       

Orthogonal Strategies

 

Order Details

View Available Formulations
Catalog# & Formulation Size Price

SYCE2 Antibody - BSA Free Summary

Description
Novus Biologicals Rabbit SYCE2 Antibody - BSA Free (NBP1-90637) is a polyclonal antibody validated for use in IHC. All Novus Biologicals antibodies are covered by our 100% guarantee.
Immunogen
This antibody was developed against Recombinant Protein corresponding to amino acids: IDILQKRAQELIENINKSRQKDHALMTNFRNSLKTKVSDLTEKLEERIYQIYNDHNKIIQEKLQEFTQK
Isotype
IgG
Clonality
Polyclonal
Host
Rabbit
Gene
SYCE2
Purity
Immunogen affinity purified
Innovator's Reward
Test in a species/application not listed above to receive a full credit towards a future purchase.

Applications/Dilutions

Dilutions
  • Immunohistochemistry 1:1000 - 1:2500
  • Immunohistochemistry-Paraffin 1:1000 - 1:2500
Application Notes
For IHC-Paraffin, HIER pH 6 retrieval is recommended.
Control Peptide
SYCE2 Protein (NBP1-90637PEP)

Reactivity Notes

Immunogen displays the following percentage of sequence identity for non-tested species: Mouse (81%), Rat (81%)

Packaging, Storage & Formulations

Storage
Store at 4C short term. Aliquot and store at -20C long term. Avoid freeze-thaw cycles.
Buffer
PBS (pH 7.2) and 40% Glycerol
Preservative
0.02% Sodium Azide
Purity
Immunogen affinity purified

Alternate Names for SYCE2 Antibody - BSA Free

  • central element synaptonemal complex 1
  • central element synaptonemal complex protein 1
  • CESC1
  • synaptonemal complex central element protein 2

Limitations

This product is for research use only and is not approved for use in humans or in clinical diagnosis. Primary Antibodies are guaranteed for 1 year from date of receipt.

Customers Who Viewed This Item Also Viewed...

NB300-229
Species: Ch, Hu(-), Ma, Pm, Mu, Pa, Rt
Applications: ChIP, ChIP, ICC/IF, IHC, IHC-Fr,  IHC-P, IP, Simple Western, WB
NBP1-88971
Species: Hu
Applications: IHC,  IHC-P, WB
NBP1-90989
Species: Hu
Applications: IHC,  IHC-P, WB
AF4928
Species: Hu
Applications: CyTOF-ready, Flow, WB
NBP2-67381
Species: Hu, Mu, Rt
Applications: Flow, ICC/IF, IHC,  IHC-P, IP, KO, WB
NBP2-45515
Species: Ca, Hu, Pm, Mu, Rt
Applications: ICC/IF, IHC,  IHC-P, WB
NBP3-47766
Species: Hu
Applications: ELISA, IHC
NB300-232
Species: Bv, Ch, Fe, Hu, Mu, Pa, Po, Rt
Applications: IB, ICC/IF, IHC, IHC-Fr,  IHC-P, IP, WB
NB100-148
Species: Ch, Hu, Mu, Rt
Applications: ChIP, ICC/IF, IHC, IHC-Fr,  IHC-P, IP, In vitro, KD, PLA, WB
NBP1-90637
Species: Hu
Applications: IHC

Publications for SYCE2 Antibody (NBP1-90637) (0)

There are no publications for SYCE2 Antibody (NBP1-90637).
By submitting your publication information earn gift cards and discounts for future purchases.

Reviews for SYCE2 Antibody (NBP1-90637) (0)

There are no reviews for SYCE2 Antibody (NBP1-90637). By submitting a review you will receive an Amazon e-Gift Card or Novus Product Discount.
  • Review with no image -- $10/€7/£6/$10 CAD/¥70 Yuan/¥1110 Yen
  • Review with an image -- $25/€18/£15/$25 CAD/¥150 Yuan/¥2500 Yen

Product General Protocols

Find general support by application which include: protocols, troubleshooting, illustrated assays, videos and webinars.

FAQs for SYCE2 Antibody (NBP1-90637) (0)

There are no specific FAQs related to this product. Read our general customer & technical service FAQs.

Customers Who Bought This Also Bought

Contact Information

Product PDFs

Calculators

Concentration Calculator

The concentration calculator allows you to quickly calculate the volume, mass or concentration of your vial. Simply enter your mass, volume, or concentration values for your reagent and the calculator will determine the rest.

=
÷

Review this Product

Be the first to review our SYCE2 Antibody - BSA Free and receive a gift card or discount.

Bioinformatics

Gene Symbol SYCE2