SUZ12 Antibody (JJ09-04)

Images

 
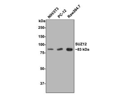
Western Blot: SUZ12 Antibody (JJ09-04) [NBP2-67888] - Analysis of SUZ12 on different lysates with Rabbit anti-SUZ12 antibody at 1/500 dilution. Lane 1: NIH/3T3 cell lysate Lane 2: PC-12 cell lysate Lane 3: Raw264.7 cell ...read more
Immunocytochemistry/ Immunofluorescence: SUZ12 Antibody (JJ09-04) [NBP2-67888] - Staining SUZ12 in SW480 cells (green). The nuclear counter stain is DAPI (blue). Cells were fixed in paraformaldehyde, permeabilised with ...read more
Western Blot: SUZ12 Antibody (JJ09-04) [NBP2-67888] - Analysis of SUZ12 on MCF-7 cells lysates using anti-SUZ12 antibody at 1/1,000 dilution.
Immunocytochemistry/ Immunofluorescence: SUZ12 Antibody (JJ09-04) [NBP2-67888] - Staining SUZ12 in Hela cells (green). The nuclear counter stain is DAPI (blue). Cells were fixed in paraformaldehyde, permeabilised with ...read more
Immunocytochemistry/ Immunofluorescence: SUZ12 Antibody (JJ09-04) [NBP2-67888] - Staining SUZ12 in SKOV-3 cells (green). The nuclear counter stain is DAPI (blue). Cells were fixed in paraformaldehyde, permeabilised with ...read more
Immunocytochemistry/ Immunofluorescence: SUZ12 Antibody (JJ09-04) [NBP2-67888] - Staining SUZ12 in MCF-7 cells (green). The nuclear counter stain is DAPI (blue). Cells were fixed in paraformaldehyde, permeabilised with ...read more

Product Details

Summary
Product Discontinued
View other related SUZ12 Primary Antibodies

Order Details


    • Catalog Number
      NBP2-67888
    • Availability
      Product Discontinued

    Can't find what you are looking for? Use our Antibody Concierge Service & we will help you locate your antibody!

    Or feel free to contact us for alternative products.

SUZ12 Antibody (JJ09-04) Summary

Additional Information
Recombinant Monoclonal Antibody.
Immunogen
Recombinant protein within human SUZ12 aa 1-150/739. (SwissProt: Q15022 Human; SwissProt: Q80U70 Mouse; Entrez Gene: 688041 Rat)
Localization
Nucleus.
Isotype
IgG
Clonality
Monoclonal
Host
Rabbit
Gene
SUZ12
Purity
Protein A purified
Innovator's Reward
Test in a species/application not listed above to receive a full credit towards a future purchase.

Applications/Dilutions

Dilutions
  • Immunocytochemistry/ Immunofluorescence 1:50-1:200
  • Immunoprecipitation
  • Western Blot 1:1000-1:2000

Packaging, Storage & Formulations

Storage
Store at 4C short term. Aliquot and store at -20C long term. Avoid freeze-thaw cycles.
Buffer
TBS (pH7.4), 0.05% BSA, 40% Glycerol
Preservative
0.05% Sodium Azide
Concentration
1 mg/ml
Purity
Protein A purified

Alternate Names for SUZ12 Antibody (JJ09-04)

  • ChET 9 protein
  • CHET9
  • CHET9polycomb protein SUZ12
  • Chromatin precipitated E2F target 9 protein
  • JJAZ1
  • JJAZ1Joined to JAZF1 protein
  • KIAA0160Suppressor of zeste 12 protein homolog
  • suppressor of zeste 12 homolog (Drosophila)
  • SUZ12

Background

This zinc finger gene has been identified at the breakpoints of a recurrent chromosomal translocation reported in endometrial stromal sarcoma. Recombination of these breakpoints results in the fusion of this gene and JAZF1. The protein encoded by this gene contains a zinc finger domain in the C terminus of the coding region. The specific function of this gene has not yet been determined. [provided by RefSeq]

Limitations

This product is for research use only and is not approved for use in humans or in clinical diagnosis. Primary Antibodies are guaranteed for 1 year from date of receipt.

