PRMT10 Antibody - BSA Free

Images

 
Immunohistochemistry-Paraffin: PRMT10 Antibody [NBP1-81887] - Staining of human tonsil shows strong cytoplasmic positivity in lymphoid cells outside reaction centra.
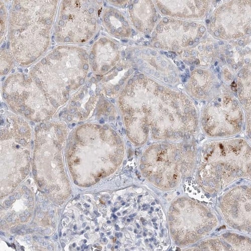
Staining of the human kidney shows strong cytoplasmic positivity in tubular cells.
The staining of the human cerebral cortex shows moderate nuclear positivity in neurons.
The staining of the human rectum shows moderate cytoplasmic positivity in glandular cells.

Product Details

Summary
Reactivity Hu, MuSpecies Glossary
Applications IHC
Clonality
Polyclonal
Host
Rabbit
Conjugate
Unconjugated
Format
BSA Free

Order Details

View Available Formulations
Catalog# & Formulation Size Price

PRMT10 Antibody - BSA Free Summary

Description
Novus Biologicals Rabbit PRMT10 Antibody - BSA Free (NBP1-81887) is a polyclonal antibody validated for use in IHC. All Novus Biologicals antibodies are covered by our 100% guarantee.
Immunogen
This antibody was developed against Recombinant Protein corresponding to amino acids: HTKSLDIEIPKHIPERVSLVVTETVDAGLFGEGIVESLIHAWEHLLLQPKTKGESANCEKYGKVIPASAVIFGMAVECAEIRRHHRVGIKDIAGIHLPT
Predicted Species
Mouse (92%). Backed by our 100% Guarantee.
Isotype
IgG
Clonality
Polyclonal
Host
Rabbit
Gene
PRMT9
Purity
Immunogen affinity purified
Innovator's Reward
Test in a species/application not listed above to receive a full credit towards a future purchase.

Applications/Dilutions

Dilutions
  • Immunohistochemistry 1:200 - 1:500
  • Immunohistochemistry-Paraffin 1:200 - 1:500
Application Notes
For IHC-Paraffin, HIER pH 6 retrieval is recommended.
Control Peptide
PRMT10 Protein (NBP1-81887PEP)

Reactivity Notes

Immunogen displays the following percentage of sequence identity for non-tested species: Rat (88%)

Packaging, Storage & Formulations

Storage
Store at 4C short term. Aliquot and store at -20C long term. Avoid freeze-thaw cycles.
Buffer
PBS (pH 7.2) and 40% Glycerol
Preservative
0.02% Sodium Azide
Purity
Immunogen affinity purified

Alternate Names for PRMT10 Antibody - BSA Free

  • EC 2.1.1.-
  • FLJ46629
  • protein arginine methyltransferase 10 (putative)
  • putative protein arginine N-methyltransferase 10

Limitations

This product is for research use only and is not approved for use in humans or in clinical diagnosis. Primary Antibodies are guaranteed for 1 year from date of receipt.

Customers Who Viewed This Item Also Viewed...

NBP2-07996
Species: Hu
Applications: WB
NBL1-11570
Species: Hu
Applications: WB
NBP3-46113
Species: Hu, Mu, Rt
Applications: ELISA, IHC, IP, , WB
AF5215
Species: Hu, Mu
Applications: ICC, WB
H00008365-M01
Species: Hu
Applications: ELISA, ICC/IF, S-ELISA
NBP1-77144
Species: Hu, Mu, Rt
Applications: ELISA, ICC/IF, IHC,  IHC-P, WB
NBL1-11567
Species: Hu
Applications: WB
MAB4165
Species: Hu
Applications: IHC, WB
NB600-836
Species: Mu
Applications: ICC/IF, IHC,  IHC-P, IP, WB
NBP3-47971
Species: Hu, Mu
Applications: ELISA, IHC, WB
NB500-171
Species: Hu, I, Mu, Rt, Xp, Ye
Applications: ChIP, IB, ICC/IF, IHC,  IHC-P, Single-Cell Western, WB
AF2569
Species: Hu
Applications: ICC, WB
NBP2-52486
Species: Hu
Applications: CyTOF-ready, ELISA, Flow, ICC/IF, IHC,  IHC-P, WB
NBP1-81887
Species: Hu, Mu
Applications: IHC

Publications for PRMT10 Antibody (NBP1-81887) (0)

There are no publications for PRMT10 Antibody (NBP1-81887).
By submitting your publication information earn gift cards and discounts for future purchases.

Reviews for PRMT10 Antibody (NBP1-81887) (0)

There are no reviews for PRMT10 Antibody (NBP1-81887). By submitting a review you will receive an Amazon e-Gift Card or Novus Product Discount.
  • Review with no image -- $10/€7/£6/$10 CAD/¥70 Yuan/¥1110 Yen
  • Review with an image -- $25/€18/£15/$25 CAD/¥150 Yuan/¥2500 Yen

Product General Protocols

Find general support by application which include: protocols, troubleshooting, illustrated assays, videos and webinars.

FAQs for PRMT10 Antibody (NBP1-81887) (0)

There are no specific FAQs related to this product. Read our general customer & technical service FAQs.

Secondary Antibodies

 

Isotype Controls

Additional PRMT10 Products

Research Areas for PRMT10 Antibody (NBP1-81887)

Find related products by research area.

Blogs on PRMT10

There are no specific blogs for PRMT10, but you can read our latest blog posts.

Customers Who Bought This Also Bought

Contact Information

Product PDFs

Calculators

Concentration Calculator

The concentration calculator allows you to quickly calculate the volume, mass or concentration of your vial. Simply enter your mass, volume, or concentration values for your reagent and the calculator will determine the rest.

=
÷

Review this Product

Be the first to review our PRMT10 Antibody - BSA Free and receive a gift card or discount.

Bioinformatics

Gene Symbol PRMT9