RSHL1 Antibody - BSA Free

Images

 
Immunohistochemistry-Paraffin: RSHL1 Antibody [NBP1-92356] - Staining of human testis shows strong cytoplasmic positivity in subset of cells in seminiferus ducts.
Immunohistochemistry-Paraffin: RSHL1 Antibody [NBP1-92356] - Staining of human prostate shows low expression as expected.
Immunohistochemistry-Paraffin: RSHL1 Antibody [NBP1-92356] - Staining of human skeletal muscle shows no positivity as expected.
Immunohistochemistry-Paraffin: RSHL1 Antibody [NBP1-92356] - Staining of human testis shows moderate positivity in spermatocytes.
Orthogonal Strategies: Analysis in human testis and skeletal muscle tissues using NBP1-92356 antibody. Corresponding RSPH6A RNA-seq data are presented for the same tissues.
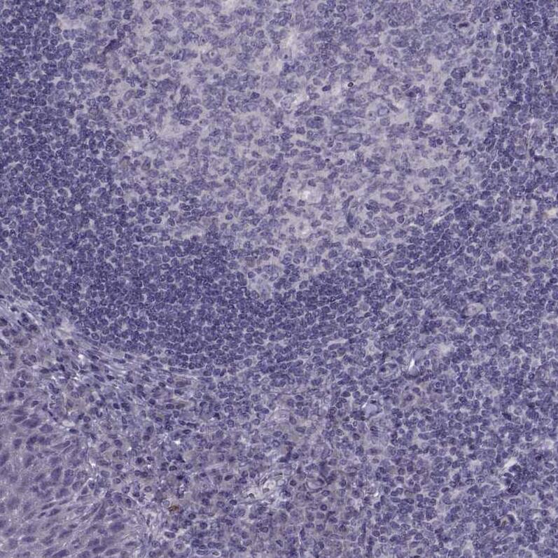
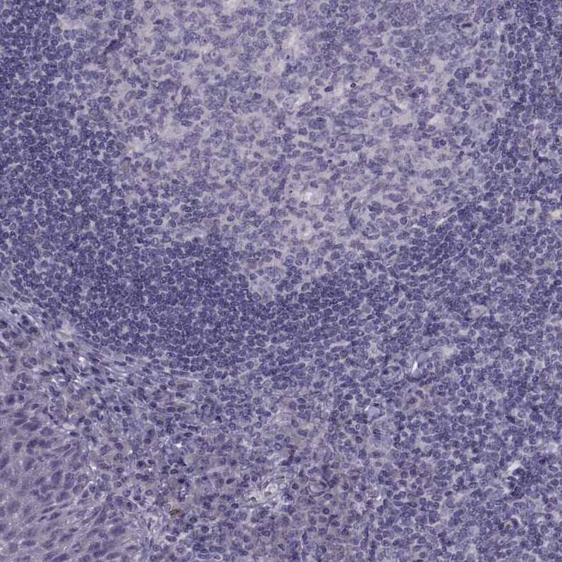
Staining of human tonsil shows no positivity in non-germinal center cells as expected.

Product Details

Summary
Reactivity HuSpecies Glossary
Applications IHC
Clonality
Polyclonal
Host
Rabbit
Conjugate
Unconjugated
Format
BSA Free
Validated by:
       

Orthogonal Strategies

 

Order Details

View Available Formulations
Catalog# & Formulation Size Price

RSHL1 Antibody - BSA Free Summary

Description
Novus Biologicals Rabbit RSHL1 Antibody - BSA Free (NBP1-92356) is a polyclonal antibody validated for use in IHC. All Novus Biologicals antibodies are covered by our 100% guarantee.
Immunogen
This antibody was developed against Recombinant Protein corresponding to amino acids: LTTSLMLQRLQQGQSSLFQQLDPTFQEPPVNPLGQFNLYQTDQFSEGAQHGPYIRDDPALQFLPSELGFPHYSAQVP
Isotype
IgG
Clonality
Polyclonal
Host
Rabbit
Gene
RSPH6A
Purity
Affinity purified
Innovator's Reward
Test in a species/application not listed above to receive a full credit towards a future purchase.

