Lysyl tRNA synthetase Antibody (8G12C1)

Images

 
Western Blot: Lysyl tRNA synthetase Antibody (8G12C1) [NBP1-47417] - Analysis using KARS mouse mAb against truncated Trx-KARS recombinant protein (1), truncated MBP-KARS (aa90-174) and full length KARS (aa1-188) ...read more
Immunohistochemistry-Paraffin: Lysyl tRNA synthetase Antibody (8G12C1) [NBP1-47417] - Analysis of human Tonsil tissues using KARS mouse mAb
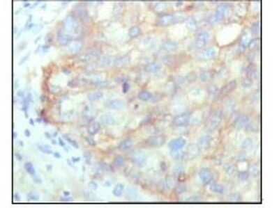
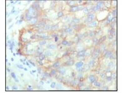
Immunohistochemistry-Paraffin: Lysyl tRNA synthetase Antibody (8G12C1) [NBP1-47417] - Analysis of human cervical carcinoma, showing cytoplasmic localization with DAB staining using KARS mouse mAb.

Product Details

Summary
Product Discontinued
View other related Lysyl tRNA synthetase Primary Antibodies

Order Details


    • Catalog Number
      NBP1-47417
    • Availability
      Product Discontinued

    Can't find what you are looking for? Use our Antibody Concierge Service & we will help you locate your antibody!

    Or feel free to contact us for alternative products.

Lysyl tRNA synthetase Antibody (8G12C1) Summary

Immunogen
Purified recombinant fragment of KARS(aa90-174) expressed in E. Coli.
Isotype
IgG1
Clonality
Monoclonal
Host
Mouse
Gene
KARS1
Purity
Unpurified
Innovator's Reward
Test in a species/application not listed above to receive a full credit towards a future purchase.

Applications/Dilutions

Dilutions
  • ELISA 1:10000
  • Immunohistochemistry 1:200 - 1:1000
  • Immunohistochemistry-Paraffin 1:200 - 1:1000
  • Western Blot 1:500 - 1:2000

Packaging, Storage & Formulations

Storage
Store at 4C short term. Aliquot and store at -20C long term. Avoid freeze-thaw cycles.
Buffer
Ascites
Preservative
0.03% Sodium Azide
Purity
Unpurified

Alternate Names for Lysyl tRNA synthetase Antibody (8G12C1)

  • CMTRIB
  • EC 6.1.1
  • EC 6.1.1.6
  • KARS2
  • KIAA0070
  • KRS
  • lysine tRNA ligase
  • Lysine--tRNA ligase
  • lysRS
  • lysyl-tRNA synthetase

Background

lysyl-tRNA synthetase. Aminoacyl-tRNA synthetases are a class of enzymes that charge tRNAs with their cognate amino acids. Lysyl-tRNA synthetase is a homodimer localized to the cytoplasm which belongs to the class II family of tRNA synthetases. It has been shown to be a target of autoantibodies in the human autoimmune diseases, polymyositis or dermatomyositis.

Limitations

This product is for research use only and is not approved for use in humans or in clinical diagnosis. Primary Antibodies are guaranteed for 1 year from date of receipt.

Customers Who Viewed This Item Also Viewed...

NBP1-85937
Species: Hu
Applications: IHC,  IHC-P, KD, WB
AF5769
Species: Hu
Applications: IHC, WB
NBP1-83257
Species: Hu, Mu, Rt
Applications: ICC/IF, IHC,  IHC-P, WB
AF1230
Species: Hu, Mu, Rt
Applications: IHC, KO, WB
NB110-41486
Species: Hu, Mu
Applications: IHC, Simple Western, WB
NBP2-31923
Species: Hu
Applications: ICC/IF, IHC,  IHC-P
NBP1-81575
Species: Hu, Mu, Rt
Applications: ICC/IF, IHC,  IHC-P, WB
NBP2-37568
Species: Hu
Applications: ELISA, Flow, ICC/IF, IHC,  IHC-P, WB
AF8691
Species: Hu, Mu, Rt
Applications: IHC, KO, Simple Western, WB
NBP2-00764
Species: Hu, Mu, Rt
Applications: Flow, IHC,  IHC-P, WB
NBP1-68874
Species: Hu, Mu, Rt
Applications: PEP-ELISA, WB
H00010598-M01
Species: Hu, Mu, Rt
Applications: ELISA, ICC/IF, S-ELISA, WB
NBP2-79854
Species: Hu
Applications: CyTOF-ready, Flow, ICC/IF, IHC,  IHC-P, PA, WB
NBP1-92649
Species: Hu, Mu
Applications: IHC,  IHC-P, IP, KO, WB
NBP1-89487
Species: Hu, Mu, Rt
Applications: ICC/IF, IHC,  IHC-P, WB
NBP2-19702
Species: Hu
Applications: ICC/IF, IHC,  IHC-P, WB
NBP2-92880
Species: Hu, Mu, Rt
Applications: ICC/IF, IHC,  IHC-P, WB
NBP1-47417
Species: Hu
Applications: WB, ELISA, IHC

Publications for Lysyl tRNA synthetase Antibody (NBP1-47417) (0)

There are no publications for Lysyl tRNA synthetase Antibody (NBP1-47417).
By submitting your publication information earn gift cards and discounts for future purchases.

Reviews for Lysyl tRNA synthetase Antibody (NBP1-47417) (0)

There are no reviews for Lysyl tRNA synthetase Antibody (NBP1-47417). By submitting a review you will receive an Amazon e-Gift Card or Novus Product Discount.
  • Review with no image -- $10/€7/£6/$10 CAD/¥70 Yuan/¥1110 Yen
  • Review with an image -- $25/€18/£15/$25 CAD/¥150 Yuan/¥2500 Yen

Product General Protocols

Find general support by application which include: protocols, troubleshooting, illustrated assays, videos and webinars.

Video Protocols

WB Video Protocol

FAQs for Lysyl tRNA synthetase Antibody (NBP1-47417) (0)

There are no specific FAQs related to this product. Read our general customer & technical service FAQs.

Contact Information

Product PDFs

Calculators

Concentration Calculator

The concentration calculator allows you to quickly calculate the volume, mass or concentration of your vial. Simply enter your mass, volume, or concentration values for your reagent and the calculator will determine the rest.

=
÷

Review this Product

Be the first to review our Lysyl tRNA synthetase Antibody (8G12C1) and receive a gift card or discount.

Bioinformatics

Gene Symbol KARS1
Entrez