MSY2 Antibody (A2-B9-G6)

Images

 
Western Blot: MSY2 Antibody (A2-B9-G6) [NBP2-75575] - Analysis of MYS2 on MCF-7 cell (1) and mouse testis tissue lysate using anti-MSY2 antibody at 1/1,000 dilution.
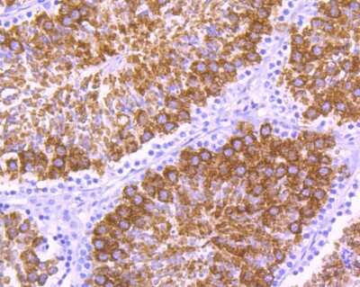
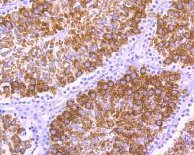
Immunohistochemistry-Paraffin: MSY2 Antibody (A2-B9-G6) [NBP2-75575] - Analysis of paraffin-embedded mouse testis tissue using anti-MSY2 antibody. Counter stained with hematoxylin.

Product Details

Summary
Product Discontinued
View other related MSY2 Primary Antibodies

Order Details


    • Catalog Number
      NBP2-75575
    • Availability
      Product Discontinued

    Can't find what you are looking for? Use our Antibody Concierge Service & we will help you locate your antibody!

    Or feel free to contact us for alternative products.

MSY2 Antibody (A2-B9-G6) Summary

Immunogen
Synthetic peptide within Human MSY2 aa 295-344 / 364. (SwissProt: Q9Y2T7 Human; SwissProt: P62960 Mouse; SwissProt: P62961 Rat)
Localization
Cytoplasm. Nucleus.
Isotype
IgG1
Clonality
Monoclonal
Host
Mouse
Gene
YBX2
Purity
Protein G purified
Innovator's Reward
Test in a species/application not listed above to receive a full credit towards a future purchase.

Applications/Dilutions

Dilutions
  • Immunohistochemistry
  • Immunohistochemistry-Paraffin 1:50-1:200
  • Western Blot 1:500-1:2000
Theoretical MW
38.5 kDa.
Disclaimer note: The observed molecular weight of the protein may vary from the listed predicted molecular weight due to post translational modifications, post translation cleavages, relative charges, and other experimental factors.

Reactivity Notes

Mouse blocking reagent may be needed for IHC and ICC experiments to reduce high background signal. You can find these reagents under catalog numbers PK-2200-NB and MP-2400-NB. Please contact Technical Support if you have any. Please note that this antibody is reactive to Mouse and derived from the same host, Mouse. Mouse-On-questions.

Packaging, Storage & Formulations

Storage
Store at 4C short term. Aliquot and store at -20C long term. Avoid freeze-thaw cycles.
Buffer
PBS (pH7.4), 0.2% BSA, 50% Glycerol
Preservative
0.05% Sodium Azide
Concentration
2 mg/ml
Purity
Protein G purified

Alternate Names for MSY2 Antibody (A2-B9-G6)

  • Contrin
  • CSDA3MGC45104
  • DBPC
  • DNA-binding protein C
  • Germ cell-specific Y-box-binding protein
  • MSY2 homolog
  • MSY2germ cell specific Y-box binding protein
  • Y box binding protein 2
  • Y-box-binding protein 2

Background

YBX2 is a germ-cell specific member of the vertebrate Y box family of nucleic acid-binding proteins (Gu et al., 1998 [PubMed 9780336]; Tekur et al., 1999 [PubMed 10100484]).[supplied by OMIM]

Limitations

This product is for research use only and is not approved for use in humans or in clinical diagnosis. Primary Antibodies are guaranteed for 1 year from date of receipt.

Customers Who Viewed This Item Also Viewed...

NBP2-30949
Species: Hu
Applications: IHC,  IHC-P
NBP1-89945
Species: Hu, Mu, Rt
Applications: ICC/IF, IHC,  IHC-P, KD, WB
NBP3-48031
Species: Hu, Mu, Rt
Applications: ELISA, ICC/IF, IHC, WB
NB600-302
Species: Bv, Dr, Hu, Mu
Applications: ChIP, ELISA, Flow-IC, Flow, IB, ICC/IF, IHC, IHC-Fr,  IHC-P, IP, PLA, S-ELISA, Simple Western, WB
NB300-229
Species: Ch, Hu(-), Ma, Pm, Mu, Pa, Rt
Applications: ChIP, ChIP, ICC/IF, IHC, IHC-Fr,  IHC-P, IP, Simple Western, WB
NB100-81798
Species: Hu, Mu, Rt
Applications: ICC/IF, IHC,  IHC-P, WB
AF6548
Species: Hu, Mu
Applications: IHC
NBP1-76365
Species: Hu, Mu, Rt
Applications: ELISA, WB
NBP3-16756
Species: Hu, Mu, Rt
Applications: ICC/IF, IHC,  IHC-P, WB
NBP2-88820
Species: Mu
Applications: WB
AF2935
Species: Hu
Applications: WB
NB100-2437
Species: Ca, Hu, Mu, Rt
Applications: ICC/IF, IHC,  IHC-P, PCR, PEP-ELISA, WB
AF2566
Species: Mu
Applications: IHC, WB
H00006908-Q01
Species: Hu
Applications: ELISA, AP, PA, PAGE, WB
NBP1-84999
Species: Hu
Applications: IHC,  IHC-P, WB
H00051380-M02
Species: Hu
Applications: ELISA, ICC/IF, S-ELISA, WB

Publications for MSY2 Antibody (NBP2-75575) (0)

There are no publications for MSY2 Antibody (NBP2-75575).
By submitting your publication information earn gift cards and discounts for future purchases.

Reviews for MSY2 Antibody (NBP2-75575) (0)

There are no reviews for MSY2 Antibody (NBP2-75575). By submitting a review you will receive an Amazon e-Gift Card or Novus Product Discount.
  • Review with no image -- $10/€7/£6/$10 CAD/¥70 Yuan/¥1110 Yen
  • Review with an image -- $25/€18/£15/$25 CAD/¥150 Yuan/¥2500 Yen

Product General Protocols

Find general support by application which include: protocols, troubleshooting, illustrated assays, videos and webinars.

Video Protocols

WB Video Protocol

FAQs for MSY2 Antibody (NBP2-75575) (0)

There are no specific FAQs related to this product. Read our general customer & technical service FAQs.

Contact Information

Product PDFs

Calculators

Concentration Calculator

The concentration calculator allows you to quickly calculate the volume, mass or concentration of your vial. Simply enter your mass, volume, or concentration values for your reagent and the calculator will determine the rest.

=
÷

Review this Product

Be the first to review our MSY2 Antibody (A2-B9-G6) and receive a gift card or discount.

Bioinformatics

Gene Symbol YBX2