SNX3 Antibody

Images

 
Western Blot: SNX3 Antibody [NBP2-98615] - Lane A: HL-60 Whole Cell LysateLane B: THP1 Whole Cell LysateLane C: U-251M Whole Cell LysateLysates/proteins at 30 ug per lane.SecondaryGoat Anti-Rabbit IgG (H+L)/HRP at ...read more
Immunocytochemistry/ Immunofluorescence: SNX3 Antibody [NBP2-98615] - Immunofluorescence staining of SNX3 in A431 cells. Cells were fixed with 4% PFA, permeabilzed with 0.1% Triton X-100 in PBS, blocked with 10% serum, ...read more
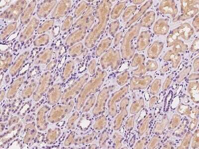
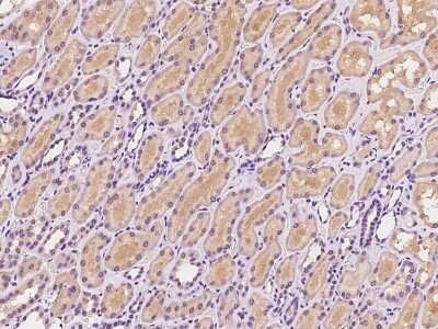
Immunohistochemistry-Paraffin: SNX3 Antibody [NBP2-98615] - Staining of human SNX3 in human kidney with rabbit polyclonal antibody at 1:100 dilution.

Product Details

Summary
Product Discontinued
View other related SNX3 Primary Antibodies

Order Details


    • Catalog Number
      NBP2-98615
    • Availability
      Product Discontinued

    Can't find what you are looking for? Use our Antibody Concierge Service & we will help you locate your antibody!

    Or feel free to contact us for alternative products.

SNX3 Antibody Summary

Description
This antibody can be stored at 2C to 8C for one month without detectable loss of activity. Antibody products are stable for twelve months from date of receipt when stored at -20C to -80C. Avoid repeated freeze-thaw cycles.
Immunogen
Produced in rabbits immunized with E. coli-derived Human SNX3 fragment.
Isotype
IgG
Clonality
Polyclonal
Host
Rabbit
Gene
SNX3
Purity
Antigen Affinity-purified
Innovator's Reward
Test in a species/application not listed above to receive a full credit towards a future purchase.

Applications/Dilutions

Dilutions
  • Immunocytochemistry/ Immunofluorescence 1:50-1:200
  • Immunohistochemistry 1:50-1:200
  • Immunohistochemistry-Paraffin 1:50-1:200
  • Western Blot 1:500-1:2000

Packaging, Storage & Formulations

Storage
Store at 4C short term. Aliquot and store at -20C long term. Avoid freeze-thaw cycles.
Buffer
PBS (pH 7.0)
Preservative
0.03% Proclin 300
Purity
Antigen Affinity-purified

Alternate Names for SNX3 Antibody

  • Grd19
  • MCOPS8
  • MGC17570
  • Protein SDP3
  • SDP3
  • sorting nexin 3
  • sorting nexin 3A
  • sorting nexin-3

Background

The SNX3 gene encodes a member of the sorting nexin family. Members of this family contain a phox (PX) domain, which is a phosphoinositide binding domain, and are involved in intracellular trafficking. This protein does not contain a coiled coil region, like

Limitations

This product is for research use only and is not approved for use in humans or in clinical diagnosis. Primary Antibodies are guaranteed for 1 year from date of receipt.

Customers Who Viewed This Item Also Viewed...

NB100-282
Species: Hu
Applications: ICC/IF, IHC,  IHC-P, WB
AF3926
Species: Hu, Mu, Rt
Applications: Simple Western, WB
NBP3-00253
Species: Hu
Applications: ELISA, IHC,  IHC-P, IP, WB
AF231
Species: Hu
Applications: CyTOF-ready, Dual ISH-IHC, ELISA(Cap), ELISA(Det), ELISA(Sta), Flow, ICC, IHC, IP, Simple Western, WB
NBP2-33667
Species: Hu
Applications: ICC/IF, IHC,  IHC-P, WB
NBP1-87174
Species: Hu, Mu, Rt
Applications: ICC/IF, IHC,  IHC-P, KD, WB
PP-H6506-00
Species: Hu
Applications: DirELISA, IP, WB
NB120-19294
Species: Hu, Mu, Rt
Applications: ICC/IF, IHC,  IHC-P, WB
NBP1-83202
Species: Hu
Applications: ICC/IF, IHC,  IHC-P, WB
236-EG
Species: Hu
Applications: BA
NBP1-55046
Species: Hu
Applications: WB
NBP1-88766
Species: Hu
Applications: ICC/IF, IHC,  IHC-P, WB
NBP2-49242
Species: Hu
Applications: IHC,  IHC-P, WB
NBP1-85630
Species: Hu
Applications: IHC,  IHC-P, WB
NB600-717
Species: Bv
Applications: ELISA, ICC/IF, IHC, IHC-Fr,  IHC-P, RIA, RI, WB
NBP2-45894
Species: Hu, Mu, Rt
Applications: IHC,  IHC-P, WB
NBP1-85921
Species: Hu
Applications: ICC/IF, IHC,  IHC-P, WB
AF2307
Species: Hu
Applications: ELISA(Cap), ELISA(Det), ELISA(Sta), WB
NBP2-32972
Species: Ch, Pm, Hu, Pm, Mu, Rt, Sh
Applications: Flow, ICC/IF, IHC,  IHC-P, WB
NBP2-98615
Species: Hu
Applications: WB, ICC/IF, IHC

Publications for SNX3 Antibody (NBP2-98615) (0)

There are no publications for SNX3 Antibody (NBP2-98615).
By submitting your publication information earn gift cards and discounts for future purchases.

Reviews for SNX3 Antibody (NBP2-98615) (0)

There are no reviews for SNX3 Antibody (NBP2-98615). By submitting a review you will receive an Amazon e-Gift Card or Novus Product Discount.
  • Review with no image -- $10/€7/£6/$10 CAD/¥70 Yuan/¥1110 Yen
  • Review with an image -- $25/€18/£15/$25 CAD/¥150 Yuan/¥2500 Yen

Product General Protocols

Find general support by application which include: protocols, troubleshooting, illustrated assays, videos and webinars.

Video Protocols

WB Video Protocol
ICC/IF Video Protocol

FAQs for SNX3 Antibody (NBP2-98615) (0)

There are no specific FAQs related to this product. Read our general customer & technical service FAQs.

Secondary Antibodies

 

Isotype Controls

Additional SNX3 Products

Research Areas for SNX3 Antibody (NBP2-98615)

Find related products by research area.

Blogs on SNX3

There are no specific blogs for SNX3, but you can read our latest blog posts.

Contact Information

Product PDFs

Calculators

Concentration Calculator

The concentration calculator allows you to quickly calculate the volume, mass or concentration of your vial. Simply enter your mass, volume, or concentration values for your reagent and the calculator will determine the rest.

=
÷

Review this Product

Be the first to review our SNX3 Antibody and receive a gift card or discount.

Bioinformatics

Gene Symbol SNX3