PRMT5 Antibody (ST51-06)

Images

 
Western Blot: PRMT5 Antibody (ST51-06) [NBP2-67515] - Western blot analysis of PRMT5 on A431 cell lysates. Proteins were transferred to a PVDF membrane and blocked with 5% BSA in PBS for 1 hour at room temperature. The ...read more
Immunocytochemistry/ Immunofluorescence: PRMT5 Antibody (ST51-06) [NBP2-67515] - Staining PRMT5 in HepG2 cells (green). The nuclear counter stain is DAPI (blue). Cells were fixed in paraformaldehyde, permeabilised with ...read more
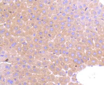
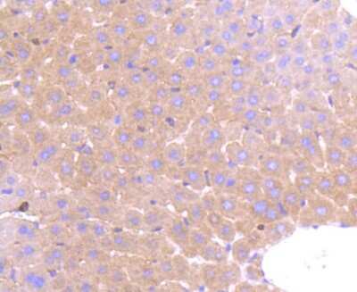
Immunohistochemistry-Paraffin: PRMT5 Antibody (ST51-06) [NBP2-67515] - Analysis of paraffin-embedded mouse liver tissue using anti-PRMT5 antibody. Counter stained with hematoxylin.
Western Blot: PRMT5 Antibody (ST51-06) [NBP2-67515] - Analysis of PRMT5 on A431 cell lysates using anti-PRMT5 antibody at 1/1,000 dilution.
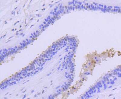
Immunohistochemistry-Paraffin: PRMT5 Antibody (ST51-06) [NBP2-67515] - Analysis of paraffin-embedded human breast carcinoma tissue using anti-PRMT5 antibody. Counter stained with hematoxylin.
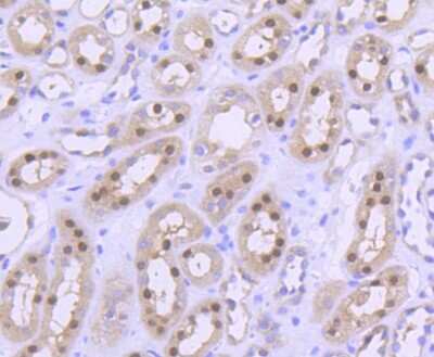
Immunohistochemistry-Paraffin: PRMT5 Antibody (ST51-06) [NBP2-67515] - Analysis of paraffin-embedded human kidney tissue using anti-PRMT5 antibody. Counter stained with hematoxylin.
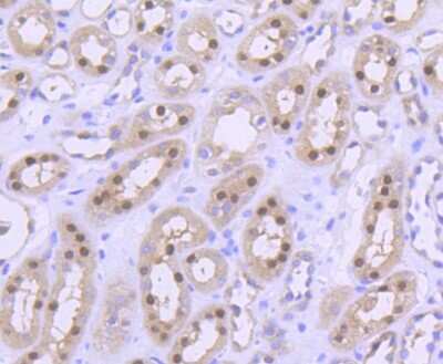
Immunohistochemistry-Paraffin: PRMT5 Antibody (ST51-06) [NBP2-67515] - Analysis of paraffin-embedded mouse kidney tissue using anti-PRMT5 antibody. Counter stained with hematoxylin.

Product Details

Summary
Product Discontinued
View other related PRMT5 Primary Antibodies

Order Details


    • Catalog Number
      NBP2-67515
    • Availability
      Product Discontinued

    Can't find what you are looking for? Use our Antibody Concierge Service & we will help you locate your antibody!

    Or feel free to contact us for alternative products.

PRMT5 Antibody (ST51-06) Summary

Additional Information
Recombinant Monoclonal Antibody.
Immunogen
Synthetic peptide within Human PRMT5 aa 48-91 / 637. (SwissProt: O14744 Human; SwissProt: Q8CIG8 Mouse; SwissProt: D4A0E8 Rat)
Localization
Cytoplasm, Nucleus, Golgi apparatus, Chromosome.
Isotype
IgG
Clonality
Monoclonal
Host
Rabbit
Gene
PRMT5
Purity
Protein A purified
Innovator's Reward
Test in a species/application not listed above to receive a full credit towards a future purchase.

Applications/Dilutions

Dilutions
  • Immunocytochemistry/ Immunofluorescence 1:50-1:200
  • Immunohistochemistry
  • Immunohistochemistry-Paraffin 1:50-1:200
  • Western Blot 1:500-1:2000

Packaging, Storage & Formulations

Storage
Store at 4C short term. Aliquot and store at -20C long term. Avoid freeze-thaw cycles.
Buffer
TBS (pH7.4), 0.05% BSA, 40% Glycerol
Preservative
0.05% Sodium Azide
Concentration
1 mg/ml
Purity
Protein A purified

Alternate Names for PRMT5 Antibody (ST51-06)

