Ndufs4 Antibody (JE40-47)

Images

 
Western Blot: Ndufs4 Antibody (JE40-47) [NBP2-76851] - Analysis of Ndufs4 on rat heart tissue lysate using anti-Ndufs4 antibody at 1/1,000 dilution.
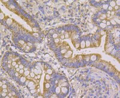
Immunohistochemistry-Paraffin: Ndufs4 Antibody (JE40-47) [NBP2-76851] - Analysis of human small intestine tissue using anti-Ndufs4 antibody. Counter stained with hematoxylin.
Flow Cytometry: Ndufs4 Antibody (JE40-47) [NBP2-76851] - Flow cytometric analysis of SH-SY-5Y cells with Ndufs4 antibody at 1/100 dilution (purple) compared with an unlabelled control (cells without incubation with ...read more
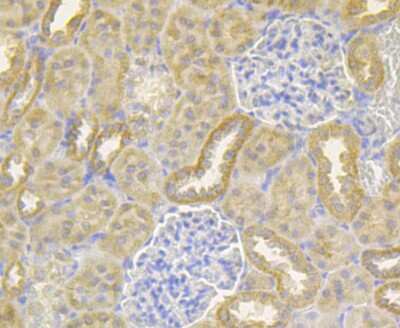
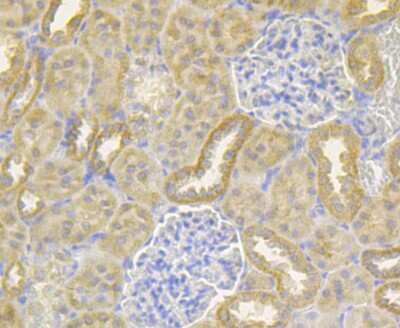
Immunohistochemistry-Paraffin: Ndufs4 Antibody (JE40-47) [NBP2-76851] - Analysis of rat kidney tissue using anti-Ndufs4 antibody. Counter stained with hematoxylin.

Product Details

Summary
Product Discontinued
View other related Ndufs4 Primary Antibodies

Order Details


    • Catalog Number
      NBP2-76851
    • Availability
      Product Discontinued

    Can't find what you are looking for? Use our Antibody Concierge Service & we will help you locate your antibody!

    Or feel free to contact us for alternative products.

Ndufs4 Antibody (JE40-47) Summary

Additional Information
Recombinant Monoclonal Antibody.
Immunogen
Recombinant protein within Human Ndufs4 aa 1-140 / 175. (SwissProt: O43181 Human; SwissProt: Q5XIF3 Rat)
Localization
Mitochondrion.
Isotype
IgG
Clonality
Monoclonal
Host
Rabbit
Gene
NDUFS4
Purity
Protein A purified
Innovator's Reward
Test in a species/application not listed above to receive a full credit towards a future purchase.

Applications/Dilutions

Dilutions
  • Flow Cytometry 1:50-1:100
  • Immunohistochemistry-Paraffin 1:50-1:200
  • Immunoprecipitation 1:10-1:50
  • Western Blot 1:500-1:2000
Theoretical MW
20 kDa.
Disclaimer note: The observed molecular weight of the protein may vary from the listed predicted molecular weight due to post translational modifications, post translation cleavages, relative charges, and other experimental factors.

Packaging, Storage & Formulations

Storage
Store at 4C short term. Aliquot and store at -20C long term. Avoid freeze-thaw cycles.
Buffer
TBS (pH7.4), 0.05% BSA, 40% Glycerol
Preservative
0.05% Sodium Azide
Concentration
1 mg/ml
Purity
Protein A purified

Alternate Names for Ndufs4 Antibody (JE40-47)

  • AQDQ
  • AQDQmitochondrial
  • CI-18 kDa
  • NADH dehydrogenase (ubiquinone) Fe-S protein 4 (18kD) (NADH-coenzyme Qreductase)
  • NADH dehydrogenase (ubiquinone) Fe-S protein 4, 18kDa (NADH-coenzyme Qreductase)
  • NADH-coenzyme Q reductase, 18-KD
  • NADH-ubiquinone oxidoreductase 18 kDa subunit

