KCTD5 Antibody (OTI3C8) - Azide and BSA Free

Images

 
Western Blot: KCTD5 Antibody (OTI3C8) - Azide and BSA Free [NBP2-71955] - HEK293T cells were transfected with the pCMV6-ENTRY control (Left lane) or pCMV6-ENTRY KCTD5 (Right lane) cDNA for 48 hrs and lysed. Equivalent ...read more
Immunocytochemistry/ Immunofluorescence: KCTD5 Antibody (OTI3C8) - Azide and BSA Free [NBP2-71955] - Staining of COS7 cells transiently transfected by pCMV6-ENTRY KCTD5.
Immunohistochemistry: KCTD5 Antibody (OTI3C8) - Azide and BSA Free [NBP2-71955] - Staining of paraffin-embedded Adenocarcinoma of ovary tissue using anti-RC200180 mouse monoclonal antibody.
Flow Cytometry: KCTD5 Antibody (OTI3C8) - Azide and BSA Free [NBP2-71955] - HEK293T cells transfected with either pCMV6-ENTRY KCTD5.(Red) or empty vector control plasmid (Blue) were immunostaining with anti-KCTD5 mouse ...read more
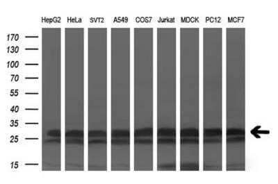
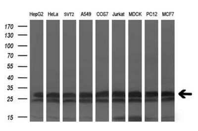
Western Blot: KCTD5 Antibody (OTI3C8) - Azide and BSA Free [NBP2-71955] - Analysis of extracts (35ug) from 9 different cell lines by using anti-KCTD5 monoclonal antibody (HepG2: human; HeLa: human; SVT2: mouse; A549: ...read more
Immunocytochemistry/ Immunofluorescence: KCTD5 Antibody (OTI3C8) - Azide and BSA Free [NBP2-71955] - Staining of HeLa cells using anti-KCTD5 mouse monoclonal antibody.
Immunohistochemistry: KCTD5 Antibody (OTI3C8) - Azide and BSA Free [NBP2-71955] - Staining of paraffin-embedded Adenocarcinoma of colon tissue using anti-RC200180 mouse monoclonal antibody.
Immunohistochemistry: KCTD5 Antibody (OTI3C8) - Azide and BSA Free [NBP2-71955] - Staining of paraffin-embedded pancreas tissue using anti-RC200180 mouse monoclonal antibody.

Product Details

Summary
Reactivity Hu, Mu, Rt, Ca, PmSpecies Glossary
Applications WB, Flow, ICC/IF, IHC
Clone
OTI3C8
Clonality
Monoclonal
Host
Mouse
Conjugate
Unconjugated
Format
Azide and BSA Free
Concentration
LYOPH

Order Details

KCTD5 Antibody (OTI3C8) - Azide and BSA Free Summary

Description
Novus Biologicals Mouse KCTD5 Antibody (OTI3C8) - Azide and BSA Free (NBP2-02414) is a monoclonal antibody validated for use in IHC, WB, Flow and ICC/IF. All Novus Biologicals antibodies are covered by our 100% guarantee.
Immunogen
Full length human recombinant protein of human KCTD5 (NP_061865) produced in HEK293T cell.
Isotype
IgG2b
Clonality
Monoclonal
Host
Mouse
Gene
KCTD5
Purity
Immunogen affinity purified
Innovator's Reward
Test in a species/application not listed above to receive a full credit towards a future purchase.

Applications/Dilutions

Dilutions
  • Flow Cytometry
  • Immunocytochemistry/ Immunofluorescence
  • Immunohistochemistry 1:100-400
  • Immunohistochemistry-Paraffin
  • Western Blot 1:200
Theoretical MW
26.1 kDa.
Disclaimer note: The observed molecular weight of the protein may vary from the listed predicted molecular weight due to post translational modifications, post translation cleavages, relative charges, and other experimental factors.

Reactivity Notes

Please note that this antibody is reactive to Mouse and derived from the same host, Mouse. Mouse-On-Mouse blocking reagent may be needed for IHC and ICC experiments to reduce high background signal. You can find these reagents under catalog numbers PK-2200-NB and MP-2400-NB. Please contact Technical Support if you have any questions.