  • EC 2.1.1.-
  • EC 2.1.1.125
  • EC 2.1.1.320
  • Histone-arginine N-methyltransferase PRMT5
  • HMT1 hnRNP methyltransferase-like 5,72 kDa ICln-binding protein
  • HRMT1L5
  • IBP72
  • Jak-binding protein 1
  • JBP1
  • PRMT5
  • protein arginine methyltransferase 5
  • protein arginine N-methyltransferase 5
  • Shk1 kinase-binding protein 1 homolog
  • skb1 (S. pombe) homolog
  • SKB1 homolog (S. pombe)
  • SKB1 homolog
  • SKB1
  • SKB1HsSKB1 homolog

Background

Arginine methylation is an irreversible post translational modification linked to protein activity. At least three types of PRMT enzymes have been identified in mammalian cells. These enzymes have been shown to have essential regulatory functions by methylation of key proteins in several fundamental areas. These proteins include nuclear proteins (Histone 2A, 3, 4), IL enhancer binding factor, nuclear factors (NF45, 90, ILF3, Nucleolin, STAT1, Poly(A) binding protein II), cell cycle proteins (phosphoprotein phosphatase 2A), signal transduction proteins (FGF2, Fibrillarin, FN, INFAR1, Jak, MBP, Src-adaptor Sam68), apoptosis proteins (FADD, ICE-like protease), and viral proteins (Hepatitis C NS3 RNA Helicase, HIV TAR). The mammalian PRMT family currently consists of 5 members that share two large domains of homology. Outside of these domains, epitopes were identified and antibodies against all five PRMT members have been developed. These antibodies can be utilized to explore arginine methylation and its regulatory functions.

Limitations

This product is for research use only and is not approved for use in humans or in clinical diagnosis. Primary Antibodies are guaranteed for 1 year from date of receipt.

Customers Who Viewed This Item Also Viewed...

NBP2-07996
Species: Hu
Applications: WB
NBP2-52486
Species: Hu
Applications: CyTOF-ready, ELISA, Flow, ICC/IF, IHC,  IHC-P, WB
NBP1-82778
Species: Hu, Mu, Rt
Applications: ICC/IF, IHC,  IHC-P, WB
AF6016
Species: Hu, Mu
Applications: WB
NLS3775
Species: Hu, Pm
Applications: ICC/IF, IHC,  IHC-P
NBP1-85351
Species: Hu, Mu, Rt
Applications: ICC/IF, IHC,  IHC-P, WB
NB200-342
Species: Hu, Mu
Applications: IHC,  IHC-P, IP, KD, WB
NB600-717
Species: Bv
Applications: ELISA, ICC/IF, IHC, IHC-Fr,  IHC-P, RIA, RI, WB
NBP3-46113
Species: Hu, Mu, Rt
Applications: ELISA, IHC, IP, , WB
NBL1-11570
Species: Hu
Applications: WB
H00008365-M01
Species: Hu
Applications: ELISA, ICC/IF, S-ELISA
NBL1-11567
Species: Hu
Applications: WB
AF5738
Species: Hu
Applications: ICC, KO, Simple Western, WB
NBP2-59451
Species: Hu
Applications: ELISA, Flow, ICC/IF, MiAr, Simple Western, WB
NB600-235
Species: Hu, Mu, Po
Applications: ChIP, ELISA, Flow, ICC/IF, IHC, IHC-Fr,  IHC-P, IP, WB
NBP1-83280
Species: Hu, Mu, Rt
Applications: IHC,  IHC-P, KD, WB

Publications for PRMT5 Antibody (NBP2-67515) (0)

There are no publications for PRMT5 Antibody (NBP2-67515).
By submitting your publication information earn gift cards and discounts for future purchases.

Reviews for PRMT5 Antibody (NBP2-67515) (0)

There are no reviews for PRMT5 Antibody (NBP2-67515). By submitting a review you will receive an Amazon e-Gift Card or Novus Product Discount.
  • Review with no image -- $10/€7/£6/$10 CAD/¥70 Yuan/¥1110 Yen
  • Review with an image -- $25/€18/£15/$25 CAD/¥150 Yuan/¥2500 Yen

Product General Protocols

Find general support by application which include: protocols, troubleshooting, illustrated assays, videos and webinars.

Video Protocols

WB Video Protocol
ICC/IF Video Protocol

FAQs for PRMT5 Antibody (NBP2-67515) (0)

There are no specific FAQs related to this product. Read our general customer & technical service FAQs.

Secondary Antibodies

 

Isotype Controls

Additional PRMT5 Products

Research Areas for PRMT5 Antibody (NBP2-67515)

Find related products by research area.

Blogs on PRMT5

There are no specific blogs for PRMT5, but you can read our latest blog posts.

Contact Information

Product PDFs

Calculators

Concentration Calculator

The concentration calculator allows you to quickly calculate the volume, mass or concentration of your vial. Simply enter your mass, volume, or concentration values for your reagent and the calculator will determine the rest.

=
÷

Review this Product

Be the first to review our PRMT5 Antibody (ST51-06) and receive a gift card or discount.

Bioinformatics

Gene Symbol PRMT5