Applications/Dilutions

Dilutions
  • Immunohistochemistry 1:200 - 1:500
  • Immunohistochemistry-Paraffin 1:200 - 1:500
Application Notes
For IHC-Paraffin, HIER pH 6 retrieval is recommended.
Control Peptide
RSHL1 Protein (NBP1-92356PEP)

Packaging, Storage & Formulations

Storage
Store at 4C short term. Aliquot and store at -20C long term. Avoid freeze-thaw cycles.
Buffer
PBS (pH 7.2) and 40% Glycerol
Preservative
0.02% Sodium Azide
Purity
Affinity purified

Alternate Names for RSHL1 Antibody - BSA Free

  • ortholog of mouse radial spokehead-like 1
  • radial spoke head 6 homolog A (Chlamydomonas)
  • radial spoke head protein 6 homolog A
  • radial spokehead-like 1
  • RSHL1Radial spoke head-like protein 1
  • RSP4
  • RSP6
  • RSPH4B

Background

RSHL1 - radial spokehead-like 1

Limitations

This product is for research use only and is not approved for use in humans or in clinical diagnosis. Primary Antibodies are guaranteed for 1 year from date of receipt.

Customers Who Viewed This Item Also Viewed...

NBP1-18885
Species: Hu
Applications: ICC/IF, IHC,  IHC-P, IP, KO, WB
AF7355
Species: Hu
Applications: ICC, Simple Western, WB
NB100-355
Species: Bv, Ca, Ch, Hu, Mu, Po, Pm, Rt, Xp
Applications: CyTOF-ready, Flow, ICC/IF, IF, IHC, IHC-Fr,  IHC-P, IP, In vivo, KO, Simple Western, WB
AF1916
Species: Hu
Applications: ICC, IHC, WB
NBP1-82029
Species: Hu, Mu, Rt
Applications: ICC/IF, IHC,  IHC-P, WB
NBP3-46646
Species: Hu, Mu, Rt
Applications: ELISA, IHC, WB
NBP2-14871
Species: Mu, Rt
Applications: ICC/IF, WB
NBP3-15868
Species: Hu, Mu, Rt
Applications: ELISA, ICC/IF, IHC,  IHC-P, WB
NB120-2860
Species: Ba, Bv, Ch, Hu, Mu, Rt
Applications: ELISA, Flow, ICC/IF, IHC,  IHC-P, WB
H00010714-M01
Species: Hu
Applications: ELISA, ICC/IF, WB
NBP2-15669
Species: Mu, Rt, Ze
Applications: IHC-WhMt, IHC, WB
H00023327-P01
Species: Hu
Applications: ELISA, AP, PA, WB
NBP2-37399
Species: Hu
Applications: CyTOF-ready, ELISA, Flow, ICC/IF, IHC,  IHC-P, WB
NBP1-31381
Species: Hu, Mu, Rt
Applications: ICC/IF, IHC,  IHC-P, IP, WB
H00002965-M01
Species: Hu
Applications: ELISA, ICC/IF, IHC,  IHC-P, KD, S-ELISA, WB
NBP2-03433
Species: Ca, Hu, Mu, Rt
Applications: Flow, ICC/IF, IHC,  IHC-P, WB
H00008878-M01
Species: Bv, Ha, Hu, Mu, Rb, Rt
Applications: ELISA, ICC/IF, IHC, IHC-Fr,  IHC-P, IP, WB
NBP2-02627
Species: Ca, Hu, Pm, Mu, Rt
Applications: Flow, ICC/IF, IHC,  IHC-P, WB

Publications for RSHL1 Antibody (NBP1-92356) (0)

There are no publications for RSHL1 Antibody (NBP1-92356).
By submitting your publication information earn gift cards and discounts for future purchases.

Reviews for RSHL1 Antibody (NBP1-92356) (0)

There are no reviews for RSHL1 Antibody (NBP1-92356). By submitting a review you will receive an Amazon e-Gift Card or Novus Product Discount.
  • Review with no image -- $10/€7/£6/$10 CAD/¥70 Yuan/¥1110 Yen
  • Review with an image -- $25/€18/£15/$25 CAD/¥150 Yuan/¥2500 Yen

Product General Protocols

Find general support by application which include: protocols, troubleshooting, illustrated assays, videos and webinars.

FAQs for RSHL1 Antibody (NBP1-92356) (0)

There are no specific FAQs related to this product. Read our general customer & technical service FAQs.

Customers Who Bought This Also Bought

Contact Information

Product PDFs

Calculators

Concentration Calculator

The concentration calculator allows you to quickly calculate the volume, mass or concentration of your vial. Simply enter your mass, volume, or concentration values for your reagent and the calculator will determine the rest.

=
÷

Review this Product

Be the first to review our RSHL1 Antibody - BSA Free and receive a gift card or discount.

Bioinformatics

Gene Symbol RSPH6A