SUZ12 Antibody (3D10) - BSA Free

Images

 
Western Blot: SUZ12 Antibody (3D10) [NBP1-51687] - Western blot analysis using SUZ12 mAb against HEK293 (1) and SUZ12-hIgGFc transfected HEK293 (2) cell lysate.
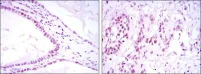
Immunohistochemistry-Paraffin: SUZ12 Antibody (3D10) [NBP1-51687] - Immunohistochemical analysis of paraffin-embedded kidney convoluted tubule tissues (left) and esophageal cancer tissues (right) using SUZ12 mouse mAb ...read more

Product Details

Summary
Product Discontinued
View other related SUZ12 Primary Antibodies

Order Details


    • Catalog Number
      NBP1-51687
    • Availability
      Product Discontinued

    Can't find what you are looking for? Use our Antibody Concierge Service & we will help you locate your antibody!

    Or feel free to contact us for alternative products.

SUZ12 Antibody (3D10) - BSA Free Summary

Immunogen
Purified recombinant fragment of human SUZ12 expressed in E. Coli.
Isotype
IgG1
Clonality
Monoclonal
Host
Mouse
Gene
SUZ12
Purity
Unpurified
Innovator's Reward
Test in a species/application not listed above to receive a full credit towards a future purchase.

Applications/Dilutions

Dilutions
  • ELISA 1:10000
  • Immunohistochemistry 1:10-1:500
  • Immunohistochemistry-Paraffin 1:200-1:1000
  • Western Blot 1:500-1:2000
Theoretical MW
83.1 kDa.
Disclaimer note: The observed molecular weight of the protein may vary from the listed predicted molecular weight due to post translational modifications, post translation cleavages, relative charges, and other experimental factors.

Reactivity Notes

Human

Packaging, Storage & Formulations

Storage
Store at 4C short term. Aliquot and store at -20C long term. Avoid freeze-thaw cycles.
Buffer
Ascites
Preservative
0.03% Sodium Azide
Purity
Unpurified

Alternate Names for SUZ12 Antibody (3D10) - BSA Free

  • ChET 9 protein
  • CHET9
  • CHET9polycomb protein SUZ12
  • Chromatin precipitated E2F target 9 protein
  • JJAZ1
  • JJAZ1Joined to JAZF1 protein
  • KIAA0160Suppressor of zeste 12 protein homolog
  • suppressor of zeste 12 homolog (Drosophila)
  • SUZ12

Background

SUZ12 is a polycomb group (PcG) protein. Component of the PRC2/EED-EZH2 complex, which methylates 'Lys-9' and 'Lys-27' of histone H3, leading to transcriptional repression of the affected target gene. The PRC2/EED-EZH2 complex may also serve as a recruiting platform for DNA methyltransferases, thereby linking two epigenetic repression systems. Genes repressed by the PRC2/EED-EZH2 complex include HOXC8, HOXA9, MYT1 and CDKN2A.

Limitations

This product is for research use only and is not approved for use in humans or in clinical diagnosis. Primary Antibodies are guaranteed for 1 year from date of receipt.

Customers Who Viewed This Item Also Viewed...

AF4767
Species: Hu, Mu
Applications: ICC, WB
AF5827
Species: Hu, Mu
Applications: WB
NB500-171
Species: Hu, I, Mu, Rt, Xp, Ye
Applications: ChIP, IB, ICC/IF, IHC,  IHC-P, Single-Cell Western, WB
NBP3-13885
Species: Hu
Applications: Flow, ICC/IF,  IHC-P, IP, PA, WB
NB200-106
Species: Mu, Rt
Applications: ELISA, ICC/IF, IHC, IHC-Fr,  IHC-P, WB
NB300-155
Species: Hu, Mu, Rt
Applications: ICC/IF, IHC, IHC-Fr,  IHC-P, WB
NBP2-45603
Species: Hu, Mu, Rt
Applications: Flow, IHC,  IHC-P, WB
NBP1-96140
Species: Hu, Mu
Applications: ChIP, Flow-IC, Flow, ICC/IF, IP, WB
NBP1-82454
Species: Hu, Mu
Applications: ICC/IF, IHC,  IHC-P, WB
H00029107-M08
Species: Hu
Applications: ELISA, ICC/IF, KD, S-ELISA, WB
NBP3-38209
Species: Hu, Rt
Applications: ELISA, ICC/IF, IHC,  IHC-P, IP, WB
AF1759
Species: Hu, Mu
Applications: ChIP, ICC, IP, Simple Western, WB
NBP1-90256
Species: Hu
Applications: ChIP-EXO-SEQ, ICC/IF, IHC,  IHC-P, WB
NBP1-06640
Species: Hu, Mu
Applications: Flow, ICC/IF, IHC, WB
NBP3-16627
Species: Hu, Mu, Rt
Applications: ELISA, ICC/IF, IHC,  IHC-P, WB
H00006045-M01
Species: Hu, I, Mu
Applications: ELISA, ICC/IF, KD, S-ELISA, WB
NB600-302
Species: Bv, Dr, Hu, Mu
Applications: ChIP, ELISA, Flow-IC, Flow, IB, ICC/IF, IHC, IHC-Fr,  IHC-P, IP, PLA, S-ELISA, Simple Western, WB
NBP1-51687
Species: Hu
Applications: WB, ELISA, IHC

Publications for SUZ12 Antibody (NBP1-51687) (0)

There are no publications for SUZ12 Antibody (NBP1-51687).
By submitting your publication information earn gift cards and discounts for future purchases.

Reviews for SUZ12 Antibody (NBP1-51687) (0)

There are no reviews for SUZ12 Antibody (NBP1-51687). By submitting a review you will receive an Amazon e-Gift Card or Novus Product Discount.
  • Review with no image -- $10/€7/£6/$10 CAD/¥70 Yuan/¥1110 Yen
  • Review with an image -- $25/€18/£15/$25 CAD/¥150 Yuan/¥2500 Yen

Product General Protocols

Find general support by application which include: protocols, troubleshooting, illustrated assays, videos and webinars.

Video Protocols

WB Video Protocol

FAQs for SUZ12 Antibody (NBP1-51687) (0)

There are no specific FAQs related to this product. Read our general customer & technical service FAQs.

Secondary Antibodies

 

Isotype Controls

Additional SUZ12 Products

Research Areas for SUZ12 Antibody (NBP1-51687)

Find related products by research area.

Blogs on SUZ12.

Microglia: pruning shears for homeostatic maintenance in the brain
By Jennifer Sokolowski, MD, PhD.Microglia play a critical role in pruning neurons and synapses during homeostatic maintenance in the adult brain.1 A recent study by Ayata et al. (2018) identified regional differe...  Read full blog post.

Contact Information

Product PDFs

Calculators

Concentration Calculator

The concentration calculator allows you to quickly calculate the volume, mass or concentration of your vial. Simply enter your mass, volume, or concentration values for your reagent and the calculator will determine the rest.

=
÷

Review this Product

Be the first to review our SUZ12 Antibody (3D10) - BSA Free and receive a gift card or discount.

Bioinformatics

Gene Symbol SUZ12