SYCE3 Antibody - BSA Free

Images

 
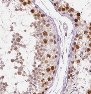
Immunohistochemistry: SYCE3 Antibody - BSA Free [NBP3-47766] - Immunohistochemistry of paraffin-embedded human testis tissue slide using ( SYCE3 Antibody) at dilution of 1:50

Product Details

Summary
Reactivity HuSpecies Glossary
Applications ELISA, IHC
Clonality
Polyclonal
Host
Rabbit
Conjugate
Unconjugated
Format
BSA Free

Order Details

SYCE3 Antibody - BSA Free Summary

Description
Novus Biologicals Rabbit SYCE3 Antibody - BSA Free (NBP3-47766) is a polyclonal antibody validated for use in IHC and ELISA. All Novus Biologicals antibodies are covered by our 100% guarantee.
Immunogen
chromosome 22 open reading frame 41. (Uniprot# A1L190)
Isotype
IgG
Clonality
Polyclonal
Host
Rabbit
Gene
SYCE3
Purity
Immunogen affinity purified
Innovator's Reward
Test in a species/application not listed above to receive a full credit towards a future purchase.

Applications/Dilutions

Dilutions
  • ELISA
  • Immunohistochemistry 1:20-1:200

Packaging, Storage & Formulations

Storage
Store at -20C. Avoid freeze-thaw cycles.
Buffer
PBS, 50% Glycerol, pH (7.3)
Preservative
0.02% Sodium Azide
Purity
Immunogen affinity purified

Alternate Names for SYCE3 Antibody - BSA Free

  • C22orf41
  • SYCE3 synaptonemal complex central element protein 3
  • THEG2

Limitations

This product is for research use only and is not approved for use in humans or in clinical diagnosis. Primary Antibodies are guaranteed for 1 year from date of receipt.

Customers Who Viewed This Item Also Viewed...

NB300-229
Species: Ch, Hu(-), Ma, Pm, Mu, Pa, Rt
Applications: ChIP, ChIP, ICC/IF, IHC, IHC-Fr,  IHC-P, IP, Simple Western, WB
NBP3-41339
Species: Hu, Mu, Rt
Applications: IHC,  IHC-P, WB
NBP1-88971
Species: Hu
Applications: IHC,  IHC-P, WB
H00006947-M12
Species: Hu
Applications: ELISA, IHC,  IHC-P, IP, WB
AF4928
Species: Hu
Applications: CyTOF-ready, Flow, WB
NBP2-67381
Species: Hu, Mu, Rt
Applications: Flow, ICC/IF, IHC,  IHC-P, IP, KO, WB
NBP1-90989
Species: Hu
Applications: IHC,  IHC-P, WB
NBP3-47766
Species: Hu
Applications: ELISA, IHC

Publications for SYCE3 Antibody (NBP3-47766) (0)

There are no publications for SYCE3 Antibody (NBP3-47766).
By submitting your publication information earn gift cards and discounts for future purchases.

Reviews for SYCE3 Antibody (NBP3-47766) (0)

There are no reviews for SYCE3 Antibody (NBP3-47766). By submitting a review you will receive an Amazon e-Gift Card or Novus Product Discount.
  • Review with no image -- $10/€7/£6/$10 CAD/¥70 Yuan/¥1110 Yen
  • Review with an image -- $25/€18/£15/$25 CAD/¥150 Yuan/¥2500 Yen

Product General Protocols

Find general support by application which include: protocols, troubleshooting, illustrated assays, videos and webinars.

FAQs for SYCE3 Antibody (NBP3-47766) (0)

There are no specific FAQs related to this product. Read our general customer & technical service FAQs.

Secondary Antibodies

 

Isotype Controls

Additional SYCE3 Products

Array NBP3-47766

Research Areas for SYCE3 Antibody (NBP3-47766)

Find related products by research area.

Blogs on SYCE3

There are no specific blogs for SYCE3, but you can read our latest blog posts.

Customers Who Bought This Also Bought

Contact Information

Product PDFs

Calculators

Concentration Calculator

The concentration calculator allows you to quickly calculate the volume, mass or concentration of your vial. Simply enter your mass, volume, or concentration values for your reagent and the calculator will determine the rest.

=
÷

Review this Product

Be the first to review our SYCE3 Antibody - BSA Free and receive a gift card or discount.

Bioinformatics

Gene Symbol SYCE3