PRICKLE1 Antibody

Images

 
Orthogonal Strategies: Immunohistochemistry-Paraffin: PRICKLE1 Antibody [NBP1-83967] - Analysis in human cerebral cortex and skeletal muscle tissues. Corresponding PRICKLE1 RNA-seq data are presented for the same ...read more
Immunocytochemistry/ Immunofluorescence: PRICKLE1 Antibody [NBP1-83967] - Staining of human pancreatic frozen tissue sections stained with PRICKLE1 antibody (red). Nuclei labeled with DAPI (blue). Image from verified ...read more
Immunohistochemistry-Paraffin: PRICKLE1 Antibody [NBP1-83967] - Staining of human fallopian tube shows weak to moderate nuclear positivity in glanular cells.
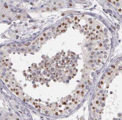
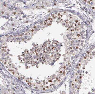
Immunohistochemistry-Paraffin: PRICKLE1 Antibody [NBP1-83967] - Staining of human testis shows moderate nuclear postivity in cells in seminiferous ducts.
Immunohistochemistry-Paraffin: PRICKLE1 Antibody [NBP1-83967] - Staining of human cerebral cortex shows moderate strong nuclear positivity in neurons.
Immunohistochemistry-Paraffin: PRICKLE1 Antibody [NBP1-83967] - Staining of human skeletal muscle shows no postivity in myocytes as expected.

Product Details

Summary
Product Discontinued
View other related PRICKLE1 Primary Antibodies
Validated by:
       

Orthogonal Strategies

 

Order Details


    • Catalog Number
      NBP1-83967
    • Availability
      Product Discontinued

    Can't find what you are looking for? Use our Antibody Concierge Service & we will help you locate your antibody!

    Or feel free to contact us for alternative products.

PRICKLE1 Antibody Summary

Immunogen
This antibody was developed against Recombinant Protein corresponding to amino acids: GASGYNHDETQWYEDSLECLSDLKPEQSVRDSMDSLALSNITGASVDGENKPRPSLYSLQNFEEMETEDCEKMSNMGTLNSSMLHRSAESLKSLSSELCPEKILPEEKPVHLPVLRRSKSQSRPQQVKFSDDVIDNGNYDIEI
Predicted Species
Mouse (91%), Rat (94%). Backed by our 100% Guarantee.
Isotype
IgG
Clonality
Polyclonal
Host
Rabbit
Gene
PRICKLE1
Purity
Immunogen affinity purified
Innovator's Reward
Test in a species/application not listed above to receive a full credit towards a future purchase.

Applications/Dilutions

Dilutions
  • Immunocytochemistry/ Immunofluorescence 0.25-2 ug/ml
  • Immunohistochemistry 1:50 - 1:200
  • Immunohistochemistry-Paraffin 1:50 - 1:200
Application Notes
For IHC-Paraffin, HIER pH 6 retrieval is recommended. PRICKLE1 antibody validated for ICC/IF from a verified customer review.
Reviewed Applications
Read 1 Review rated 5
using
NBP1-83967 in the following applications:

Packaging, Storage & Formulations

Storage
Store at 4C short term. Aliquot and store at -20C long term. Avoid freeze-thaw cycles.
Buffer
PBS (pH 7.2) and 40% Glycerol
Preservative
0.02% Sodium Azide
Purity
Immunogen affinity purified

Alternate Names for PRICKLE1 Antibody

  • EPM1BMGC138902
  • FLJ31627
  • FLJ31937
  • prickle homolog 1 (Drosophila)
  • prickle-like 1 (Drosophila)
  • prickle-like 1
  • prickle-like protein 1
  • REST (RE-1 silencing transcription factor)/NRSF (neuron-restrictive silencerfactor)-interacting LIM domain protein
  • REST/NRSF-interacting LIM domain protein 1
  • RILPMGC138903

Background

PRICKLE1 has 831 amino acids and is approximately 94kDa. PRICKLE1 localizes to the nuclear membrane and is involved in the movement of REST, a transcription repressor. PRICKLE1 is implicated in pathways that regulate neural tube development and gastrulation. PRICKLE1 may also be a nuclear receptor that negatively regulates the Wnt/beta-catenin signaling pathway. Current research on PRICKLE1 is being performed in relation to several diseases and disorders including neural tube defects and progressive myoclonic epilepsy type 1B. PRICKLE1 has also been shown to interact with Dishevelled 1, Dishevelled 2, Dishevelled 3, VIP, and SMURF2 in the Wnt signaling pathway.