Background

Ndufs4 encodes an accessory subunit of the mitochondrial membrane respiratory chain NADH dehydrogenase (Complex I), or NADH:ubiquinone oxidoreductase, the first multi-subunit enzyme complex of the mitochondrial respiratory chain. Complex I plays a vital role in cellular ATP production, the primary source of energy for many crucial processes in living cells. It removes electrons from NADH and passes them by a series of different protein-coupled redox centers to the electron acceptor ubiquinone. In well-coupled mitochondria, the electron flux leads to ATP generation via the building of a proton gradient across the inner membrane. Complex I is composed of at least 41 subunits, of which 7 are encoded by the mitochondrial genome and the remainder by nuclear genes.

Limitations

This product is for research use only and is not approved for use in humans or in clinical diagnosis. Primary Antibodies are guaranteed for 1 year from date of receipt.

Customers Who Viewed This Item Also Viewed...

NBP1-56520
Species: Hu, Mu
Applications: WB
NBP1-33074
Species: Hu, Mu, Ze
Applications: IHC,  IHC-P, KO, WB
NBP1-92172
Species: Hu
Applications: ICC/IF, IHC,  IHC-P, WB
NBP2-46127
Species: Hu, Mu, Rt
Applications: IHC,  IHC-P, KO, WB
NBP1-49846
Species: Hu
Applications: IHC,  IHC-P, PEP-ELISA, WB
NBP2-49127
Species: Hu
Applications: IHC,  IHC-P
NBP1-85620
Species: Hu
Applications: ICC/IF, IHC,  IHC-P
NBP3-12681
Species: Hu
Applications: ICC/IF, IHC,  IHC-P, IP, WB
NBP2-97854
Species: Pm-Cm, Hu
Applications: ICC/IF, IHC,  IHC-P, IP, WB
NBP1-84475
Species: Hu, Mu
Applications: IHC,  IHC-P, WB
NBP3-48671
Species: Hu, Mu, Rt, Ze
Applications: ICC/IF, IHC,  IHC-P, WB
NBP2-47359
Species: Hu
Applications: ICC/IF, IHC,  IHC-P, WB
MAB41051
Species: Hu, Mu
Applications: WB
NB100-2737
Species: Hu
Applications: ICC/IF, IHC, IP, WB
NB100-56503
Species: Dr, Hu, Mu, Rb, Rt
Applications: Flow-CS, Flow-IC, Flow, IB, ICC/IF, IHC,  IHC-P, Simple Western, WB
NBP1-88937
Species: Hu
Applications: IHC,  IHC-P, WB

Publications for Ndufs4 Antibody (NBP2-76851) (0)

There are no publications for Ndufs4 Antibody (NBP2-76851).
By submitting your publication information earn gift cards and discounts for future purchases.

Reviews for Ndufs4 Antibody (NBP2-76851) (0)

There are no reviews for Ndufs4 Antibody (NBP2-76851). By submitting a review you will receive an Amazon e-Gift Card or Novus Product Discount.
  • Review with no image -- $10/€7/£6/$10 CAD/¥70 Yuan/¥1110 Yen
  • Review with an image -- $25/€18/£15/$25 CAD/¥150 Yuan/¥2500 Yen

Product General Protocols

Find general support by application which include: protocols, troubleshooting, illustrated assays, videos and webinars.

Video Protocols

WB Video Protocol

FAQs for Ndufs4 Antibody (NBP2-76851) (0)

There are no specific FAQs related to this product. Read our general customer & technical service FAQs.

Secondary Antibodies

 

Isotype Controls

Additional Ndufs4 Products

Research Areas for Ndufs4 Antibody (NBP2-76851)

Find related products by research area.

Blogs on Ndufs4

There are no specific blogs for Ndufs4, but you can read our latest blog posts.

Contact Information

Product PDFs

Calculators

Concentration Calculator

The concentration calculator allows you to quickly calculate the volume, mass or concentration of your vial. Simply enter your mass, volume, or concentration values for your reagent and the calculator will determine the rest.

=
÷

Review this Product

Be the first to review our Ndufs4 Antibody (JE40-47) and receive a gift card or discount.

Bioinformatics

Gene Symbol NDUFS4