PTGFR Antibody

Images

 
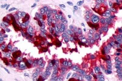
Immunohistochemistry-Paraffin: PTGFR Antibody [NLS6624] - Anti-FP / PTGFR antibody IHC of human Ovary, Carcinoma. Immunohistochemistry of formalin-fixed, paraffin-embedded tissue after heat-induced antigen retrieval.
Immunohistochemistry-Paraffin: PTGFR Antibody [NLS6624] - Analysis of anti-PTGFR antibody with human ovary.
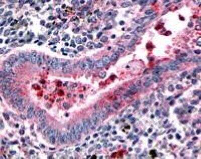
Immunohistochemistry-Paraffin: PTGFR Antibody [NLS6624] - Analysis of anti-PTGFR antibody with uterus at dilution 20 ug/ml.
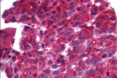
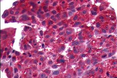
Immunohistochemistry-Paraffin: PTGFR Antibody [NLS6624] - Analysis of anti-PTGFR antibody with human brain, glioblastoma.
Immunohistochemistry-Paraffin: PTGFR Antibody [NLS6624] - Human Skin, Melanoma. Immunohistochemistry of formalin-fixed, paraffin-embedded tissue after heat-induced antigen retrieval.

Product Details

Summary
Product Discontinued
View other related PTGFR Primary Antibodies

Order Details


    • Catalog Number
      NLS6624
    • Availability
      Product Discontinued

    Can't find what you are looking for? Use our Antibody Concierge Service & we will help you locate your antibody!

    Or feel free to contact us for alternative products.

PTGFR Antibody Summary

Immunogen
Synthetic 18 amino acid peptide from 1st extracellular domain of human PTGFR.
Specificity
Human PTGFR. BLAST analysis of the peptide immunogen showed no homology with other human proteins.
Predicted Species
Equine (94%), Monkey (94%). Backed by our 100% Guarantee.
Isotype
IgG
Clonality
Polyclonal
Host
Rabbit
Gene
PTGFR
Purity
Immunogen affinity purified
Innovator's Reward
Test in a species/application not listed above to receive a full credit towards a future purchase.

Applications/Dilutions

Dilutions
  • Immunohistochemistry
  • Immunohistochemistry-Paraffin 4 - 20 ug/ml

Reactivity Notes

Predicted cross-reactivity based on sequence identity: Gibbon (94%), Marmoset (89%), Mosue (89%), Rat (89%), Elephant (89%), Panda (89%), Bat (89%), Canine (89%), Rabbit (89%), Porcine (89%), Turkey (83%), Chicken (83%), Platypus (83%).

Packaging, Storage & Formulations

Storage
Store at 4C short term. Aliquot and store at -20C long term. Avoid freeze-thaw cycles.
Buffer
PBS
Preservative
0.1% Sodium Azide
Concentration
1.0 mg/ml
Purity
Immunogen affinity purified

Alternate Names for PTGFR Antibody

  • FP
  • MGC120498
  • MGC46203
  • PGF receptor
  • PGF2 alpha receptor
  • PGF2-alpha Receptor
  • prostaglandin F receptor (FP)
  • prostaglandin F2 alpha receptor
  • prostaglandin F2-alpha receptor
  • prostaglandin receptor (2-alpha)
  • Prostanoid FP receptor
  • PTGFR

Background

The prostaglandin F2-alpha receptor is a member of the Prostanoid Receptor subfamily. Along with various other prostaglandin receptors, it mediates the effects of prostaglandin F(2-alpha) which include modulation of intraocular pressure, corpus luteum regression, and possibly uterine smooth muscle contraction. Alternative mRNA splicing gives rise to two isoforms, FP(A) and FP(B), that differ in their intracellular carboxyl termini and result in different mechanisms for receptor internalization. Prostaglandin F2-alpha receptor expression has been documented in eye, ovary, placenta, and uterus. ESTs have been isolated from placental libraries.

Limitations

This product is for research use only and is not approved for use in humans or in clinical diagnosis. Primary Antibodies are guaranteed for 1 year from date of receipt.

Customers Who Viewed This Item Also Viewed...

NB100-2737
Species: Hu
Applications: ICC/IF, IHC, IP, WB
NBP1-87822
Species: Hu, Mu, Rt
Applications: ICC/IF, IHC,  IHC-P, KD, WB
NBP1-28872
Species: Hu
Applications: ELISA, ICC/IF, IHC, IHC-Fr,  IHC-P, WB
MEP00B
Species: Mu
Applications: ELISA
NBP2-92856
Species: Hu, Mu, Rt
Applications: ELISA, ICC/IF, IHC,  IHC-P, IP, WB
H00005729-B01P
Species: Hu
Applications: Flow, ICC/IF, WB
NLS3890
Species: Bv, Hu, Pm, Pm
Applications: IHC,  IHC-P
DPG00
Species: Hu
Applications: ELISA
NLS975
Species: Bt, Hu, Pm, Pm
Applications: IHC,  IHC-P
NBP2-48836
Species: Ca, Hu
Applications: ICC/IF, IHC,  IHC-P
NBP3-16740
Species: Hu, Mu, Rt
Applications: ICC/IF, IHC,  IHC-P, WB
NB100-689
Species: Hu, Rt
Applications: IHC, IHC-Fr,  IHC-P, Simple Western, WB
MAB4077
Species: Hu
Applications: IHC, WB
NBP2-57697
Species: Hu, Mu
Applications: IHC,  IHC-P
NBP1-89522
Species: Hu, Mu, Rt
Applications: ICC/IF, IHC,  IHC-P, WB
NBP1-91258
Species: Bv, Ca, Eq, Fe, Hu, Mu, Po, Rt
Applications: ICC/IF, IHC, IHC-Fr,  IHC-P, Simple Western, WB
NLS6624
Species: Hu, Eq, Pm
Applications: IHC

Publications for PTGFR Antibody (NLS6624) (0)

There are no publications for PTGFR Antibody (NLS6624).
By submitting your publication information earn gift cards and discounts for future purchases.

Reviews for PTGFR Antibody (NLS6624) (0)

There are no reviews for PTGFR Antibody (NLS6624). By submitting a review you will receive an Amazon e-Gift Card or Novus Product Discount.
  • Review with no image -- $10/€7/£6/$10 CAD/¥70 Yuan/¥1110 Yen
  • Review with an image -- $25/€18/£15/$25 CAD/¥150 Yuan/¥2500 Yen

Product General Protocols

View specific protocols for PTGFR Antibody (NLS6624): Find general support by application which include: protocols, troubleshooting, illustrated assays, videos and webinars.

FAQs for PTGFR Antibody (NLS6624) (0)

There are no specific FAQs related to this product. Read our general customer & technical service FAQs.

Secondary Antibodies

 

Isotype Controls

Additional PTGFR Products

Research Areas for PTGFR Antibody (NLS6624)

Find related products by research area.

Blogs on PTGFR

There are no specific blogs for PTGFR, but you can read our latest blog posts.

Contact Information

Product PDFs

Calculators

Concentration Calculator

The concentration calculator allows you to quickly calculate the volume, mass or concentration of your vial. Simply enter your mass, volume, or concentration values for your reagent and the calculator will determine the rest.

=
÷

Review this Product

Be the first to review our PTGFR Antibody and receive a gift card or discount.

Bioinformatics

Gene Symbol PTGFR
Entrez
Uniprot