SERCA1 ATPase Antibody (IIH11)

Images

 
Western Blot: SERCA1 ATPase Antibody (IIH11) [NB120-2818] - Analysis of 25 ug of human skeletal muscle (lane 1), rat skeletal muscle (lane 2) and mouse skeletal muscle (lane 3) onto an SDS polyacrylamide gel.
Immunocytochemistry/ Immunofluorescence: SERCA1 ATPase Antibody (IIH11) [NB120-2818] - Analysis of SERCA1 ATPase using Anti-SERCA1 ATPase Monoclonal Antibody (IIH11) shows staining in C6 Cells. SERCA1 ATPase staining ...read more
Immunohistochemistry-Paraffin: SERCA1 ATPase Antibody (IIH11) [NB120-2818] - Immunolocalization of SERCA1 ATPase in canine skeletal muscle.
Immunohistochemistry-Paraffin: SERCA1 ATPase Antibody (IIH11) [NB120-2818] - Normal biopsies of deparaffinized Mouse heart tissue.
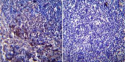
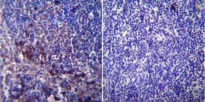
Immunohistochemistry-Paraffin: SERCA1 ATPase Antibody (IIH11) [NB120-2818] - Normal biopsies of deparaffinized Mouse lymph node tissue.
Immunohistochemistry-Paraffin: SERCA1 ATPase Antibody (IIH11) [NB120-2818] - Normal biopsies of deparaffinized Mouse skeletal muscle tissue.

Product Details

Summary
Product Discontinued
View other related SERCA1 ATPase Primary Antibodies

Order Details


    • Catalog Number
      NB120-2818
    • Availability
      Product Discontinued

    Can't find what you are looking for? Use our Antibody Concierge Service & we will help you locate your antibody!

    Or feel free to contact us for alternative products.

SERCA1 ATPase Antibody (IIH11) Summary

Immunogen
Purified rabbit skeletal muscle sarcoplasmic reticulum.
Epitope
This antibody recognizes an epitope between amino acids 199-505 of rabbit skeletal muscle ATPase, a region that is not exposed in native sarcoplasmic reticulum.
Specificity
The NB120-2818 antigen is purified rabbit skeletal muscle sarcoplasmic reticulum. This recognizes an epitope between amino acids 199-505 of rabbit skeletal muscle ATPase, a region that is not exposed in native sarcoplasmic reticulum.
Isotype
IgG1
Clonality
Monoclonal
Host
Mouse
Gene
ATP2A1
Purity
Unpurified
Innovator's Reward
Test in a species/application not listed above to receive a full credit towards a future purchase.

Applications/Dilutions

Dilutions
  • Immunocytochemistry/ Immunofluorescence 1:500
  • Immunohistochemistry 1:10 - 1:500
  • Immunohistochemistry-Frozen 1:20 - 1:200
  • Immunohistochemistry-Paraffin 1:10 - 1:500
  • Western Blot 1:500 - 1:5000
Application Notes
WB: Detects an approx. 110 kDa protein representing SERCA 1 ATPase in canine skeletal muscle extracts. IF: Staining of SERCA 1 ATPase in canine skeletal muscle with results in strong labeling of the entire type II (fast) myofiber.

Reactivity Notes

Please note that this antibody is reactive to Mouse and derived from the same host, Mouse. Additional Mouse on Mouse blocking steps may be required for IHC and ICC experiments. Please contact Technical Support for more information.

Packaging, Storage & Formulations

Storage
Store at -20C. Avoid freeze-thaw cycles.
Buffer
Ascites diluted with PBS
Preservative
0.05% Sodium Azide
Purity
Unpurified

Alternate Names for SERCA1 ATPase Antibody (IIH11)

  • ATP2A
  • ATP2A1
  • ATPase, Ca++ transporting, cardiac muscle, fast twitch 1
  • Calcium pump 1
  • Calcium-transporting ATPase sarcoplasmic reticulum type, fast twitch skeletalmuscle isoform
  • EC 3.6.3
  • EC 7.2.2.10
  • Endoplasmic reticulum class 1/2 Ca(2+) ATPase
  • sarcoplasmic/endoplasmic reticulum calcium ATPase 1
  • SERCA1 ATPase
  • SERCA1
  • SERCA1EC 3.6.3.8
  • SR Ca(2+)-ATPase 1

Background

ATP dependent calcium pumps are responsible, in part, for the maintenance of low cytoplasmic free calcium concentrations. The ATP pumps that reside in intracellular organelles are encoded by a family of structurally related enzymes, termed the sarcoplasmic or endoplasmic reticulum calcium (SERCA) ATPases. The SERCA1 gene is exclusively expressed in type II (fast) skeletal muscle. The SERCA2 gene is subject to tissue dependent processing which is responsible for the generation of SERCA2a muscle-specific form expressed in type I (slow) skeletal, cardiac and smooth muscle and the SERCA2b isoform expressed in all cell types. The SERCA3 gene is not as well characterized and is found in non-muscle cells.

