p57 Kip2 Antibody (KIP2/7187) - Azide and BSA Free

Images

 
IHC analysis of formalin-fixed, paraffin-embedded human complete mole (CM). Strong nuclear staining using p57 Kip2 antibody (KIP2/7187) at 2ug/ml in PBS for 30min RT.
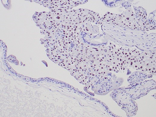
IHC analysis of formalin-fixed, paraffin-embedded human placenta. Strong nuclear staining using p57 Kip2 antibody (KIP2/7187) at 2ug/ml in PBS for 30min RT. Inset: PBS instead of primary antibody; secondary only ...read more

Product Details

Summary
Reactivity Hu, MuSpecies Glossary
Applications IHC
Clone
KIP2/7187
Clonality
Monoclonal
Host
Mouse
Conjugate
Unconjugated
Format
Azide and BSA Free
Concentration
1 mg/ml

Order Details

p57 Kip2 Antibody (KIP2/7187) - Azide and BSA Free Summary

Description
Positive Controls: Raji, HT29 or SK-BR3 cells. Human colon or prostate carcinomas.

Antibody with azide - store at 2 to 8C. Antibody without azide - store at -20 to -80C. Non-hazardous. No MSDS required.
Immunogen
Recombinant full-length human p57 Kip2 protein
Localization
Nucleus.
Specificity
Recognizes a protein of 57kDa, identified as p57 Kip2 It shows no cross-reaction with p27Kip1
Isotype
IgG Kappa
Clonality
Monoclonal
Host
Mouse
Gene
CDKN1C
Purity
Protein A or G purified
Innovator's Reward
Test in a species/application not listed above to receive a full credit towards a future purchase.

Applications/Dilutions

Dilutions
  • Immunohistochemistry-Paraffin 0.25-0.5 ug/ml
Application Notes
Immunohistochemistry (Formalin-fixed): 0.25-0.5ug/ml for 30 minutes. at RT. Staining of formalin-fixed tissues requires heating tissue sections in 10mM Tris with 1mM EDTA, pH 9.0, for 45 min at 95C followed by cooling at RT for 20 minutes.

Optimal dilution for a specific application should be determined.

Packaging, Storage & Formulations

Storage
Store at -20 to -70C. Avoid freeze-thaw cycles.
Buffer
10mM PBS
Preservative
No Preservative
Concentration
1 mg/ml
Purity
Protein A or G purified

Alternate Names for p57 Kip2 Antibody (KIP2/7187) - Azide and BSA Free

  • Beckwith-Wiedemann syndrome
  • BWS
  • cyclin-dependent kinase inhibitor 1C (p57, Kip2)
  • cyclin-dependent kinase inhibitor 1C
  • Cyclin-dependent kinase inhibitor p57
  • KIP2BWCR
  • p57
  • p57Kip2
  • WBS

Background

p57kip2 is a tight-binding, strong inhibitor of several G1 cyclin/Cdk complexes and a negative regulator of cell proliferation. Mutations in this gene are implicated in sporadic cancers and Beckwith-Wiedemann syndorome, suggesting that this gene is a tumor suppressor candidate.

Limitations

This product is for research use only and is not approved for use in humans or in clinical diagnosis. Primary Antibodies are guaranteed for 1 year from date of receipt.

Customers Who Viewed This Item Also Viewed...

NBP2-29463
Species: Pm, Hu, Pm, Mu
Applications: Flow, ICC/IF, IHC,  IHC-P, WB
AF1555
Species: Hu
Applications: WB
NBP1-90949
Species: Hu
Applications: IHC,  IHC-P, WB
NBP1-80616
Species: Hu, Mu, Rt
Applications: IHC,  IHC-P, WB
NBP2-03198
Species: Hu
Applications: Flow, ICC/IF, IHC,  IHC-P, WB
NBP3-26876
Species: Hu
Applications: IHC,  IHC-P
NBP2-47561
Species: Hu
Applications: ICC/IF, IHC,  IHC-P, WB
292-G2
Species: Hu
Applications: BA
MAB7557
Species: Hu
Applications: IHC, WB
NBP2-46085
Species: Hu
Applications: IHC,  IHC-P, WB
H00027065-M01
Species: Hu, Rt
Applications: ELISA, ICC/IF, S-ELISA, WB
NB200-106
Species: Mu, Rt
Applications: ELISA, ICC/IF, IHC, IHC-Fr,  IHC-P, WB
NBP2-00776
Species: Ca, Hu, Pm, Mu, Rt
Applications: Flow, ICC/IF, IHC,  IHC-P, WB
NBP2-34294
Species: Hu, Mu, Rt
Applications: Flow, IHC,  IHC-P
NB500-106
Species: Ch, Dr, Fi, Hu, Mar, Mu, Po, Pm, Rb, Rt, Ye, Ze
Applications: ChIP, ChIP, ELISA, Flow, ICC/IF, IHC-FrFl, IHC, IHC-Fr,  IHC-P, IP, Simple Western, WB
NBP2-45603
Species: Hu, Mu, Rt
Applications: Flow, IHC,  IHC-P, WB
AF6897
Species: Hu, Mu
Applications: IHC, Simple Western, WB
NBP2-68858
Species: Hu
Applications: IHC,  IHC-P

Publications for p57 Kip2 Antibody (NBP3-20895) (0)

There are no publications for p57 Kip2 Antibody (NBP3-20895).
By submitting your publication information earn gift cards and discounts for future purchases.

Reviews for p57 Kip2 Antibody (NBP3-20895) (0)

There are no reviews for p57 Kip2 Antibody (NBP3-20895). By submitting a review you will receive an Amazon e-Gift Card or Novus Product Discount.
  • Review with no image -- $10/€7/£6/$10 CAD/¥70 Yuan/¥1110 Yen
  • Review with an image -- $25/€18/£15/$25 CAD/¥150 Yuan/¥2500 Yen

Product General Protocols

Find general support by application which include: protocols, troubleshooting, illustrated assays, videos and webinars.

FAQs for p57 Kip2 Antibody (NBP3-20895) (0)

There are no specific FAQs related to this product. Read our general customer & technical service FAQs.

Secondary Antibodies

 

Isotype Controls

Additional p57 Kip2 Products

Research Areas for p57 Kip2 Antibody (NBP3-20895)

Find related products by research area.

Blogs on p57 Kip2

There are no specific blogs for p57 Kip2, but you can read our latest blog posts.

Customers Who Bought This Also Bought

Contact Information

Product PDFs

Calculators

Concentration Calculator

The concentration calculator allows you to quickly calculate the volume, mass or concentration of your vial. Simply enter your mass, volume, or concentration values for your reagent and the calculator will determine the rest.

=
÷

Review this Product

Be the first to review our p57 Kip2 Antibody (KIP2/7187) - Azide and BSA Free and receive a gift card or discount.

Bioinformatics

Gene Symbol CDKN1C