MKK6/MEK6 Antibody (3H12B9)

Images

 
Western Blot: MKK6/MEK6 Antibody (3H12B9) [NBP2-37637] - Western blot analysis using MAP2K6 mouse mAb against HepG2 (1), MCF-7 (2) and NIH/3T3 (3) cell lysate.
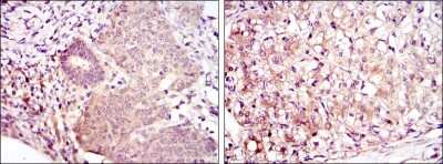
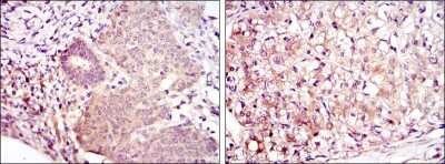
Immunohistochemistry: MKK6/MEK6 Antibody (3H12B9) [NBP2-37637] - Immunohistochemical analysis of paraffin-embedded ovarian cancer (left) and kidney cancer (right) using MAP2K6 mouse mAb with DAB staining.
ELISA: MKK6/MEK6 Antibody (3H12B9) [NBP2-37637] - Red: Control Antigen (100ng); Purple: Antigen (10ng); Green: Antigen (50ng); Blue: Antigen (100ng);

Product Details

Summary
Product Discontinued
View other related MKK6/MEK6 Primary Antibodies

Order Details


    • Catalog Number
      NBP2-37637
    • Availability
      Product Discontinued

    Can't find what you are looking for? Use our Antibody Concierge Service & we will help you locate your antibody!

    Or feel free to contact us for alternative products.

MKK6/MEK6 Antibody (3H12B9) Summary

Immunogen
Purified recombinant fragment of human MAP2K6 expressed in E. Coli.
Isotype
IgG1
Clonality
Monoclonal
Host
Mouse
Gene
MAP2K6
Purity
Unpurified
Innovator's Reward
Test in a species/application not listed above to receive a full credit towards a future purchase.

Applications/Dilutions

Dilutions
  • ELISA 1:10000
  • Immunohistochemistry 1:200 - 1:1000
  • Immunohistochemistry-Paraffin 1:200 - 1:1000
  • Western Blot 1:500 - 1:2000
Theoretical MW
38 kDa.
Disclaimer note: The observed molecular weight of the protein may vary from the listed predicted molecular weight due to post translational modifications, post translation cleavages, relative charges, and other experimental factors.

Reactivity Notes

Please note that this antibody is reactive to Mouse and derived from the same host, Mouse. Additional Mouse on Mouse blocking steps may be required for IHC and ICC experiments. Please contact Technical Support for more information.

Packaging, Storage & Formulations

Storage
Store at 4C short term. Aliquot and store at -20C long term. Avoid freeze-thaw cycles.
Buffer
Ascites
Preservative
0.03% Sodium Azide
Purity
Unpurified

Alternate Names for MKK6/MEK6 Antibody (3H12B9)

  • MAP kinase kinase 6
  • MAP2K6
  • MAPK/ERK kinase 6
  • MAPKK6dual specificity mitogen-activated protein kinase kinase 6
  • MEK6
  • MEK6MAPKK 6
  • mitogen-activated protein kinase kinase 6
  • MKK6
  • MKK6MEK 6
  • PRKMK6
  • PRKMK6protein kinase, mitogen-activated, kinase 6 (MAP kinase kinase 6)
  • SAPKK3
  • SAPKK3EC 2.7.12.2

Background

Mitogen-acitvated protein kinase kinase 6 (MKK6) belongs to the serine/threonine protein kinase family and the MAPK kinase subfamily (MAP2K, MKK or MEKs). MAPKs require dual phosphorylation on threonine and tyrosine residues, an activation step carried out by MAPK kinase (1-2). MKK6, closely related to MKK3, efficiently phosphorylates and activates p38 MAP kinase in response to inflammatory cytokines and environmental stress but not JNK or ERK (3). MTK1 phosphorylates MKK6 on serine 207 and threonine 211 (4).

