PYROXD2 Antibody - BSA Free

Images

 
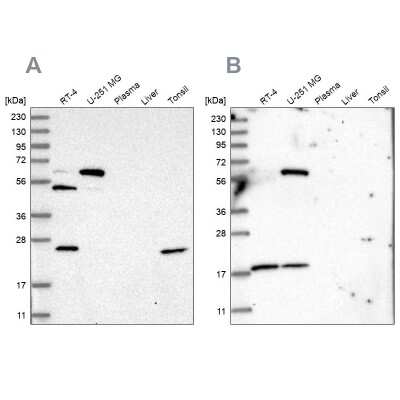
Independent Antibodies: Western Blot: PYROXD2 Antibody [NBP1-88531] - Analysis using Anti-PYROXD2 antibody NBP1-88531 (A) shows similar pattern to independent antibody NBP2-32688 (B).
Immunohistochemistry-Paraffin: PYROXD2 Antibody [NBP1-88531] - Staining of human breast shows strong cytoplasmic positivity in glandular cells.

Product Details

Summary
Reactivity HuSpecies Glossary
Applications WB, IHC
Clonality
Polyclonal
Host
Rabbit
Conjugate
Unconjugated
Format
BSA Free
Validated by:
 

Independent Antibodies

       

Order Details

View Available Formulations
Catalog# & Formulation Size Price

PYROXD2 Antibody - BSA Free Summary

Description
Novus Biologicals Rabbit PYROXD2 Antibody - BSA Free (NBP1-88531) is a polyclonal antibody validated for use in IHC and WB. All Novus Biologicals antibodies are covered by our 100% guarantee.
Immunogen
This antibody was developed against Recombinant Protein corresponding to amino acids: VVSLFTQYTPYTLAGGKAWDEQERDAYADRVFDCIEVYAPGFKDSVVGRDILTPPDLERIFGLPGGNIFHCAMSLDQLYFTRPVPLHSGYRC
Isotype
IgG
Clonality
Polyclonal
Host
Rabbit
Gene
PYROXD2
Purity
Affinity purified
Innovator's Reward
Test in a species/application not listed above to receive a full credit towards a future purchase.

Applications/Dilutions

Dilutions
  • Immunohistochemistry 1:50 - 1:200
  • Immunohistochemistry-Paraffin 1:50 - 1:200
  • Western Blot 0.04-0.4 ug/ml
Application Notes
For IHC-Paraffin, HIER pH 6 retrieval is recommended.
Control Peptide
PYROXD2 Protein (NBP1-88531PEP)

Reactivity Notes

Immunogen displays the following percentage of sequence identity for non-tested species: Mouse (84%), Rat (85%)

Packaging, Storage & Formulations

Storage
Store at 4C short term. Aliquot and store at -20C long term. Avoid freeze-thaw cycles.
Buffer
PBS (pH 7.2) and 40% Glycerol
Preservative
0.02% Sodium Azide
Purity
Affinity purified

Alternate Names for PYROXD2 Antibody - BSA Free

  • FLJ12197
  • MGC13047
  • pyridine nucleotide-disulphide oxidoreductase domain 2

Limitations

This product is for research use only and is not approved for use in humans or in clinical diagnosis. Primary Antibodies are guaranteed for 1 year from date of receipt.

Customers Who Viewed This Item Also Viewed...

NBP1-47863
Species: Hu
Applications: ICC/IF, IHC,  IHC-P, WB
NBP2-46256
Species: Hu, Mu, Rt
Applications: IHC,  IHC-P, WB
NBP1-84366
Species: Hu
Applications: ICC/IF, IHC,  IHC-P, WB
NBP1-32731
Species: Hu, Mu, Rt
Applications: Flow, ICC/IF, IHC, IHC-Fr,  IHC-P, IP, KD, Simple Western, WB
NB120-14817
Species: Hu, Rt
Applications: ICC/IF, IHC, S-ELISA, WB
NBP3-46086
Species: Hu, Mu, Rt
Applications: ELISA, ICC/IF, IHC, WB
NBP1-76888
Species: Hu, Mu, Rt
Applications: ELISA, ICC/IF, IHC,  IHC-P, WB
MAB7185
Species: Hu
Applications: Simple Western, WB
NBP1-86616
Species: Hu
Applications: IHC,  IHC-P, WB
NBP1-83015
Species: Hu
Applications: ICC/IF, IHC,  IHC-P
NBP2-58917
Species: Hu
Applications: IHC,  IHC-P, WB
NBP1-32140
Species: Hu, Mu, Pl, Rt
Applications: ICC/IF, IHC,  IHC-P, WB
AF3398
Species: Hu, Mu, Rt
Applications: ICC, KO, Simple Western, WB
H00005095-B01P
Species: Ba, Hu, Mu
Applications: WB

Publications for PYROXD2 Antibody (NBP1-88531) (0)

There are no publications for PYROXD2 Antibody (NBP1-88531).
By submitting your publication information earn gift cards and discounts for future purchases.

Reviews for PYROXD2 Antibody (NBP1-88531) (0)

There are no reviews for PYROXD2 Antibody (NBP1-88531). By submitting a review you will receive an Amazon e-Gift Card or Novus Product Discount.
  • Review with no image -- $10/€7/£6/$10 CAD/¥70 Yuan/¥1110 Yen
  • Review with an image -- $25/€18/£15/$25 CAD/¥150 Yuan/¥2500 Yen

Product General Protocols

Find general support by application which include: protocols, troubleshooting, illustrated assays, videos and webinars.

Video Protocols

WB Video Protocol

FAQs for PYROXD2 Antibody (NBP1-88531) (0)

There are no specific FAQs related to this product. Read our general customer & technical service FAQs.

Customers Who Bought This Also Bought

Contact Information

Product PDFs

Calculators

Concentration Calculator

The concentration calculator allows you to quickly calculate the volume, mass or concentration of your vial. Simply enter your mass, volume, or concentration values for your reagent and the calculator will determine the rest.

=
÷

Review this Product

Be the first to review our PYROXD2 Antibody - BSA Free and receive a gift card or discount.

Bioinformatics

Gene Symbol PYROXD2