Opsin 3 Antibody

Images

 
Immunohistochemistry-Frozen: Opsin 3 Antibody [NBP2-19629] - Frozen sectioned adult mouse retina. Green: Opsin 3 protein stained by Opsin 3 antibody [N1], N-term diluted at 1:250. Red: beta Tubulin 3/ TUJ1, stained by ...read more
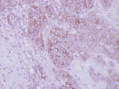
Immunohistochemistry-Paraffin: Opsin 3 Antibody [NBP2-19629] - Human breast cancer, using Opsin 3 antibody at 1:250 dilution. Antigen Retrieval: Trilogy™ (EDTA based, pH 8.0) buffer, 15min.
Western Blot: Opsin 3 Antibody [NBP2-19629] - Whole cell extract (30 ug) was separated by 10% SDS-PAGE, and the membrane was blotted with Opsin 3 antibody [N1], N-term (NBP2-19629) diluted at 1:1000. The HRP-conjugated ...read more

Product Details

Summary
Product Discontinued
View other related Opsin 3 Primary Antibodies

Order Details


    • Catalog Number
      NBP2-19629
    • Availability
      Product Discontinued

    Can't find what you are looking for? Use our Antibody Concierge Service & we will help you locate your antibody!

    Or feel free to contact us for alternative products.

Opsin 3 Antibody Summary

Immunogen
Carrier-protein conjugated synthetic peptide encompassing a sequence within the N-terminus region of human Opsin 3. The exact sequence is proprietary.
Localization
Membrane; Multi-pass membrane protein
Isotype
IgG
Clonality
Polyclonal
Host
Rabbit
Gene
OPN3
Purity
Antigen Affinity-purified
Innovator's Reward
Test in a species/application not listed above to receive a full credit towards a future purchase.

Applications/Dilutions

Dilutions
  • Immunohistochemistry 1:100-1:1000
  • Immunohistochemistry-Frozen 1:100-1:1000
  • Immunohistochemistry-Paraffin 1:100-1:1000
  • Western Blot 1:500-1:3000
Theoretical MW
45 kDa.
Disclaimer note: The observed molecular weight of the protein may vary from the listed predicted molecular weight due to post translational modifications, post translation cleavages, relative charges, and other experimental factors.

Reactivity Notes

Rat (85%).

Packaging, Storage & Formulations

Storage
Aliquot and store at -20C or -80C. Avoid freeze-thaw cycles.
Buffer
PBS (pH 7), 20% Glycerol
Preservative
0.025% Proclin 300
Purity
Antigen Affinity-purified

Alternate Names for Opsin 3 Antibody

  • ECPN
  • ECPNopsin-3
  • encephalopsin
  • ERO
  • NMO-1
  • opsin 3 (encephalopsin, panopsin)
  • opsin 3
  • Panopsin

Background

Opsins are members of the guanine nucleotide-binding protein (G protein)-coupled receptor superfamily. In addition to the visual opsins, mammals possess several photoreceptive non-visual opsins that are expressed in extraocular tissues. This gene, opsin 3, is strongly expressed in brain and testis and weakly expressed in liver, placenta, heart, lung, skeletal muscle, kidney, and pancreas. The gene may also be expressed in the retina. The protein has the canonical features of a photoreceptive opsin protein. [provided by RefSeq]

Limitations

This product is for research use only and is not approved for use in humans or in clinical diagnosis. Primary Antibodies are guaranteed for 1 year from date of receipt.

Customers Who Viewed This Item Also Viewed...

NLS1150
Species: Hu
Applications: IHC,  IHC-P
NB100-74460
Species: Hu, Mu, Rt
Applications: ICC/IF, IHC, IHC-Fr, KO, WB
NBP3-48804
Species: Hu, Mu, Rt
Applications: IHC,  IHC-P
NLS2144
Species: Bt, Bv, Ca, Eq, Hu, Pm, Mu, Rb
Applications: IHC,  IHC-P
NBP2-25160
Species: Bv, Ca, Eq, Hu, Mu, Po, Rt
Applications: ICC/IF, IHC, WB
NBP1-86335
Species: Hu
Applications: IHC,  IHC-P
NBP1-20194
Species: Hu, Mu, Rt
Applications: ICC/IF, IHC,  IHC-P, WB
664-LI
Species: Hu
Applications: BA
NBP1-80840
Species: Hu
Applications: ICC/IF, IHC,  IHC-P
AF1230
Species: Hu, Mu, Rt
Applications: IHC, KO, WB
NBP1-87142
Species: Hu
Applications: ICC/IF, IHC,  IHC-P
AF808
Species: Mu
Applications: ELISA(Cap), ELISA(Det), ELISA(Sta), ICC, IHC, Neut, WB
NB300-213
Species: Fe, Hu, Mu, Rt
Applications: ICC/IF, IHC, IHC-Fr,  IHC-P, KD, WB
NB100-65543
Species: Mu, Rt
Applications: Flow, ICC/IF, IHC-FrFl, IHC, IHC-Fr, IP, WB
H00002729-M01
Species: Hu, Mu, Rt
Applications: ELISA, ICC/IF, WB
NBP2-37568
Species: Hu
Applications: ELISA, Flow, ICC/IF, IHC,  IHC-P, WB
NBP1-68874
Species: Hu, Mu, Rt
Applications: PEP-ELISA, WB
NBP1-89785
Species: Hu
Applications: ICC/IF, IHC,  IHC-P, WB
AF820
Species: Hu, Mu
Applications: ICC, IHC, KO, Simple Western, WB
NBP2-19629
Species: Hu, Mu
Applications: WB, IHC
⚠ WARNING: This product can expose you to chemicals including mercury, which is known to the State of California to cause reproductive toxicity with developmental effects.  For more information go to www.P65Warnings.ca.gov.

Publications for Opsin 3 Antibody (NBP2-19629) (0)

There are no publications for Opsin 3 Antibody (NBP2-19629).
By submitting your publication information earn gift cards and discounts for future purchases.

Reviews for Opsin 3 Antibody (NBP2-19629) (0)

There are no reviews for Opsin 3 Antibody (NBP2-19629). By submitting a review you will receive an Amazon e-Gift Card or Novus Product Discount.
  • Review with no image -- $10/€7/£6/$10 CAD/¥70 Yuan/¥1110 Yen
  • Review with an image -- $25/€18/£15/$25 CAD/¥150 Yuan/¥2500 Yen

Product General Protocols

Find general support by application which include: protocols, troubleshooting, illustrated assays, videos and webinars.

Video Protocols

WB Video Protocol

FAQs for Opsin 3 Antibody (NBP2-19629) (0)

There are no specific FAQs related to this product. Read our general customer & technical service FAQs.

Secondary Antibodies

 

Isotype Controls

Additional Opsin 3 Products

Research Areas for Opsin 3 Antibody (NBP2-19629)

Find related products by research area.

Blogs on Opsin 3

There are no specific blogs for Opsin 3, but you can read our latest blog posts.

Contact Information

Product PDFs

Calculators

Concentration Calculator

The concentration calculator allows you to quickly calculate the volume, mass or concentration of your vial. Simply enter your mass, volume, or concentration values for your reagent and the calculator will determine the rest.

=
÷

Review this Product

Be the first to review our Opsin 3 Antibody and receive a gift card or discount.

Bioinformatics

Gene Symbol OPN3
Uniprot