PLA2R1 Antibody (PLA2R1/4891) - Azide and BSA Free

Images

 
There are currently no images for PLA2R1 Antibody (NBP3-45065).

Every product we sell is backed by Novus' 100% Guarantee. If you have used this product, please submit your images and reviews to earn reward points.

Product Details

Summary
Reactivity HuSpecies Glossary
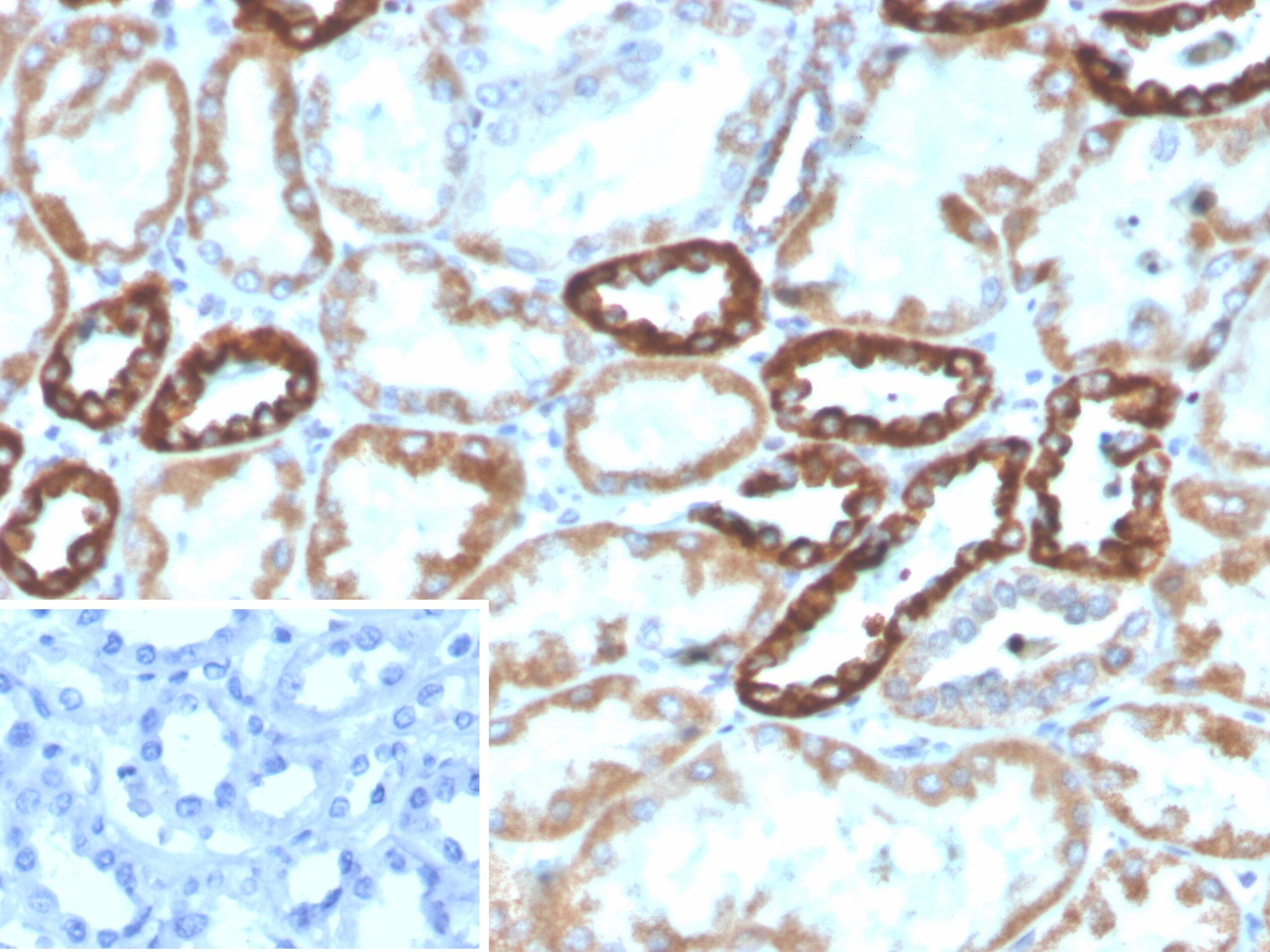
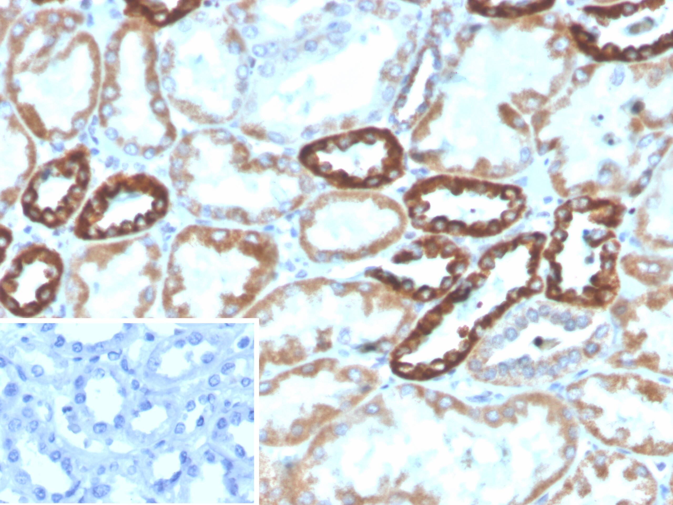
Applications IHC
Clone
PLA2R1/4891
Clonality
Monoclonal
Host
Mouse
Conjugate
Unconjugated
Format
Azide and BSA Free
Concentration
1 mg/ml

