RAP30 Antibody

Images

 
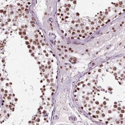
Immunohistochemistry: RAP30 Antibody [NBP2-68907] - Immunohistochemical staining of human testis shows strong nuclear positivity in cells in seminiferous ducts and Leydig cells.

Product Details

Summary
Product Discontinued
View other related RAP30 Primary Antibodies

Order Details


    • Catalog Number
      NBP2-68907
    • Availability
      Product Discontinued

    Can't find what you are looking for? Use our Antibody Concierge Service & we will help you locate your antibody!

    Or feel free to contact us for alternative products.

RAP30 Antibody Summary

Immunogen
This antibody was developed against a recombinant protein corresponding to amino acids: SLSGKSTPQPPSGKTTPNSGDVQVTEDAVRRYLTRKPMTTKDLLKKFQTKKTGLSSEQTVNVLAQILKRLNP
Isotype
IgG
Clonality
Polyclonal
Host
Rabbit
Gene
GTF2F1
Purity
Protein A purified
Innovator's Reward
Test in a species/application not listed above to receive a full credit towards a future purchase.

Applications/Dilutions

Dilutions
  • Immunohistochemistry 1:200 - 1:500
  • Immunohistochemistry-Paraffin 1:200 - 1:500
Application Notes
Recommended conditions for IHC,Retrieval method: HIER pH6

Reactivity Notes

Mouse 85%, Rat 85%

Packaging, Storage & Formulations

Storage
Store at 4C short term. Aliquot and store at -20C long term. Avoid freeze-thaw cycles.
Buffer
PBS (pH 7.2) and 40% Glycerol
Preservative
0.02% Sodium Azide
Purity
Protein A purified

Alternate Names for RAP30 Antibody

  • ATP-dependent helicase GTF2F2
  • BTF4
  • General transcription factor IIF 30 kDa subunit
  • general transcription factor IIF subunit 2
  • general transcription factor IIF, polypeptide 2, 30kDa
  • TF2F2
  • TFIIF
  • TFIIF-beta
  • Transcription initiation factor IIF subunit beta
  • Transcription initiation factor RAP30

Background

Predicted to enable RNA polymerase II general transcription initiation factor activity. Involved in transcription by RNA polymerase II. Located in microtubule cytoskeleton and nucleoplasm. Part of transcription preinitiation complex.

Limitations

This product is for research use only and is not approved for use in humans or in clinical diagnosis. Primary Antibodies are guaranteed for 1 year from date of receipt.

Customers Who Viewed This Item Also Viewed...

NBP2-34143
Species: Hu
Applications: ChIP-EXO-SEQ, ICC/IF, IHC,  IHC-P, KD, WB
H00006908-Q01
Species: Hu
Applications: ELISA, AP, PA, PAGE, WB
NBP3-17971
Species: Ca, Hu, Pm, Mu, Pm, Rt
Applications: Flow, IHC,  IHC-P, WB
NB100-61060
Species: Hu, Mu, Rb, V-Vi
Applications: ChIP, IP, WB
NBP2-87539
Species: Hu
Applications: IHC,  IHC-P, WB
H00002965-M01
Species: Hu
Applications: ELISA, ICC/IF, IHC,  IHC-P, KD, S-ELISA, WB
NBP3-07348
Species: Hu
Applications: Flow, ICC/IF, PA
NBP3-46159
Species: Hu, Mu, Rt
Applications: ELISA, IHC
H00002968-B01P
Species: Hu
Applications: ICC/IF, WB
H00006919-B02P
Species: Hu
Applications: ICC/IF, WB
NBP1-93707
Species: Hu, Mu, Rt
Applications: ICC/IF, IHC,  IHC-P, WB
H00006920-M08
Species: Hu
Applications: ELISA, ICC/IF, IHC,  IHC-P, WB
2914-HT
Species: Hu
Applications: BA
NBP2-55408
Species: Hu
Applications: ChIP-EXO-SEQ, ICC/IF, WB
NBP1-86953
Species: Hu
Applications: ChIP-EXO-SEQ, ICC/IF, IHC,  IHC-P
NB100-56603
Species: Ca, Hu, Mu, Pm, Rt
Applications: IHC,  IHC-P, WB
H00009150-M04
Species: Hu, Mu
Applications: ELISA, ICC/IF, IHC,  IHC-P, WB
NBP2-68907
Species: Hu
Applications: IHC

Publications for RAP30 Antibody (NBP2-68907) (0)

There are no publications for RAP30 Antibody (NBP2-68907).
By submitting your publication information earn gift cards and discounts for future purchases.

Reviews for RAP30 Antibody (NBP2-68907) (0)

There are no reviews for RAP30 Antibody (NBP2-68907). By submitting a review you will receive an Amazon e-Gift Card or Novus Product Discount.
  • Review with no image -- $10/€7/£6/$10 CAD/¥70 Yuan/¥1110 Yen
  • Review with an image -- $25/€18/£15/$25 CAD/¥150 Yuan/¥2500 Yen

Product General Protocols

Find general support by application which include: protocols, troubleshooting, illustrated assays, videos and webinars.

FAQs for RAP30 Antibody (NBP2-68907) (0)

There are no specific FAQs related to this product. Read our general customer & technical service FAQs.

Secondary Antibodies

 

Isotype Controls

Additional RAP30 Products

Research Areas for RAP30 Antibody (NBP2-68907)

Find related products by research area.

Blogs on RAP30

There are no specific blogs for RAP30, but you can read our latest blog posts.

Contact Information

Product PDFs

Calculators

Concentration Calculator

The concentration calculator allows you to quickly calculate the volume, mass or concentration of your vial. Simply enter your mass, volume, or concentration values for your reagent and the calculator will determine the rest.

=
÷

Review this Product

Be the first to review our RAP30 Antibody and receive a gift card or discount.

Bioinformatics

Gene Symbol GTF2F1