p27/Kip1 Antibody (RM302)

Images

 
Western Blot: p27/Kip1 Antibody (RM302) [NBP2-61571] - Western Blot of MCF-7 cells lysate using NBP2-61571.
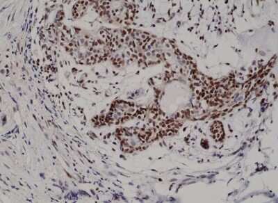
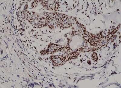
Immunohistochemistry-Paraffin: p27/Kip1 Antibody (RM302) [NBP2-61571] - Immunohistochemical staining of formalin fixed and paraffin embedded human breast cancer tissue section using NBP2-61571.

Product Details

Summary
Product Discontinued
View other related p27/Kip1 Primary Antibodies

Order Details


    • Catalog Number
      NBP2-61571
    • Availability
      Product Discontinued

    Can't find what you are looking for? Use our Antibody Concierge Service & we will help you locate your antibody!

    Or feel free to contact us for alternative products.

p27/Kip1 Antibody (RM302) Summary

Additional Information
Recombinant Monoclonal Antibody.
Immunogen
A peptide corresponding to the C-terminus of Human p27/Kip1
Specificity
This antibody reacts to human p27/Kip1. It may also react to mouse p27Kip1, as predicted by immunogen homology.
Isotype
IgG
Clonality
Monoclonal
Host
Rabbit
Gene
CDKN1B
Purity
Protein A purified
Innovator's Reward
Test in a species/application not listed above to receive a full credit towards a future purchase.

Applications/Dilutions

Dilutions
  • Immunohistochemistry 1:100 - 1:200
  • Immunohistochemistry-Paraffin 1:100-1:200
  • Western Blot 1:500-1:1000

Packaging, Storage & Formulations

Storage
Store at -20C. Avoid freeze-thaw cycles.
Buffer
50% Glycerol/PBS with 1% BSA
Preservative
0.09% Sodium Azide
Purity
Protein A purified

Alternate Names for p27/Kip1 Antibody (RM302)

  • CDKN1B
  • CDKN4
  • cyclin-dependent kinase inhibitor 1B (p27, Kip1)
  • cyclin-dependent kinase inhibitor 1B
  • Cyclin-dependent kinase inhibitor p27
  • Kip1
  • KIP1P27KIP1
  • MEN1B
  • MEN4
  • p27
  • p27Kip1

Background

p27(Kip1) is a cyclin-dependent kinase inhibitor involved in G1 arrest. p27(Kip1) binds to and inhibits cyclinE-Cdk2 complex, cyclinA-CDK2 and cyclinD1-CDK4 (1). p27(Kip1) is regulated by phosphorylation on serine 10 (S10) and threonine 187 (T187). Phosphorylation by CDK2 on T187 results in ubiquitylation and degradation of p27(Kip1) (2); while phosphorylation by hKIS on S10 signals the nuclear export to the cytoplasm (3).

Limitations

This product is for research use only and is not approved for use in humans or in clinical diagnosis. Primary Antibodies are guaranteed for 1 year from date of receipt.

Customers Who Viewed This Item Also Viewed...

NBP2-29463
Species: Pm, Hu, Pm, Mu
Applications: Flow, ICC/IF, IHC,  IHC-P, WB
NBP1-90949
Species: Hu
Applications: IHC,  IHC-P, WB
NBP1-80616
Species: Hu, Mu, Rt
Applications: IHC,  IHC-P, WB
NBP2-03198
Species: Hu
Applications: Flow, ICC/IF, IHC,  IHC-P, WB
NBP3-26876
Species: Hu
Applications: IHC,  IHC-P
NBP2-47561
Species: Hu
Applications: ICC/IF, IHC,  IHC-P, WB
AF4654
Species: Hu, Mu, Rt
Applications: ICC, IHC, Simple Western, WB
NBP2-46085
Species: Hu
Applications: IHC,  IHC-P, WB
H00027065-M01
Species: Hu, Rt
Applications: ELISA, ICC/IF, S-ELISA, WB
AF6897
Species: Hu, Mu
Applications: IHC, Simple Western, WB
NBP2-68858
Species: Hu
Applications: IHC,  IHC-P
NB200-106
Species: Mu, Rt
Applications: ELISA, ICC/IF, IHC, IHC-Fr,  IHC-P, WB
NBP1-31308
Species: Bv, Hu, Mu, Rt
Applications: ICC/IF, IHC,  IHC-P, Simple Western, WB
NBP2-32840
Species: Hu, Pm, Mu, Rt
Applications: Flow, ICC/IF, IHC,  IHC-P, WB
AF887
Species: Hu, Mu, Rt
Applications: CyTOF-ready, IHC, ICFlow, Simple Western, WB
NB200-103
Species: Hu, Mu, Rt, Xp(-), Ye
Applications: CyTOF-ready, ELISA, Flow-IC, Flow, ICC/IF, IHC, IHC-Fr,  IHC-P, IP, WB
NB500-106
Species: Ch, Dr, Fi, Hu, Mar, Mu, Po, Pm, Rb, Rt, Ye, Ze
Applications: ChIP, ChIP, ELISA, Flow, ICC/IF, IHC-FrFl, IHC, IHC-Fr,  IHC-P, IP, Simple Western, WB
MAB6495
Species: Hu
Applications: ICC, Simple Western, WB

Publications for p27/Kip1 Antibody (NBP2-61571) (0)

There are no publications for p27/Kip1 Antibody (NBP2-61571).
By submitting your publication information earn gift cards and discounts for future purchases.

Reviews for p27/Kip1 Antibody (NBP2-61571) (0)

There are no reviews for p27/Kip1 Antibody (NBP2-61571). By submitting a review you will receive an Amazon e-Gift Card or Novus Product Discount.
  • Review with no image -- $10/€7/£6/$10 CAD/¥70 Yuan/¥1110 Yen
  • Review with an image -- $25/€18/£15/$25 CAD/¥150 Yuan/¥2500 Yen

Product General Protocols

Find general support by application which include: protocols, troubleshooting, illustrated assays, videos and webinars.

Video Protocols

WB Video Protocol

FAQs for p27/Kip1 Antibody (NBP2-61571) (0)

There are no specific FAQs related to this product. Read our general customer & technical service FAQs.

Contact Information

Product PDFs

Calculators

Concentration Calculator

The concentration calculator allows you to quickly calculate the volume, mass or concentration of your vial. Simply enter your mass, volume, or concentration values for your reagent and the calculator will determine the rest.

=
÷

Review this Product

Be the first to review our p27/Kip1 Antibody (RM302) and receive a gift card or discount.

Bioinformatics

Gene Symbol CDKN1B