Serpin I2 Antibody (02)

Images

 
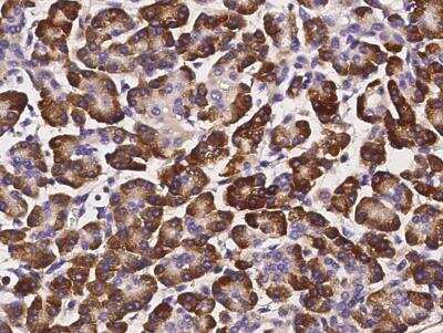
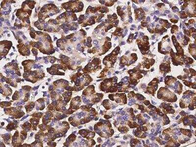
Immunohistochemistry-Paraffin: Serpin I2 Antibody (02) [NBP3-06556] - Staining of human SERPINI2 in human pancreas with mouse monoclonal antibody (1:1000).

Product Details

Summary
Product Discontinued
View other related Serpin I2 Primary Antibodies

Order Details


    • Catalog Number
      NBP3-06556
    • Availability
      Product Discontinued

    Can't find what you are looking for? Use our Antibody Concierge Service & we will help you locate your antibody!

    Or feel free to contact us for alternative products.

Serpin I2 Antibody (02) Summary

Description
This antibody can be stored at 2C-8C for one month without detectable loss of activity. Antibody products are stable for twelve months from date of receipt when stored at -20C to -80C. Avoid repeated freeze-thaw cycles.
Immunogen
This antibody was produced from a hybridoma resulting from the fusion of a mouse myeloma with B cells obtained from a mouse immunized with purified, recombinant Human Serpin I2 (NP_006208.1; Met1-Leu405).
Isotype
IgG
Clonality
Monoclonal
Host
Mouse
Gene
SERPINI2
Purity
Protein A purified
Innovator's Reward
Test in a species/application not listed above to receive a full credit towards a future purchase.

Applications/Dilutions

Dilutions
  • Immunohistochemistry
  • Immunohistochemistry-Paraffin 1:500-1:2000

Packaging, Storage & Formulations

Storage
Store at 4C short term. Aliquot and store at -20C long term. Avoid freeze-thaw cycles.
Buffer
0.2 um filtered solution in PBS
Preservative
No Preservative
Purity
Protein A purified

Alternate Names for Serpin I2 Antibody (02)

  • MEPI
  • MEPIpancpin
  • Myoepithelium-derived serine protease inhibitor
  • Pancipin
  • Pancpin
  • Pancreas-specific protein TSA2004
  • Peptidase inhibitor 14
  • PI14
  • PI-14
  • PI14clade I (neuroserpin), member 2
  • protease inhibitor 14
  • serine (or cysteine) proteinase inhibitor, clade I (pancpin), member 2
  • Serpin I2
  • serpin peptidase inhibitor, clade I (pancpin), member 2
  • SERPIN12

Background

SERPINI2 is encoded by this gene is a member of the serine protease inhibitor (serpin) superfamily made up of proteins which play central roles in the regulation of a wide variety of physiological processes, including coagulation, fibrinolysis, development, malignancy and inflammation. The gene product may have a role in a growth-control, possibly growth-suppressing pathway and, when impaired, may be involved in pancreatic carcinogenesis. The protein is a member of the plasminogen activator inhibitor-1 family, a subset of the serpin superfamily whose members act as tissue-specific tPA inhibitors. Two alternatively spliced transcript variants encoding distinct protein isoforms have been found for this gene.

Limitations

This product is for research use only and is not approved for use in humans or in clinical diagnosis. Primary Antibodies are guaranteed for 1 year from date of receipt.

Customers Who Viewed This Item Also Viewed...

NBP2-19561
Species: Hu, Mu, Rt
Applications: ICC/IF, IHC, IHC-Fr,  IHC-P, WB
NBP1-56929
Species: Hu
Applications: IHC,  IHC-P, WB
NBP1-19773
Species: Hu, Mu, Rt
Applications: ELISA, ICC/IF, IHC, IHC-Fr,  IHC-P, WB
NB100-1529
Species: Hu, Mu, Rt
Applications: Flow, IHC,  IHC-P, PEP-ELISA, WB
NBP2-38323
Species: Hu
Applications: ICC/IF, IHC,  IHC-P, WB
NBP1-33188
Species: Hu, Mu
Applications: ICC/IF, IHC,  IHC-P, IP, WB
NB600-930
Species: Hu, Rt
Applications: ELISA, WB
NBP1-85351
Species: Hu, Mu, Rt
Applications: ICC/IF, IHC,  IHC-P, WB
NBP2-58068
Species: Hu, Rt
Applications: ICC/IF, IHC,  IHC-P
NBP2-07996
Species: Hu
Applications: WB
NLS3775
Species: Hu, Pm
Applications: ICC/IF, IHC,  IHC-P
2980-PI
Species: Hu
Applications: InhibAct
NBP2-52486
Species: Hu
Applications: CyTOF-ready, ELISA, Flow, ICC/IF, IHC,  IHC-P, WB
AF3688
Species: Mu
Applications: CyTOF-ready, Flow, ICC, WB
NBP2-73636
Species: Ca, Hu, Pm, Mu, Pm, Rt
Applications: CyTOF-ready, Flow, WB
NBP3-46186
Species: Hu, Mu, Rt
Applications: ELISA, IHC, IP, WB
NBP2-41211
Species: Hu, Mu, Rt
Applications: ELISA, ICC/IF, IHC,  IHC-P, WB
NBP3-06556
Species: Hu
Applications: IHC

Publications for Serpin I2 Antibody (NBP3-06556) (0)

There are no publications for Serpin I2 Antibody (NBP3-06556).
By submitting your publication information earn gift cards and discounts for future purchases.

Reviews for Serpin I2 Antibody (NBP3-06556) (0)

There are no reviews for Serpin I2 Antibody (NBP3-06556). By submitting a review you will receive an Amazon e-Gift Card or Novus Product Discount.
  • Review with no image -- $10/€7/£6/$10 CAD/¥70 Yuan/¥1110 Yen
  • Review with an image -- $25/€18/£15/$25 CAD/¥150 Yuan/¥2500 Yen

Product General Protocols

Find general support by application which include: protocols, troubleshooting, illustrated assays, videos and webinars.

FAQs for Serpin I2 Antibody (NBP3-06556) (0)

There are no specific FAQs related to this product. Read our general customer & technical service FAQs.

Contact Information

Product PDFs

Calculators

Concentration Calculator

The concentration calculator allows you to quickly calculate the volume, mass or concentration of your vial. Simply enter your mass, volume, or concentration values for your reagent and the calculator will determine the rest.

=
÷

Review this Product

Be the first to review our Serpin I2 Antibody (02) and receive a gift card or discount.

Bioinformatics

Gene Symbol SERPINI2