Limitations

This product is for research use only and is not approved for use in humans or in clinical diagnosis. Primary Antibodies are guaranteed for 1 year from date of receipt.

Customers Who Viewed This Item Also Viewed...

NBP2-52508
Species: Hu
Applications: CyTOF-ready, ELISA, Flow, ICC, ICC/IF, IHC,  IHC-P, WB
AF8691
Species: Hu, Mu, Rt
Applications: IHC, KO, Simple Western, WB
AF1230
Species: Hu, Mu, Rt
Applications: IHC, KO, WB
NBP1-47839
Species: Ca, Hu, Mu, Rt
Applications: Flow, ICC/IF, IHC,  IHC-P, IP, WB
NBP1-68874
Species: Hu, Mu, Rt
Applications: PEP-ELISA, WB
NBP2-37568
Species: Hu
Applications: ELISA, Flow, ICC/IF, IHC,  IHC-P, WB
NBP2-00764
Species: Hu, Mu, Rt
Applications: Flow, IHC,  IHC-P, WB
H00010598-M01
Species: Hu, Mu, Rt
Applications: ELISA, ICC/IF, S-ELISA, WB
NBP1-81575
Species: Hu, Mu, Rt
Applications: ICC/IF, IHC,  IHC-P, WB
MAB17761
Species: Hu, Mu, Rt
Applications: ICC, WB
NBP2-13304
Species: Hu
Applications: ICC/IF, IHC,  IHC-P, WB
NBP2-37542
Species: Hu
Applications: ELISA, Flow, ICC/IF, IHC,  IHC-P, WB
NBP2-67471
Species: Hu, Mu, Rt
Applications: ICC/IF, IHC,  IHC-P, WB
NBP1-47833
Species: Hu, Mu, Rt
Applications: ICC/IF, IHC,  IHC-P, WB
DYC1825-2
Species: Hu, Mu, Rt
Applications: ELISA
AF467
Species: Hu, Mu
Applications: CyTOF-ready, Flow, ICC, IHC, Simple Western, WB
NBP2-37637
Species: Hu, Mu
Applications: WB, ELISA, IHC

Publications for MKK6/MEK6 Antibody (NBP2-37637) (0)

There are no publications for MKK6/MEK6 Antibody (NBP2-37637).
By submitting your publication information earn gift cards and discounts for future purchases.

Reviews for MKK6/MEK6 Antibody (NBP2-37637) (0)

There are no reviews for MKK6/MEK6 Antibody (NBP2-37637). By submitting a review you will receive an Amazon e-Gift Card or Novus Product Discount.
  • Review with no image -- $10/€7/£6/$10 CAD/¥70 Yuan/¥1110 Yen
  • Review with an image -- $25/€18/£15/$25 CAD/¥150 Yuan/¥2500 Yen

Product General Protocols

Find general support by application which include: protocols, troubleshooting, illustrated assays, videos and webinars.

Video Protocols

WB Video Protocol

FAQs for MKK6/MEK6 Antibody (NBP2-37637) (0)

There are no specific FAQs related to this product. Read our general customer & technical service FAQs.

Secondary Antibodies

 

Isotype Controls

Additional MKK6/MEK6 Products

Research Areas for MKK6/MEK6 Antibody (NBP2-37637)

Find related products by research area.

Blogs on MKK6/MEK6

There are no specific blogs for MKK6/MEK6, but you can read our latest blog posts.

Contact Information

Product PDFs

Calculators

Concentration Calculator

The concentration calculator allows you to quickly calculate the volume, mass or concentration of your vial. Simply enter your mass, volume, or concentration values for your reagent and the calculator will determine the rest.

=
÷

Review this Product

Be the first to review our MKK6/MEK6 Antibody (3H12B9) and receive a gift card or discount.

Bioinformatics

Gene Symbol MAP2K6