RNF2 Antibody (JB38-41)

Images

 
Western Blot: RNF2 Antibody (JB38-41) [NBP2-75647] - Analysis of RING2 on k562 cell using anti-RING2 antibody at 1/500 dilution.
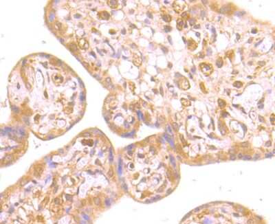
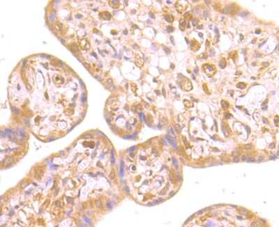
Immunohistochemistry-Paraffin: RNF2 Antibody (JB38-41) [NBP2-75647] - Analysis of paraffin-embedded human placenta tissue using anti-RING2 antibody. Counter stained with hematoxylin.

Product Details

Summary
Product Discontinued
View other related RNF2 Primary Antibodies

Order Details


    • Catalog Number
      NBP2-75647
    • Availability
      Product Discontinued

    Can't find what you are looking for? Use our Antibody Concierge Service & we will help you locate your antibody!

    Or feel free to contact us for alternative products.

RNF2 Antibody (JB38-41) Summary

Additional Information
Recombinant Monoclonal Antibody.
Immunogen
Recombinant protein within Human RNF2 aa 83-256 . (SwissProt: Q99496 Human)
Localization
Chromosome. Nucleus.
Isotype
IgG
Clonality
Monoclonal
Host
Rabbit
Gene
RNF2
Purity
Protein A purified
Innovator's Reward
Test in a species/application not listed above to receive a full credit towards a future purchase.

Applications/Dilutions

Dilutions
  • Immunohistochemistry
  • Immunohistochemistry-Paraffin 1:50-1:200
  • Western Blot 1:500-1:1000
Theoretical MW
38 kDa.
Disclaimer note: The observed molecular weight of the protein may vary from the listed predicted molecular weight due to post translational modifications, post translation cleavages, relative charges, and other experimental factors.

Packaging, Storage & Formulations

Storage
Store at 4C short term. Aliquot and store at -20C long term. Avoid freeze-thaw cycles.
Buffer
TBS (pH7.4), 0.05% BSA, 40% Glycerol
Preservative
0.05% Sodium Azide
Concentration
1 mg/ml
Purity
Protein A purified

Alternate Names for RNF2 Antibody (JB38-41)

  • BAP-1
  • BAP1RING finger protein 1B
  • DING
  • DINGRING finger protein BAP-1
  • EC 6.3.2
  • HIPI3
  • HIPI3RING1BE3 ubiquitin-protein ligase RING2
  • Huntingtin-interacting protein 2-interacting protein 3
  • Protein DinG
  • ring finger protein 2HIP2-interacting protein 3
  • RING1B
  • RING2
  • RING2EC 6.3.2.-
  • RNF2

Background

Polycomb group (PcG) of proteins form the multiprotein complexes that are important for the transcription repression of various genes involved in development and cell proliferation. The protein encoded by this gene is one of the PcG proteins. It has been shown to interact with, and suppress the activity of, transcription factor CP2 (TFCP2/CP2). Studies of the mouse counterpart suggested the involvement of this gene in the specification of anterior-posterior axis, as well as in cell proliferation in early development. This protein was also found to interact with huntingtin interacting protein 2 (HIP2), an ubiquitin-conjugating enzyme, and possess ubiquitin ligase activity.

Limitations

This product is for research use only and is not approved for use in humans or in clinical diagnosis. Primary Antibodies are guaranteed for 1 year from date of receipt.

Customers Who Viewed This Item Also Viewed...

NBP2-37370
Species: Hu
Applications: CyTOF-ready, ELISA, Flow, IHC,  IHC-P, WB
NBP1-88856
Species: Hu, Mu, Rt
Applications: IHC,  IHC-P, WB
NBP1-86037
Species: Hu
Applications: ICC/IF, IHC,  IHC-P, WB
NBP1-96140
Species: Hu, Mu
Applications: ChIP, Flow-IC, Flow, ICC/IF, IP, WB
NB100-56346
Species: Hu, Mu, Sh
Applications: ELISA, Flow, IHC,  IHC-P, WB
NB200-106
Species: Mu, Rt
Applications: ELISA, ICC/IF, IHC, IHC-Fr,  IHC-P, WB
NBP1-89150
Species: Hu
Applications: IHC,  IHC-P, WB
H00011026-M01
Species: Hu
Applications: ELISA, WB
NBP1-31302
Species: Hu, Mu, Rt
Applications: ICC/IF, IHC,  IHC-P, KO, WB
NB100-404
Species: Hu
Applications: ChIP, ICC/IF, IHC,  IHC-P, IP, KD, KO, WB
NBP2-21037
Species: Hu
Applications: IHC,  IHC-P, WB
NBP2-31361
Species: Hu
Applications: IHC,  IHC-P, WB
NBP1-81988
Species: Hu
Applications: IHC,  IHC-P
AF5827
Species: Hu, Mu
Applications: WB
NB100-68209
Species: Hu
Applications: IP, KD, WB
NB100-1240
Species: Hu
Applications: PEP-ELISA, WB
AF4767
Species: Hu, Mu
Applications: ICC, WB
NBP2-75647
Species: Hu, Mu, Rt
Applications: WB, IHC

Publications for RNF2 Antibody (NBP2-75647) (0)

There are no publications for RNF2 Antibody (NBP2-75647).
By submitting your publication information earn gift cards and discounts for future purchases.

Reviews for RNF2 Antibody (NBP2-75647) (0)

There are no reviews for RNF2 Antibody (NBP2-75647). By submitting a review you will receive an Amazon e-Gift Card or Novus Product Discount.
  • Review with no image -- $10/€7/£6/$10 CAD/¥70 Yuan/¥1110 Yen
  • Review with an image -- $25/€18/£15/$25 CAD/¥150 Yuan/¥2500 Yen

Product General Protocols

Find general support by application which include: protocols, troubleshooting, illustrated assays, videos and webinars.

Video Protocols

WB Video Protocol

FAQs for RNF2 Antibody (NBP2-75647) (0)

There are no specific FAQs related to this product. Read our general customer & technical service FAQs.

Contact Information

Product PDFs

Calculators

Concentration Calculator

The concentration calculator allows you to quickly calculate the volume, mass or concentration of your vial. Simply enter your mass, volume, or concentration values for your reagent and the calculator will determine the rest.

=
÷

Review this Product

Be the first to review our RNF2 Antibody (JB38-41) and receive a gift card or discount.

Bioinformatics

Gene Symbol RNF2