p67phox/NOXA2 Antibody (JG86-31)

Images

 
Western Blot: p67phox/NOXA2 Antibody (JG86-31) [NBP2-75605] - Analysis of NOXA2 on rat spleen tissue lysate using anti-NOXA2 antibody at 1/500 dilution.
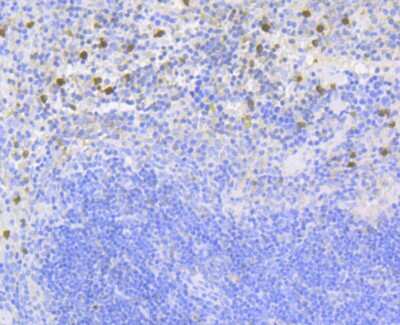
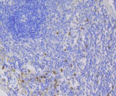
Immunohistochemistry-Paraffin: p67phox/NOXA2 Antibody (JG86-31) [NBP2-75605] - Analysis of paraffin-embedded rat spleen tissue using anti-NOXA2 antibody. Counter stained with hematoxylin.
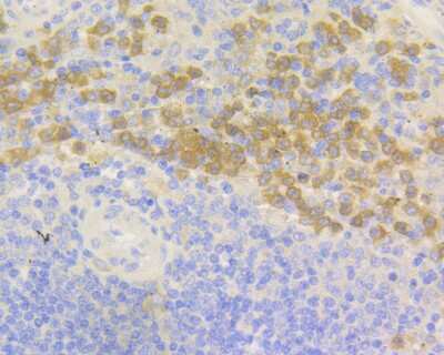
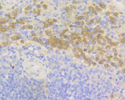
Immunohistochemistry-Paraffin: p67phox/NOXA2 Antibody (JG86-31) [NBP2-75605] - Analysis of paraffin-embedded human spleen tissue using anti-NOXA2 antibody. Counter stained with hematoxylin.
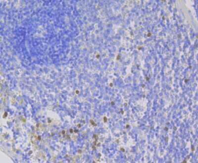
Immunohistochemistry-Paraffin: p67phox/NOXA2 Antibody (JG86-31) [NBP2-75605] - Analysis of paraffin-embedded mouse spleen tissue using anti-NOXA2 antibody. Counter stained with hematoxylin.

Product Details

Summary
Product Discontinued
View other related p67phox/NOXA2 Primary Antibodies

Order Details


    • Catalog Number
      NBP2-75605
    • Availability
      Product Discontinued

    Can't find what you are looking for? Use our Antibody Concierge Service & we will help you locate your antibody!

    Or feel free to contact us for alternative products.

p67phox/NOXA2 Antibody (JG86-31) Summary

Additional Information
Recombinant Monoclonal Antibody.
Immunogen
Recombinant protein within Human p67phox/NOXA2 aa 180-320 / 526. (SwissProt: P19878 Human; SwissProt: O70145 Mouse; SwissProt: A7E3N2 Rat)
Localization
Cytoplasm.
Isotype
IgG
Clonality
Monoclonal
Host
Rabbit
Gene
NCF2
Purity
Protein A purified
Innovator's Reward
Test in a species/application not listed above to receive a full credit towards a future purchase.

Applications/Dilutions

Dilutions
  • Immunohistochemistry
  • Immunohistochemistry-Paraffin 1:50-1:200
  • Immunoprecipitation 1:10-1:50
  • Western Blot 1:500
Theoretical MW
60 kDa.
Disclaimer note: The observed molecular weight of the protein may vary from the listed predicted molecular weight due to post translational modifications, post translation cleavages, relative charges, and other experimental factors.

Packaging, Storage & Formulations

Storage
Store at 4C short term. Aliquot and store at -20C long term. Avoid freeze-thaw cycles.
Buffer
TBS (pH7.4), 0.05% BSA, 40% Glycerol
Preservative
0.05% Sodium Azide
Concentration
1 mg/ml
Purity
Protein A purified

Alternate Names for p67phox/NOXA2 Antibody (JG86-31)

  • autosomal 2
  • NADPH oxidase activator 2
  • NCF2
  • NCF-2
  • neutrophil cytosol factor 2
  • neutrophil cytosolic factor 2 (65kD, chronic granulomatous disease, autosomal2)
  • neutrophil cytosolic factor 2
  • NOXA2
  • NOXA2FLJ93058
  • p67phox
  • p67-phox

Background

NOXA2 encodes neutrophil cytosolic factor 2, the 67-kilodalton cytosolic subunit of the multi-protein NADPH oxidase complex found in neutrophils. This oxidase produces a burst of superoxide which is delivered to the lumen of the neutrophil phagosome. Mutations in this gene, as well as in other NADPH oxidase subunits, can result in chronic granulomatous disease, a disease that causes recurrent infections by catalase-positive organisms. Alternative splicing results in two transcript variants that encode the same protein.