Packaging, Storage & Formulations

Storage
Store at -20C. Avoid freeze-thaw cycles.
Buffer
Lyophilized from PBS (pH 7.3) with 8% Trehalose
Preservative
No Preservative
Concentration
LYOPH
Purity
Immunogen affinity purified
Reconstitution Instructions
we recommend adding 100uL distilled water to a final antibody concentration of about 1 mg/mL. To use this carrier-free antibody for conjugation experiment, we strongly recommend performing another round of desalting process.

Alternate Names for KCTD5 Antibody (OTI3C8) - Azide and BSA Free

  • BTB/POZ domain-containing protein KCTD5
  • FLJ20040
  • potassium channel tetramerisation domain containing 5

Background

Its interaction with CUL3 suggests that it may act as a substrate adapter in some E3 ligase complex. Does not affect the function of Kv channel Kv2.1/KCNB1, Kv1.2/KCNA2, Kv4.2/KCND2 and Kv3.4/KCNC4

Limitations

This product is for research use only and is not approved for use in humans or in clinical diagnosis. Primary Antibodies are guaranteed for 1 year from date of receipt.

Customers Who Viewed This Item Also Viewed...

NB100-58788
Species: Hu, Mu
Applications: IHC,  IHC-P, IP, WB
NBP2-47412
Species: Hu
Applications: ICC/IF, IHC,  IHC-P
H00143384-P01
Species: Hu
Applications: ELISA, AP, PA, PAGE, WB
NBP2-21037
Species: Hu
Applications: IHC,  IHC-P, WB
NBP1-31302
Species: Hu, Mu, Rt
Applications: ICC/IF, IHC,  IHC-P, KO, WB
NBP3-46349
Species: Hu, Mu, Rt
Applications: ELISA, WB
AF4090
Species: Hu
Applications: IHC, IP, Neut, WB
NBP3-03748
Species: Mu
Applications: IHC,  IHC-P, WB
NB100-56340
Species: Hu, Mu, Rt
Applications: IHC, IHC-Fr,  IHC-P, KO, Simple Western, WB
NBP2-85189
Species: Hu
Applications: IHC,  IHC-P, WB
NBP1-89150
Species: Hu
Applications: IHC,  IHC-P, WB
NBP2-38498
Species: Hu
Applications: IHC,  IHC-P
H00011026-M01
Species: Hu
Applications: ELISA, WB
NBP2-31361
Species: Hu
Applications: IHC,  IHC-P, WB
NBP1-81988
Species: Hu
Applications: IHC,  IHC-P
NBP2-71955
Species: Hu, Mu, Rt, Ca, Pm
Applications: WB, Flow, ICC/IF, IHC

Publications for KCTD5 Antibody (NBP2-71955) (0)

There are no publications for KCTD5 Antibody (NBP2-71955).
By submitting your publication information earn gift cards and discounts for future purchases.

Reviews for KCTD5 Antibody (NBP2-71955) (0)

There are no reviews for KCTD5 Antibody (NBP2-71955). By submitting a review you will receive an Amazon e-Gift Card or Novus Product Discount.
  • Review with no image -- $10/€7/£6/$10 CAD/¥70 Yuan/¥1110 Yen
  • Review with an image -- $25/€18/£15/$25 CAD/¥150 Yuan/¥2500 Yen

Product General Protocols

Find general support by application which include: protocols, troubleshooting, illustrated assays, videos and webinars.

Video Protocols

WB Video Protocol
ICC/IF Video Protocol

FAQs for KCTD5 Antibody (NBP2-71955) (0)

There are no specific FAQs related to this product. Read our general customer & technical service FAQs.

Customers Who Bought This Also Bought

Contact Information

Product PDFs

Calculators

Concentration Calculator

The concentration calculator allows you to quickly calculate the volume, mass or concentration of your vial. Simply enter your mass, volume, or concentration values for your reagent and the calculator will determine the rest.

=
÷

Review this Product

Be the first to review our KCTD5 Antibody (OTI3C8) - Azide and BSA Free and receive a gift card or discount.

Bioinformatics

Gene Symbol KCTD5