Rpn2 Antibody

Images

 
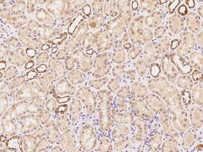
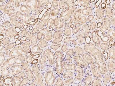
Immunohistochemistry-Paraffin: Rpn2 Antibody [NBP2-97706] - Immunochemical staining of human Rpn2 in human kidney with rabbit polyclonal antibody at 1:100 dilution, formalin-fixed paraffin embedded sections.

Product Details

Summary
Product Discontinued
View other related Rpn2 Primary Antibodies

Order Details


    • Catalog Number
      NBP2-97706
    • Availability
      Product Discontinued

    Can't find what you are looking for? Use our Antibody Concierge Service & we will help you locate your antibody!

    Or feel free to contact us for alternative products.

Rpn2 Antibody Summary

Description
This antibody can be stored at 2C to 8C for one month without detectable loss of activity. Antibody products are stable for twelve months from date of receipt when stored at -20C to -80C. Avoid repeated freeze-thaw cycles.
Immunogen
Produced in rabbits immunized with E. coli-derived Human Rpn2 fragment.
Isotype
IgG
Clonality
Polyclonal
Host
Rabbit
Gene
PSMD1
Purity
Antigen and protein A Affinity-purified
Innovator's Reward
Test in a species/application not listed above to receive a full credit towards a future purchase.

Applications/Dilutions

Dilutions
  • Immunohistochemistry
  • Immunohistochemistry-Paraffin 1:50-1:200

Packaging, Storage & Formulations

Storage
Store at 4C short term. Aliquot and store at -20C long term. Avoid freeze-thaw cycles.
Buffer
PBS (pH 7.0)
Preservative
0.03% Proclin 300
Purity
Antigen and protein A Affinity-purified

Alternate Names for Rpn2 Antibody

  • 26S proteasome non-ATPase regulatory subunit 1
  • 26S proteasome regulatory subunit RPN2
  • 26S proteasome regulatory subunit S1
  • 26S proteasome subunit p112
  • MGC133040
  • MGC133041
  • P112
  • proteasome (prosome, macropain) 26S subunit, non-ATPase, 1
  • Rpn2
  • S1

Background

Proteolytic degradation is critical to the maintenance of appropriate levels of short-lived and regulatory proteins as important and diverse as those involved in cellular metabolism, heat shock and stress response, antigen presentation, modulation of cell surface receptors and ion channels, cell cycle regulation, transcription, and signalling factors. The ubiquitin-proteasome pathway deconstructs most proteins in the eukaryotic cell cytosol and nucleus. Others are degraded via the vacuolar pathway which includes endosomes, lysosomes, and the endoplasmic reticulum. The 26S proteasome is an ATP-dependent, multisubunit (~31), barrel-shaped molecular machine with an apparent molecular weight of ~2.5 MDa. It consists of a 20S proteolytic core complex which is crowned at one or both ends by 19S regulatory subunit complexes. The 19S regulatory subunits recognize ubiquitinated proteins and play an essential role in unfolding and translocating targets into the lumen of the 20S subunit. An enzymatic cascade is responsible for the attachment of multiple ubiquitin molecules to lysine residues of proteins targeted for degradation. Several genetic diseases are associated with defects in the ubiquitin-proteasome pathway. Some examples of affected proteins include those linked to cystic fibrosis, Angelmas's syndrome, and Liddle syndrome.

Limitations

This product is for research use only and is not approved for use in humans or in clinical diagnosis. Primary Antibodies are guaranteed for 1 year from date of receipt.

Customers Who Viewed This Item Also Viewed...

NBP1-33691
Species: Hu, Mu, Rt
Applications: ICC/IF, IHC,  IHC-P, IP, WB
NBP2-73636
Species: Ca, Hu, Pm, Mu, Pm, Rt
Applications: CyTOF-ready, Flow, WB
MAB4470
Species: All-Multi
Applications: Flow, ICC, IHC, WB
NBP2-44520
Species: Ca(-), Hu, Rt(-)
Applications: Flow-IC, Flow, ICC/IF, IF, IHC,  IHC-P, MI, WB
NBP1-32870
Species: Ch, Hu
Applications: IHC,  IHC-P, IP, KD, WB
NBP1-62583
Species: Hu
Applications: WB
NBP1-81293
Species: Hu
Applications: ICC/IF, IHC,  IHC-P, KD, WB
NBP2-30949
Species: Hu
Applications: IHC,  IHC-P
NBP1-97512
Species: Mu
Applications: ICC/IF, IHC, IHC-Fr,  IHC-P, IP, WB
NBP3-47902
Species: Hu, Mu, Rt
Applications: ELISA, IHC, WB
NB100-74635
Species: Hu
Applications: IHC,  IHC-P, IP, WB (-)
NBP1-31413
Species: Hu, Mu, Rt
Applications: ICC/IF, IHC,  IHC-P, KD, WB
NBP3-46656
Species: Hu, Mu, Rt
Applications: ELISA, IHC, WB
NBP1-80959
Species: Hu, Mu, Rt
Applications: ICC/IF, IHC,  IHC-P, WB
NBP3-46655
Species: Hu, Mu, Rt
Applications: ELISA, ICC/IF, WB
AF3398
Species: Hu, Mu, Rt
Applications: ICC, KO, Simple Western, WB
NBP2-58917
Species: Hu
Applications: IHC,  IHC-P, WB
NBP1-86616
Species: Hu
Applications: IHC,  IHC-P, WB
AF5866
Species: Hu
Applications: IHC, WB
NBP2-97706
Species: Hu
Applications: IHC

Publications for Rpn2 Antibody (NBP2-97706) (0)

There are no publications for Rpn2 Antibody (NBP2-97706).
By submitting your publication information earn gift cards and discounts for future purchases.

Reviews for Rpn2 Antibody (NBP2-97706) (0)

There are no reviews for Rpn2 Antibody (NBP2-97706). By submitting a review you will receive an Amazon e-Gift Card or Novus Product Discount.
  • Review with no image -- $10/€7/£6/$10 CAD/¥70 Yuan/¥1110 Yen
  • Review with an image -- $25/€18/£15/$25 CAD/¥150 Yuan/¥2500 Yen

Product General Protocols

Find general support by application which include: protocols, troubleshooting, illustrated assays, videos and webinars.

FAQs for Rpn2 Antibody (NBP2-97706) (0)

There are no specific FAQs related to this product. Read our general customer & technical service FAQs.

Secondary Antibodies

 

Isotype Controls

Additional Rpn2 Products

Research Areas for Rpn2 Antibody (NBP2-97706)

Find related products by research area.

Blogs on Rpn2

There are no specific blogs for Rpn2, but you can read our latest blog posts.

Contact Information

Product PDFs

Calculators

Concentration Calculator

The concentration calculator allows you to quickly calculate the volume, mass or concentration of your vial. Simply enter your mass, volume, or concentration values for your reagent and the calculator will determine the rest.

=
÷

Review this Product

Be the first to review our Rpn2 Antibody and receive a gift card or discount.

Bioinformatics

Gene Symbol PSMD1