Limitations

This product is for research use only and is not approved for use in humans or in clinical diagnosis. Primary Antibodies are guaranteed for 1 year from date of receipt.

Customers Who Viewed This Item Also Viewed...

NB100-790
Species: Ba, Hu, Mu, Po
Applications: Flow, ICC/IF, IHC,  IHC-P, IP, PEP-ELISA, WB
NBP2-41291
Species: Hu, Mu, Rt
Applications: ELISA, ICC/IF, IHC,  IHC-P, WB
NBP3-03403
Species: Hu, Mu, Rt
Applications: ICC/IF, WB
NBP2-46111
Species: Hu, Mu, Rt
Applications: IHC,  IHC-P, WB
AF887
Species: Hu, Mu, Rt
Applications: CyTOF-ready, IHC, ICFlow, Simple Western, WB
NB100-91266
Species: Hu, Mu, Rt
Applications: ICC/IF, IHC, IHC-Fr,  IHC-P, WB
NBP1-31546
Species: Hu, Mu, Rt
Applications: Flow, ICC/IF, IHC,  IHC-P, IP, WB
NBP3-35170
Species: Hu, Mu, Rt
Applications: ELISA, ICC/IF, IHC,  IHC-P, WB
NBP3-05513
Species: Hu
Applications: ICC/IF, IHC,  IHC-P, WB
AF5675
Species: Hu, Mu, Rt
Applications: IHC, IP, KO, WB
NBP2-22377
Species: Hu
Applications: IHC,  IHC-P, WB
MAB1904
Species: Hu
Applications: ICC, IHC, WB
NBP1-89163
Species: Hu
Applications: ICC/IF, IHC,  IHC-P
NBP2-02300
Species: Hu, Mu, Rt
Applications: Flow, IHC,  IHC-P, WB
NBP2-13677
Species: Hu
Applications: ICC/IF, IHC,  IHC-P, WB
AF5758
Species: Hu
Applications: ICC, IHC, WB
NB110-58849
Species: Bv, Hu, Mu, Po, Pm, Rb, Rt, Sh
Applications: IB, ICC/IF, IHC, IHC-Fr,  IHC-P, KD, WB

Publications for p67phox/NOXA2 Antibody (NBP2-75605) (0)

There are no publications for p67phox/NOXA2 Antibody (NBP2-75605).
By submitting your publication information earn gift cards and discounts for future purchases.

Reviews for p67phox/NOXA2 Antibody (NBP2-75605) (0)

There are no reviews for p67phox/NOXA2 Antibody (NBP2-75605). By submitting a review you will receive an Amazon e-Gift Card or Novus Product Discount.
  • Review with no image -- $10/€7/£6/$10 CAD/¥70 Yuan/¥1110 Yen
  • Review with an image -- $25/€18/£15/$25 CAD/¥150 Yuan/¥2500 Yen

Product General Protocols

Find general support by application which include: protocols, troubleshooting, illustrated assays, videos and webinars.

Video Protocols

WB Video Protocol

FAQs for p67phox/NOXA2 Antibody (NBP2-75605) (0)

There are no specific FAQs related to this product. Read our general customer & technical service FAQs.

Secondary Antibodies

 

Isotype Controls

Additional p67phox/NOXA2 Products

Research Areas for p67phox/NOXA2 Antibody (NBP2-75605)

Find related products by research area.

Blogs on p67phox/NOXA2

There are no specific blogs for p67phox/NOXA2, but you can read our latest blog posts.

Contact Information

Product PDFs

Calculators

Concentration Calculator

The concentration calculator allows you to quickly calculate the volume, mass or concentration of your vial. Simply enter your mass, volume, or concentration values for your reagent and the calculator will determine the rest.

=
÷

Review this Product

Be the first to review our p67phox/NOXA2 Antibody (JG86-31) and receive a gift card or discount.

Bioinformatics

Gene Symbol NCF2