Customers Who Viewed This Item Also Viewed...

AF4767
Species: Hu, Mu
Applications: ICC, WB
AF5827
Species: Hu, Mu
Applications: WB
NB500-171
Species: Hu, I, Mu, Rt, Xp, Ye
Applications: ChIP, IB, ICC/IF, IHC,  IHC-P, Single-Cell Western, WB
NBP3-13885
Species: Hu
Applications: Flow, ICC/IF,  IHC-P, IP, PA, WB
NB200-106
Species: Mu, Rt
Applications: ELISA, ICC/IF, IHC, IHC-Fr,  IHC-P, WB
NB300-155
Species: Hu, Mu, Rt
Applications: ICC/IF, IHC, IHC-Fr,  IHC-P, WB
NBP2-45603
Species: Hu, Mu, Rt
Applications: Flow, IHC,  IHC-P, WB
NBP1-96140
Species: Hu, Mu
Applications: ChIP, Flow-IC, Flow, ICC/IF, IP, WB
NBP1-82454
Species: Hu, Mu
Applications: ICC/IF, IHC,  IHC-P, WB
H00029107-M08
Species: Hu
Applications: ELISA, ICC/IF, KD, S-ELISA, WB
NBP3-38209
Species: Hu, Rt
Applications: ELISA, ICC/IF, IHC,  IHC-P, IP, WB
AF1759
Species: Hu, Mu
Applications: ChIP, ICC, IP, Simple Western, WB
NBP1-90256
Species: Hu
Applications: ChIP-EXO-SEQ, ICC/IF, IHC,  IHC-P, WB
NBP1-06640
Species: Hu, Mu
Applications: Flow, ICC/IF, IHC, WB
NBP3-16627
Species: Hu, Mu, Rt
Applications: ELISA, ICC/IF, IHC,  IHC-P, WB
H00006045-M01
Species: Hu, I, Mu
Applications: ELISA, ICC/IF, KD, S-ELISA, WB
NB600-302
Species: Bv, Dr, Hu, Mu
Applications: ChIP, ELISA, Flow-IC, Flow, IB, ICC/IF, IHC, IHC-Fr,  IHC-P, IP, PLA, S-ELISA, Simple Western, WB
NBP2-67888
Species: Hu, Mu, Rt
Applications: WB, ICC/IF, IP

Publications for SUZ12 Antibody (NBP2-67888) (0)

There are no publications for SUZ12 Antibody (NBP2-67888).
By submitting your publication information earn gift cards and discounts for future purchases.

Reviews for SUZ12 Antibody (NBP2-67888) (0)

There are no reviews for SUZ12 Antibody (NBP2-67888). By submitting a review you will receive an Amazon e-Gift Card or Novus Product Discount.
  • Review with no image -- $10/€7/£6/$10 CAD/¥70 Yuan/¥1110 Yen
  • Review with an image -- $25/€18/£15/$25 CAD/¥150 Yuan/¥2500 Yen

Product General Protocols

Find general support by application which include: protocols, troubleshooting, illustrated assays, videos and webinars.

Video Protocols

WB Video Protocol
ICC/IF Video Protocol

FAQs for SUZ12 Antibody (NBP2-67888) (0)

There are no specific FAQs related to this product. Read our general customer & technical service FAQs.

Secondary Antibodies

 

Isotype Controls

Additional SUZ12 Products

Research Areas for SUZ12 Antibody (NBP2-67888)

Find related products by research area.

Blogs on SUZ12.

Microglia: pruning shears for homeostatic maintenance in the brain
By Jennifer Sokolowski, MD, PhD.Microglia play a critical role in pruning neurons and synapses during homeostatic maintenance in the adult brain.1 A recent study by Ayata et al. (2018) identified regional differe...  Read full blog post.

Contact Information

Product PDFs

Calculators

Concentration Calculator

The concentration calculator allows you to quickly calculate the volume, mass or concentration of your vial. Simply enter your mass, volume, or concentration values for your reagent and the calculator will determine the rest.

=
÷

Review this Product

Be the first to review our SUZ12 Antibody (JJ09-04) and receive a gift card or discount.

Bioinformatics

Gene Symbol SUZ12