Order Details

View Available Formulations
Catalog# & Formulation Size Price

PLA2R1 Antibody (PLA2R1/4891) - Azide and BSA Free Summary

Description
1.0 mg/ml of antibody purified from Bioreactor Concentrate by Protein L. Prepared in 10mM PBS WITHOUT BSA & azide. Also available at 200 ug/ml WITH BSA & azide (NBP3-44595).

Antibody with azide - store at 2 to 8C. Antibody without azide - store at -20 to -80C. Non-hazardous. No MSDS required.
Immunogen
Recombinant fragment (around aa300-600) of human PLA2R1 protein (Uniprot: Q13018). Exact sequence is proprietary.
Localization
Cell membrane, Secreted
Isotype
IgG1 Kappa
Clonality
Monoclonal
Host
Mouse
Gene
PLA2R1
Purity
Protein L purified
Innovator's Reward
Test in a species/application not listed above to receive a full credit towards a future purchase.

Applications/Dilutions

Dilutions
  • Immunohistochemistry : 1-2ug/ml
Application Notes
Immunohistochemistry: 30 min at RT. Staining of formalin-fixed tissues requires heating tissue sections in 10mM Tris with 1mM EDTA, pH 9.0, for 45 min at 95C followed by cooling at RT for 20 minutes.
Theoretical MW
180 kDa.
Disclaimer note: The observed molecular weight of the protein may vary from the listed predicted molecular weight due to post translational modifications, post translation cleavages, relative charges, and other experimental factors.

Packaging, Storage & Formulations

Storage
Store at -20 to -80C. Avoid freeze-thaw cycles.
Buffer
10 mM PBS
Preservative
No Preservative
Concentration
1 mg/ml
Purity
Protein L purified

Alternate Names for PLA2R1 Antibody (PLA2R1/4891) - Azide and BSA Free

  • 180 kDa secretory phospholipase A2 receptor
  • CLEC13C
  • CLEC13CC-type lectin domain family 13 member C
  • phospholipase A2 receptor 1, 180kDa
  • PLA2G1R
  • PLA2IR
  • PLA2R1
  • PLA2-RM-type receptor
  • PLA2Rphospholipase A2 receptor 1, 180kD
  • secretory phospholipase A2 receptor

