SKA1 Antibody - BSA Free

Images

 
Immunocytochemistry/ Immunofluorescence: SKA1 Antibody [NBP1-92391] - Staining of human cell line U-2 OS shows positivity in cytoskeleton (microtubules). Antibody staining is shown in green.
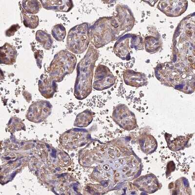
Immunohistochemistry-Paraffin: SKA1 Antibody [NBP1-92391] - Staining of human placenta shows weak cytoplasmic positivity in trophoblastic cells.
Immunohistochemistry-Paraffin: SKA1 Antibody [NBP1-92391] - Staining of human testis shows strong cytoplasmic positivity in cells in seminiferous ducts.
Immunohistochemistry-Paraffin: SKA1 Antibody [NBP1-92391] - Staining of human rectum shows moderate cytoplasmic positivity in lymphoid cells.
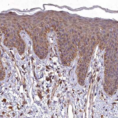
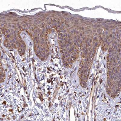
Immunohistochemistry-Paraffin: SKA1 Antibody [NBP1-92391] - Staining of human skin shows moderate cytoplasmic positivity in squamous epithelial cells.

Product Details

Summary
Product Discontinued
View other related SKA1 Primary Antibodies

Order Details


    • Catalog Number
      NBP1-92391
    • Availability
      Product Discontinued

    Can't find what you are looking for? Use our Antibody Concierge Service & we will help you locate your antibody!

    Or feel free to contact us for alternative products.

SKA1 Antibody - BSA Free Summary

Immunogen
This antibody was developed against Recombinant Protein corresponding to amino acids: ELLNKLELEIQYQEQTNNSLKELCESLEEDYKDIEHLKENIPSHLPQVTVTQSCVKGSDLDPEEPIKVEEPEPVKKPPKEQRSIKEM
Isotype
IgG
Clonality
Polyclonal
Host
Rabbit
Gene
SKA1
Purity
Immunogen affinity purified
Innovator's Reward
Test in a species/application not listed above to receive a full credit towards a future purchase.

Applications/Dilutions

Dilutions
  • Immunocytochemistry/ Immunofluorescence 0.25-2 ug/ml
  • Immunohistochemistry 1:20 - 1:50
  • Immunohistochemistry-Paraffin 1:20 - 1:50
Application Notes
For IHC-Paraffin, HIER pH 6 retrieval is recommended. ICC/IF Fixation Permeabilization: Use PFA/Triton X-100.

Packaging, Storage & Formulations

Storage
Store at 4C short term. Aliquot and store at -20C long term. Avoid freeze-thaw cycles.
Buffer
PBS (pH 7.2) and 40% Glycerol
Preservative
0.02% Sodium Azide
Purity
Immunogen affinity purified

Alternate Names for SKA1 Antibody - BSA Free

  • C18orf24
  • chromosome 18 open reading frame 24
  • MGC10200
  • spindle and kinetochore associated complex subunit 1
  • spindle and kinetochore-associated protein 1
  • spindle and KT (kinetochore) associated 1

Background

SKA1 is a component of the SKA1 complex, a microtubule-binding subcomplex of the outer kinetochore that is essentialfor proper chromosome segregation. Required for timely anaphase onset during mitosis, when chromosomes undergo bipolarattachment on spindle microtubu

Limitations

This product is for research use only and is not approved for use in humans or in clinical diagnosis. Primary Antibodies are guaranteed for 1 year from date of receipt.

Customers Who Viewed This Item Also Viewed...

NBP2-32443
Species: Hu
Applications: IHC,  IHC-P
NBP1-88398
Species: Hu
Applications: IHC,  IHC-P, WB
8090-ZN
Species: Hu
Applications: EnzAct
NB200-540
Species: Ec, Mu
Applications: CyTOF-ready, Flow-IC, Flow, IA, ICC/IF, IHC, IHC-Fr,  IHC-P, IP
NB100-338
Species: Ha, Hu, Mar, Mu
Applications: Flow, ICC/IF, IHC, IHC-Fr, IP, PLA, WB
MAB26291
Species: Mu
Applications: IHC
NB100-2586
Species: Hu
Applications: ICC/IF, IP, WB
NB110-40681
Species: Hu, Mu
Applications: IHC,  IHC-P, IP, WB
NB300-731
Species: Gp, Hu, Mu, Rb, Rt, Sh, Ye
Applications: B/N, ChIP, Flow, GS, ICC/IF, IHC,  IHC-P, IP, WB
AF4185
Species: Hu
Applications: ICC
NBP1-88302
Species: Hu
Applications: IHC,  IHC-P, WB
NB100-294
Species: Hu, Mu, Rt
Applications: ICC/IF, IHC,  IHC-P, IP, MiAr, WB
H00000699-D01P
Species: Hu, Mu
Applications: ICC/IF, PLA, WB
NB100-563
Species: Hu
Applications: ICC/IF, IHC,  IHC-P, IP, WB
291-G1
Species: Hu
Applications: BA
NBP1-77086
Species: Hu, Mu, Rt
Applications: ELISA, ICC/IF, IHC,  IHC-P, WB

Publications for SKA1 Antibody (NBP1-92391) (0)

There are no publications for SKA1 Antibody (NBP1-92391).
By submitting your publication information earn gift cards and discounts for future purchases.

Reviews for SKA1 Antibody (NBP1-92391) (0)

There are no reviews for SKA1 Antibody (NBP1-92391). By submitting a review you will receive an Amazon e-Gift Card or Novus Product Discount.
  • Review with no image -- $10/€7/£6/$10 CAD/¥70 Yuan/¥1110 Yen
  • Review with an image -- $25/€18/£15/$25 CAD/¥150 Yuan/¥2500 Yen

Product General Protocols

Find general support by application which include: protocols, troubleshooting, illustrated assays, videos and webinars.

Video Protocols

ICC/IF Video Protocol

FAQs for SKA1 Antibody (NBP1-92391) (0)

There are no specific FAQs related to this product. Read our general customer & technical service FAQs.

Secondary Antibodies

 

Isotype Controls

Additional SKA1 Products

Research Areas for SKA1 Antibody (NBP1-92391)

Find related products by research area.

Blogs on SKA1

There are no specific blogs for SKA1, but you can read our latest blog posts.

Contact Information

Product PDFs

Calculators

Concentration Calculator

The concentration calculator allows you to quickly calculate the volume, mass or concentration of your vial. Simply enter your mass, volume, or concentration values for your reagent and the calculator will determine the rest.

=
÷

Review this Product

Be the first to review our SKA1 Antibody - BSA Free and receive a gift card or discount.

Bioinformatics

Gene Symbol SKA1