SDHA Antibody (JM10-83)

Images

 
Western Blot: SDHA Antibody (JM10-83) [NBP2-67130] - Western blot analysis of SDHA on different cell lysates using anti-SDHA antibody at 1/500 dilution. Positive control: Lane 1:HepG2 Lane 2:SHG44
Immunocytochemistry/ Immunofluorescence: SDHA Antibody (JM10-83) [NBP2-67130] - Staining SDHA in NIH-3T3 cells (red). The nuclear counter stain is DAPI (blue). Cells were fixed in paraformaldehyde, permeabilised with ...read more
Immunohistochemistry-Paraffin: SDHA Antibody (JM10-83) [NBP2-67130] - Analysis of paraffin-embedded zebrafish tissue using anti-SDHA antibody. Counter stained with hematoxylin.
Flow Cytometry: SDHA Antibody (JM10-83) [NBP2-67130] - Flow cytometric analysis of Hela cells with SDHA antibody at 1/50 dilution (red) compared with an unlabeled control (cells without incubation with primary antibody; ...read more
Western Blot: SDHA Antibody (JM10-83) [NBP2-67130] - Analysis of SDHA on Jurkat cells lysates using anti-SDHA antibody at 1/500 dilution.
Immunocytochemistry/ Immunofluorescence: SDHA Antibody (JM10-83) [NBP2-67130] - Staining SDHA in HepG2 cells (red). The nuclear counter stain is DAPI (blue). Cells were fixed in paraformaldehyde, permeabilised with ...read more
Immunocytochemistry/ Immunofluorescence: SDHA Antibody (JM10-83) [NBP2-67130] - Staining SDHA in MCF-7 cells (red). The nuclear counter stain is DAPI (blue). Cells were fixed in paraformaldehyde, permeabilised with ...read more
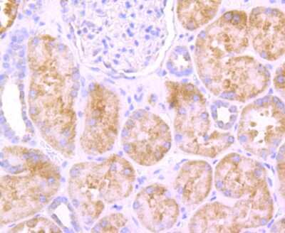
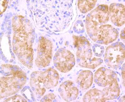
Immunohistochemistry-Paraffin: SDHA Antibody (JM10-83) [NBP2-67130] - Analysis of paraffin-embedded human kidney tissue using anti-SDHA antibody. Counter stained with hematoxylin.
Immunohistochemistry-Paraffin: SDHA Antibody (JM10-83) [NBP2-67130] - Analysis of paraffin-embedded human liver tissue using anti-SDHA antibody. Counter stained with hematoxylin.
Immunohistochemistry-Paraffin: SDHA Antibody (JM10-83) [NBP2-67130] - Analysis of paraffin-embedded mouse colon tissue using anti-SDHA antibody. Counter stained with hematoxylin.
Immunohistochemistry-Paraffin: SDHA Antibody (JM10-83) [NBP2-67130] - Analysis of paraffin-embedded mouse skeletal muscle tissue using anti-SDHA antibody. Counter stained with hematoxylin.
Immunohistochemistry-Paraffin: SDHA Antibody (JM10-83) [NBP2-67130] - Analysis of paraffin-embedded mouse testis tissue using anti-SDHA antibody. Counter stained with hematoxylin.

Product Details

Summary
Product Discontinued
View other related SDHA Primary Antibodies

Order Details


    • Catalog Number
      NBP2-67130
    • Availability
      Product Discontinued

    Can't find what you are looking for? Use our Antibody Concierge Service & we will help you locate your antibody!

    Or feel free to contact us for alternative products.

SDHA Antibody (JM10-83) Summary

Additional Information
Recombinant Monoclonal Antibody.
Immunogen
Synthetic peptide within Human SDHA aa 581-624 / 664. (SwissProt: P31040 Human; SwissProt: Q8K2B3 Mouse; SwissProt: Q920L2 Rat)
Localization
Membrane, Mitochondrion, Mitochondrion inner membrane.
Isotype
IgG
Clonality
Monoclonal
Host
Rabbit
Gene
SDHA
Purity
Protein A purified
Innovator's Reward
Test in a species/application not listed above to receive a full credit towards a future purchase.

Applications/Dilutions

Dilutions
  • Flow Cytometry 1:50-1:100
  • Immunocytochemistry/ Immunofluorescence 1:50-1:200
  • Immunohistochemistry
  • Immunohistochemistry-Paraffin 1:50-1:5000
  • Western Blot 1:500-1:1000
Reviewed Applications
Read 1 Review rated 5
using
NBP2-67130 in the following applications:

Packaging, Storage & Formulations

Storage
Store at 4C short term. Aliquot and store at -20C long term. Avoid freeze-thaw cycles.
Buffer
TBS (pH7.4), 0.05% BSA, 40% Glycerol
Preservative
0.05% Sodium Azide
Concentration
1 mg/ml
Purity
Protein A purified

Alternate Names for SDHA Antibody (JM10-83)

  • CMD1GG
  • flavoprotein subunit of complex II
  • FP
  • MC2DN1
  • NDAXOA
  • PGL5
  • PPGL5
  • SDH1
  • SDH2
  • SDHA
  • SDHF
  • succinate dehydrogenase complex, subunit A, flavoprotein (Fp)

Background

The SDHA gene encodes a major catalytic subunit of succinate-ubiquinone oxidoreductase, a complex of the mitochondrial respiratory chain. The complex is composed of four nuclear-encoded subunits and is localized in the mitochondrial inner membrane. Mutations

Limitations

This product is for research use only and is not approved for use in humans or in clinical diagnosis. Primary Antibodies are guaranteed for 1 year from date of receipt.