Limitations

This product is for research use only and is not approved for use in humans or in clinical diagnosis. Primary Antibodies are guaranteed for 1 year from date of receipt.

Customers Who Viewed This Item Also Viewed...

NB300-581
Species: Am, Ca, Gp, Hu, Mu, Po, Rb, Rt, Sh
Applications: Flow, ICC/IF, IHC, IHC-Fr,  IHC-P, IP, Simple Western, WB
MAB5745
Species: Hu
Applications: IHC, WB
NBP1-86125
Species: Hu
Applications: IHC,  IHC-P
NBP2-19807
Species: Hu, Mu, Po, Rt
Applications: ICC/IF, IHC,  IHC-P, WB
H00000489-M01
Species: Hu
Applications: ELISA, IHC,  IHC-P, WB
NBP1-85010
Species: Hu
Applications: IHC,  IHC-P
NB300-543
Species: Am, Bv, Ca, Ma, Fi, Hu, Ma-Mn, Mu, Pm, Rb, Rt, Sh
Applications: B/N, ICC/IF, IHC, IHC-Fr,  IHC-P, IP, WB
H00151056-B01P
Species: Hu, Mu
Applications: WB
NB400-111
Species: Hu, Mu(-)
Applications: ICC/IF, IHC, IHC-Fr, WB
NBP3-45890
Species: Hu, Mu, Rt
Applications: ELISA, ICC/IF, IHC
NB120-3529
Species: Hu, Po, Rt
Applications: ELISA, IHC, IHC-Fr,  IHC-P, WB
NBP2-43648
Species: Hu, Mu, Rt, Ze
Applications: ICC/IF, IHC,  IHC-P, WB
NB300-578
Species: Am, Ca, Ch, Fe, Ha, Hu, Mu, Po, Pm, Rb, Rt, Sh
Applications: Flow, ICC/IF, IHC, IHC-Fr,  IHC-P, IP, WB
NBP1-89522
Species: Hu, Mu, Rt
Applications: ICC/IF, IHC,  IHC-P, WB
NB120-6405
Species: Rt
Applications: B/N, CyTOF-ready, EM, ELISA, Flow-IC, Flow, ICC/IF, IHC, IHC-Fr,  IHC-P, IP
NBP2-93891
Species: Hu, Mu, Rt
Applications: WB
NBP2-92630
Species: Hu, Mu, Rt
Applications: ELISA, ICC/IF, IHC,  IHC-P, WB
NBP2-80143
Species: Am, Bv, Ca, Ch, Fi, Gp, Hu, Mu, Po, Rb, Rt
Applications: Flow, ICC/IF, IHC, IHC-Fr,  IHC-P, IP, WB

Publications for SERCA1 ATPase Antibody (NB120-2818) (0)

There are no publications for SERCA1 ATPase Antibody (NB120-2818).
By submitting your publication information earn gift cards and discounts for future purchases.

Reviews for SERCA1 ATPase Antibody (NB120-2818) (0)

There are no reviews for SERCA1 ATPase Antibody (NB120-2818). By submitting a review you will receive an Amazon e-Gift Card or Novus Product Discount.
  • Review with no image -- $10/€7/£6/$10 CAD/¥70 Yuan/¥1110 Yen
  • Review with an image -- $25/€18/£15/$25 CAD/¥150 Yuan/¥2500 Yen

Product General Protocols

Find general support by application which include: protocols, troubleshooting, illustrated assays, videos and webinars.

Video Protocols

WB Video Protocol
ICC/IF Video Protocol

FAQs for SERCA1 ATPase Antibody (NB120-2818) (0)

There are no specific FAQs related to this product. Read our general customer & technical service FAQs.

Secondary Antibodies

 

Isotype Controls

Additional SERCA1 ATPase Products

Research Areas for SERCA1 ATPase Antibody (NB120-2818)

Find related products by research area.

Blogs on SERCA1 ATPase.

Mending a Broken Heart: New SERCA2 Gene Therapy Fights Heart Disease
While many of the proteins on our antibody database are studied in relation to their expression in diseases; others become therapies in their own right. This is the case with SERCA2 (Sarcoplasmic reticulum Calcium-ATPase 2 pump), which recently hit th...  Read full blog post.

Contact Information

Product PDFs

Calculators

Concentration Calculator

The concentration calculator allows you to quickly calculate the volume, mass or concentration of your vial. Simply enter your mass, volume, or concentration values for your reagent and the calculator will determine the rest.

=
÷

Review this Product

Be the first to review our SERCA1 ATPase Antibody (IIH11) and receive a gift card or discount.

Bioinformatics

Gene Symbol ATP2A1
Entrez