Background

Secretory phospholipases A2 (PLA2s) have been purified from a variety of mammalian tissues as well as from insect and snake venoms. The prototype group I PLA2, the pancreatic PLA2 (PLA2G1B; MIM 172410), is involved in digestion, smooth muscle contraction, and cell proliferation. The prototype group II PLA2, the inflammatory-type PLA2 (PLA2G2A; MIM 172411), is involved in inflammatory conditions and is upregulated by proinflammatory cytokines like tumor necrosis factor (TNF; MIM 191160) and interleukin-1 (e.g., IL1B; MIM 147720). Differential toxicity of snake venom Pla2 appears to be linked to a variety of high-affinity receptors in different organs (Ancian et al., 1995 (PubMed 7721806)).(supplied by OMIM)

Limitations

This product is for research use only and is not approved for use in humans or in clinical diagnosis. Primary Antibodies are guaranteed for 1 year from date of receipt.

Customers Who Viewed This Item Also Viewed...

MAB5018
Species: Hu
Applications: IP, WB
AF4925
Species: Mu
Applications: IHC, Simple Western, WB
NBP3-41287
Species: Hu
Applications: IHC,  IHC-P, WB
H00151056-B01P
Species: Hu, Mu
Applications: WB
MAB2669
Species: Hu
Applications: IHC, Simple Western, WB
NBP1-88899
Species: Hu
Applications: IHC,  IHC-P
NBP2-94062
Species: Hu, Mu, Rt
Applications: ICC/IF, IHC,  IHC-P, WB
NBP3-46465
Species: Hu, Mu
Applications: ELISA, IHC, WB
NBP2-67150
Species: Hu, Mu, Rt
Applications: IHC, IHC-Fr,  IHC-P, IP, WB
NBP3-17255
Species: Hu
Applications: ICC/IF, WB
NBP1-59069
Species: Hu
Applications: ICC/IF, IHC,  IHC-P, WB
AF1126
Species: Mu
Applications: ELISA(Cap), ELISA(Det), ELISA(Sta), IHC, IP, WB
NBP2-79843
Species: Hu
Applications: CyTOF-ready, ELISA, Flow, ICC/IF, IHC,  IHC-P, PA, WB
NB100-689
Species: Hu, Rt
Applications: IHC, IHC-Fr,  IHC-P, Simple Western, WB
M6000B
Species: Mu
Applications: ELISA
NBP1-31344
Species: Hu, Mu
Applications: ICC/IF, IHC,  IHC-P, WB
NBP2-22203
Species: Hu, Pm, Mu, Rt
Applications: ELISA, Flow, ICC/IF, IHC,  IHC-P, WB

Publications for PLA2R1 Antibody (NBP3-45065) (0)

There are no publications for PLA2R1 Antibody (NBP3-45065).
By submitting your publication information earn gift cards and discounts for future purchases.

Reviews for PLA2R1 Antibody (NBP3-45065) (0)

There are no reviews for PLA2R1 Antibody (NBP3-45065). By submitting a review you will receive an Amazon e-Gift Card or Novus Product Discount.
  • Review with no image -- $10/€7/£6/$10 CAD/¥70 Yuan/¥1110 Yen
  • Review with an image -- $25/€18/£15/$25 CAD/¥150 Yuan/¥2500 Yen

FAQs for PLA2R1 Antibody (NBP3-45065) (0)

There are no specific FAQs related to this product. Read our general customer & technical service FAQs.

Customers Who Bought This Also Bought

Contact Information

Product PDFs

Calculators

Concentration Calculator

The concentration calculator allows you to quickly calculate the volume, mass or concentration of your vial. Simply enter your mass, volume, or concentration values for your reagent and the calculator will determine the rest.

=
÷

Review this Product

Be the first to review our PLA2R1 Antibody (PLA2R1/4891) - Azide and BSA Free and receive a gift card or discount.

Bioinformatics

Gene Symbol PLA2R1