Reg1B Antibody

Images

 
Western Blot: Reg1B Antibody [NBP2-24778] - analysis of human pancreas lysate using Reg1 antibody at 0.5 ug/ml. Multiple isoforms of the protein can be seen. I goat anti-rabbit Ig HRP secondary antibody and PicoTect ECL ...read more
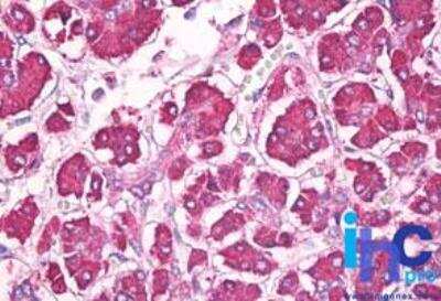
Immunohistochemistry-Paraffin: Reg1B Antibody [NBP2-24778] - Formalin-fixed, paraffin-embedded human pancreas stained with Reg1 antibody at 10 ug/ml. Staining of formalin-fixed tissues is enhanced by boiling tissue ...read more

Product Details

Summary
Product Discontinued
View other related Reg1B Primary Antibodies

Order Details


    • Catalog Number
      NBP2-24778
    • Availability
      Product Discontinued

    Can't find what you are looking for? Use our Antibody Concierge Service & we will help you locate your antibody!

    Or feel free to contact us for alternative products.

Reg1B Antibody Summary

Immunogen
A synthetic peptide sequence corresponding to amino acids 21-48 of human REG1 was used as the immunogen for the antibody, GenBank no NP_006498.1.
Predicted Species
Mouse (96%). Backed by our 100% Guarantee.
Isotype
IgG
Clonality
Polyclonal
Host
Rabbit
Gene
REG1B
Purity
Protein G purified
Innovator's Reward
Test in a species/application not listed above to receive a full credit towards a future purchase.

Applications/Dilutions

Dilutions
  • Immunohistochemistry
  • Immunohistochemistry-Paraffin 10 ug/ml
  • Western Blot 0.5-1 ug/ml

Reactivity Notes

This antibody has not been tested in Mouse models. However, human and Mouse Bif-1 are highly conserved and have 96% sequence identity across the entire protein.

Packaging, Storage & Formulations

Storage
Store at 4C short term. Aliquot and store at -20C long term. Avoid freeze-thaw cycles.
Buffer
0.2 ml PBS and 0.05% BSA
Preservative
0.05% Sodium Azide
Concentration
0.5 mg/ml
Purity
Protein G purified

Alternate Names for Reg1B Antibody

  • Lithostathine 1 beta
  • lithostathine-1-beta
  • Pancreatic stone protein 2
  • pancreatic threadprotein)
  • PSPS2
  • PSPS2PSP-2
  • Reg1B
  • regenerating islet-derived 1 beta
  • Regenerating islet-derived protein 1-beta
  • Regenerating protein I beta
  • REGH
  • REGLREG-1-beta
  • secretory pancreatic stone protein 2

Background

REG1B is a type I subclass member of the Reg gene family. The Reg gene family is a multigene family grouped into four subclasses, types I, II, III and IV based on the primary structures of the encoded proteins. This gene encodes a protein secreted by the exocrine pancreas that is highly similar to the REG1A protein. The related REG1A protein is associated with islet cell regeneration and diabetogenesis, and may be involved in pancreatic lithogenesis. Reg family members REG1A, REGL, PAP and this gene are tandemly clustered on chromosome 2p12 and may have arisen from the same ancestral gene by gene duplication. [provided by RefSeq]

Limitations

This product is for research use only and is not approved for use in humans or in clinical diagnosis. Primary Antibodies are guaranteed for 1 year from date of receipt.

Customers Who Viewed This Item Also Viewed...

MAB4937
Species: Hu
Applications: CyTOF-ready, ICFlow, WB
AF1657
Species: Mu
Applications: WB
NBP2-24763
Species: Hu, Pm
Applications: IHC,  IHC-P, WB
NBP3-20223
Species: Hu
Applications: ICC/IF, IP, WB
NBP1-87345
Species: Hu
Applications: ICC/IF, IHC,  IHC-P
NBP1-87343
Species: Hu, Rt
Applications: IHC,  IHC-P, WB
NBP2-48909
Species: Hu, Mu
Applications: ICC/IF, IHC,  IHC-P, KO
NBP3-04411
Species: Hu, Mu, Rt
Applications: IHC,  IHC-P, WB
NBP2-24614
Species: Hu, Mu, Ma-Op, Pm, Rt
Applications: WB
AF5659
Species: Hu
Applications: WB
NBP1-87203
Species: Hu
Applications: IHC,  IHC-P, WB
M6000B
Species: Mu
Applications: ELISA
NBP2-02450
Species: Hu
Applications: ICC/IF, IHC,  IHC-P, WB
NBP1-90044
Species: Hu
Applications: ICC/IF, IHC,  IHC-P, WB
1290-IL
Species: Hu
Applications: BA
NBP2-35208
Species: Hu
Applications: BA, PAGE
Supplier Logo

Publications for Reg1B Antibody (NBP2-24778) (0)

There are no publications for Reg1B Antibody (NBP2-24778).
By submitting your publication information earn gift cards and discounts for future purchases.

Reviews for Reg1B Antibody (NBP2-24778) (0)

There are no reviews for Reg1B Antibody (NBP2-24778). By submitting a review you will receive an Amazon e-Gift Card or Novus Product Discount.
  • Review with no image -- $10/€7/£6/$10 CAD/¥70 Yuan/¥1110 Yen
  • Review with an image -- $25/€18/£15/$25 CAD/¥150 Yuan/¥2500 Yen

Product General Protocols

Find general support by application which include: protocols, troubleshooting, illustrated assays, videos and webinars.

Video Protocols

WB Video Protocol

FAQs for Reg1B Antibody (NBP2-24778) (0)

There are no specific FAQs related to this product. Read our general customer & technical service FAQs.

Contact Information

Product PDFs

Calculators

Concentration Calculator

The concentration calculator allows you to quickly calculate the volume, mass or concentration of your vial. Simply enter your mass, volume, or concentration values for your reagent and the calculator will determine the rest.

=
÷

Review this Product

Be the first to review our Reg1B Antibody and receive a gift card or discount.

Bioinformatics

Gene Symbol REG1B