Limitations

This product is for research use only and is not approved for use in humans or in clinical diagnosis. Primary Antibodies are guaranteed for 1 year from date of receipt.

Customers Who Viewed This Item Also Viewed...

H00338382-M01
Species: Hu
Applications: ELISA, IP, WB
NBP1-87174
Species: Hu, Mu, Rt
Applications: ICC/IF, IHC,  IHC-P, KD, WB
NBP2-81938
Species: Hu, Mu, Rt
Applications: ELISA, ICC/IF, WB
AF4815
Species: Hu, Mu, Rt
Applications: IHC, WB
AF7164
Species: Hu
Applications: WB
NBP1-86990
Species: Hu, Mu
Applications: ICC/IF, KD, WB
AF6278
Species: Hu, Mu
Applications: WB
AF1927
Species: Hu
Applications: IP, WB
NBP1-91991
Species: Hu, Mu, Rt
Applications: ICC/IF, IHC,  IHC-P, WB
NBP2-92847
Species: Hu, Mu, Rt
Applications: ICC/IF, IHC,  IHC-P, WB
NBP2-55658
Species: Hu
Applications: ICC/IF
NB100-757
Species: Hu
Applications: ChIP, IHC,  IHC-P, WB
AF2440
Species: Mu
Applications: IHC, WB
NBP3-46828
Species: Hu, Mu, Rt
Applications: ELISA, IHC, WB
AF1001
Species: Mu
Applications: IHC
NB120-19294
Species: Hu, Mu, Rt
Applications: ICC/IF, IHC,  IHC-P, WB
236-EG
Species: Hu
Applications: BA
NBP1-83967
Species: Hu, Mu, Rt
Applications: ICC/IF, IHC

Publications for PRICKLE1 Antibody (NBP1-83967) (0)

There are no publications for PRICKLE1 Antibody (NBP1-83967).
By submitting your publication information earn gift cards and discounts for future purchases.

Review for PRICKLE1 Antibody (NBP1-83967) (1) 51

Average Rating: 5
(Based on 1 review)
We have 1 review tested in 1 species: Human.

Reviews using NBP1-83967:
Filter by Applications
IF
(1)
All Applications
Filter by Species
Human
(1)
All Species
Images Ratings Applications Species Date Details
Immunofluorescence PRICKLE1 NBP1-83967
Enlarge
5
reviewed by:
Craig Dorrell
IF Human 11/16/2015
View

Summary

ApplicationImmunofluorescence
Sample TestedHuman pancreatic tissue sections
SpeciesHuman
LotR07257

Product General Protocols

Find general support by application which include: protocols, troubleshooting, illustrated assays, videos and webinars.

Video Protocols

ICC/IF Video Protocol

FAQs for PRICKLE1 Antibody (NBP1-83967) (0)

There are no specific FAQs related to this product. Read our general customer & technical service FAQs.

Secondary Antibodies

 

Isotype Controls

Additional PRICKLE1 Products

Research Areas for PRICKLE1 Antibody (NBP1-83967)

Find related products by research area.

Blogs on PRICKLE1

There are no specific blogs for PRICKLE1, but you can read our latest blog posts.

Contact Information

Product PDFs

Calculators

Concentration Calculator

The concentration calculator allows you to quickly calculate the volume, mass or concentration of your vial. Simply enter your mass, volume, or concentration values for your reagent and the calculator will determine the rest.

=
÷

Recent Reviews

5
5
1
4
0
3
0
2
0
1
0

Craig Dorrell
11/16/2015
Application: IF
Species: Human

Bioinformatics

Gene Symbol PRICKLE1