Customers Who Viewed This Item Also Viewed...

NBP1-87069
Species: Hu, Mu, Rt
Applications: ICC/IF, IHC,  IHC-P, KD, Simple Western, WB
NB100-2737
Species: Hu
Applications: ICC/IF, IHC, IP, WB
NBP1-87822
Species: Hu, Mu, Rt
Applications: ICC/IF, IHC,  IHC-P, KD, WB
NBP1-28872
Species: Hu
Applications: ELISA, ICC/IF, IHC, IHC-Fr,  IHC-P, WB
MEP00B
Species: Mu
Applications: ELISA
NBP2-92856
Species: Hu, Mu, Rt
Applications: ELISA, ICC/IF, IHC,  IHC-P, IP, WB
H00005729-B01P
Species: Hu
Applications: Flow, ICC/IF, WB
NBP2-48836
Species: Ca, Hu
Applications: ICC/IF, IHC,  IHC-P
DPG00
Species: Hu
Applications: ELISA
NLS3890
Species: Bv, Hu, Pm, Pm
Applications: IHC,  IHC-P
NLS975
Species: Bt, Hu, Pm, Pm
Applications: IHC,  IHC-P
NBP3-16740
Species: Hu, Mu, Rt
Applications: ICC/IF, IHC,  IHC-P, WB
NBP3-37905
Species: Hu, Mu, Rt
Applications: ELISA, ICC/IF, IHC,  IHC-P, WB
NBP2-01506
Species: Hu
Applications: Flow, ICC/IF, IHC,  IHC-P, WB
NBP1-92372
Species: Hu
Applications: IHC,  IHC-P
NBP2-45978
Species: Hu
Applications: Flow, IHC,  IHC-P, WB
NBP2-67130
Species: Hu, Mu, Rt, Ze
Applications: WB, Flow, ICC/IF, IHC

Publications for SDHA Antibody (NBP2-67130) (0)

There are no publications for SDHA Antibody (NBP2-67130).
By submitting your publication information earn gift cards and discounts for future purchases.

Review for SDHA Antibody (NBP2-67130) (1) 51

Average Rating: 5
(Based on 1 review)
We have 1 review tested in 1 species: Mouse.

Reviews using NBP2-67130:
Filter by Applications
WB
(1)
All Applications
Filter by Species
Mouse
(1)
All Species
Images Ratings Applications Species Date Details
Western Blot SDHA NBP2-67130
Enlarge
5
reviewed by:
zhenqi zhou
WB Mouse 03/12/2019
View

Summary

ApplicationWestern Blot
Sample Testedc2c12
SpeciesMouse
Lothk0213

Product General Protocols

Find general support by application which include: protocols, troubleshooting, illustrated assays, videos and webinars.

Video Protocols

WB Video Protocol
ICC/IF Video Protocol

FAQs for SDHA Antibody (NBP2-67130) (0)

There are no specific FAQs related to this product. Read our general customer & technical service FAQs.

Secondary Antibodies

 

Isotype Controls

Additional SDHA Products

Research Areas for SDHA Antibody (NBP2-67130)

Find related products by research area.

Blogs on SDHA.

SDHA - oxidative enzyme in the citric acid cycle
Succinate dehydrogenase is an important tetrameric protein involved in the citric acid cycle. It is localized to the inner mitochondrial membrane of cells. Succinate dehydrogenase makes up Complex II of the electron transport chain (ETC) and is re...  Read full blog post.

SDHA - An essential Krebs cycle enzyme with role in cancer and metabolism
Succinate dehydrogenase (SDH) is a highly conserved protein complex located on the inner mitochondrial membrane where it functions during the Krebs cycle by oxidizing succinate to fumarate (1). This reaction is also important for feeding electrons ...  Read full blog post.

Contact Information

Product PDFs

Calculators

Concentration Calculator

The concentration calculator allows you to quickly calculate the volume, mass or concentration of your vial. Simply enter your mass, volume, or concentration values for your reagent and the calculator will determine the rest.

=
÷

Recent Reviews

5
5
1
4
0
3
0
2
0
1
0

zhenqi zhou
03/12/2019
Application: WB
Species: Mouse

Bioinformatics

Gene Symbol SDHA