Kappa Light Chain Antibody (HP6053) - Azide and BSA Free

Images

 
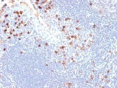
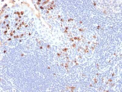
Immunohistochemistry-Paraffin: Kappa Light Chain Antibody (HP6053) - Azide and BSA Free [NBP2-34639] - Formalin-fixed, paraffin-embedded human Tonsil stained with Kappa Light Chain Antibody (HP6053).

Product Details

Summary
Reactivity HuSpecies Glossary
Applications WB, Flow, IHC, CyTOF-ready
Clone
HP6053
Clonality
Monoclonal
Host
Mouse
Conjugate
Unconjugated
Format
Azide and BSA Free
Concentration
1.0 mg/ml

Order Details

Kappa Light Chain Antibody (HP6053) - Azide and BSA Free Summary

Description
1.0 mg/ml of antibody purified from Bioreactor Concentrate by Protein A/G. Prepared in 10mM PBS WITHOUT BSA & azide. Also available at 200 ug/ml WITH BSA & azide (NBP2-34257).

Antibody with azide - store at 2 to 8C. Antibody without azide - store at -20 to -80C.
Immunogen
Purified human Kappa Light Chain
Localization
Cell Surface, cytoplasmic and secreted
Marker
B-Cell Marker
Specificity
This monoclonal antibody is specific to kappa light chain of immunoglobulin and shows no cross-reaction with lambda light chain or any of the five heavy chains. In mammals, the two light chains in an antibody are always identical, with only one type of light chain, kappa or lambda. The ratio of Kappa to Lambda is 70:30. However, with the occurrence of multiple myeloma or other B-cell malignancies this ratio is disturbed. Antibody to the kappa light chain is reportedly useful in the identification of leukemias, plasmacytomas, and certain non-Hodgkins lymphomas. Demonstration of clonality in lymphoid infiltrates indicates that the infiltrate is malignant.
Isotype
IgG1 Kappa
Clonality
Monoclonal
Host
Mouse
Gene
IGKC
Purity
Protein A or G purified
Innovator's Reward
Test in a species/application not listed above to receive a full credit towards a future purchase.

Applications/Dilutions

Dilutions
  • CyTOF-ready
  • Flow Cytometry 0.5-2.0ug/million cells
  • Immunohistochemistry
  • Immunohistochemistry-Paraffin 0.5-1.0ug/ml
  • Western Blot 0.5-1.0ug/ml
Application Notes
Immunohistochemistry (Formalin-fixed): 1-2ug/ml for 30 min at RT. Staining of formalin-fixed tissues requires heating tissue sections in 10mM Tris with 1mM EDTA, pH 9.0, for 45 min at 95C followed by cooling at RT for 20 minutes.
Optimal dilution for a specific application should be determined.
Theoretical MW
22.5 kDa.
Disclaimer note: The observed molecular weight of the protein may vary from the listed predicted molecular weight due to post translational modifications, post translation cleavages, relative charges, and other experimental factors.

Packaging, Storage & Formulations

Storage
Store at -20 to -80C. Avoid freeze-thaw cycles.
Buffer
10 mM PBS
Preservative
No Preservative
Concentration
1.0 mg/ml
Purity
Protein A or G purified

Alternate Names for Kappa Light Chain Antibody (HP6053) - Azide and BSA Free

  • HCAK1
  • IGKCD
  • immunoglobulin kappa constant
  • Km
  • MGC111575
  • MGC62011
  • MGC72072
  • MGC88770
  • MGC88771
  • MGC88809

Background

Kappa light chain antibody can be used for the identification of leukemias, plasmacytomas and certain non-Hodgkin's lymphomas. Kappa light chain contains one immunoglobulin-like domain. The EU sequence has the INV allotypic marker, Ala-45 and Val-83. The ROY sequence has the INV allotypic marker, Ala-45 and Leu-83.

Limitations

This product is for research use only and is not approved for use in humans or in clinical diagnosis. Primary Antibodies are guaranteed for 1 year from date of receipt.

Customers Who Viewed This Item Also Viewed...

NB100-1533
Species: Hu, Mu, Po, Rt, Sh
Applications: Flow, ICC/IF, IHC,  IHC-P, PEP-ELISA, WB
H00028299-P01
Species: Hu
Applications: ELISA, AP, PA, WB
MAB150
Species: Hu
Applications: CyTOF-ready, Flow, IHC
DCX900
Species: Hu
Applications: ELISA
NB100-1028
Species: Ca, Eq, Fe, Hu, Mu, Rt
Applications: Dual ISH-IHC, ICC/IF, IHC-FrFl, IHC-WhMt, IHC, IHC-Fr,  IHC-P, KO, PEP-ELISA, WB
NBP3-27124
Species: Hu
Applications: ELISA, IHC,  IHC-P, WB
AF5415
Species: Hu
Applications: ICC, IHC, Simple Western, WB
NB100-56605
Species: Av, Bv, Sh
Applications: WB
NBP2-54591
Species: Hu
Applications: CyTOF-ready, Flow, ICC/IF, IHC,  IHC-P, PA
NBP1-84843
Species: Hu
Applications: ICC/IF, IHC,  IHC-P, WB
NBP2-13306
Species: Hu
Applications: IHC,  IHC-P, WB
NBP1-30052
Species: Ch, Gp, Hu, Mu, Pm, Rt
Applications: ICC/IF, IHC-FrFl, IHC-WhMt, IHC, IHC-Fr,  IHC-P, WB
NBP2-01819
Species: Hu
Applications: Flow, IHC,  IHC-P, WB
302-B2
Species: Hu
Applications: BA
243-B3
Species: Hu
Applications: BA
NBP1-86117
Species: Hu
Applications: IHC,  IHC-P
NBP2-57758
Species: Hu
Applications: ICC/IF

Publications for Kappa Light Chain Antibody (NBP2-34639) (0)

There are no publications for Kappa Light Chain Antibody (NBP2-34639).
By submitting your publication information earn gift cards and discounts for future purchases.

Reviews for Kappa Light Chain Antibody (NBP2-34639) (0)

There are no reviews for Kappa Light Chain Antibody (NBP2-34639). By submitting a review you will receive an Amazon e-Gift Card or Novus Product Discount.
  • Review with no image -- $10/€7/£6/$10 CAD/¥70 Yuan/¥1110 Yen
  • Review with an image -- $25/€18/£15/$25 CAD/¥150 Yuan/¥2500 Yen

Product General Protocols

Find general support by application which include: protocols, troubleshooting, illustrated assays, videos and webinars.

Video Protocols

WB Video Protocol

FAQs for Kappa Light Chain Antibody (NBP2-34639) (0)

There are no specific FAQs related to this product. Read our general customer & technical service FAQs.

Secondary Antibodies

 

Isotype Controls

Additional Kappa Light Chain Products

Research Areas for Kappa Light Chain Antibody (NBP2-34639)

Find related products by research area.

Blogs on Kappa Light Chain

There are no specific blogs for Kappa Light Chain, but you can read our latest blog posts.

Customers Who Bought This Also Bought

Contact Information

Product PDFs

Calculators

Concentration Calculator

The concentration calculator allows you to quickly calculate the volume, mass or concentration of your vial. Simply enter your mass, volume, or concentration values for your reagent and the calculator will determine the rest.

=
÷

Review this Product

Be the first to review our Kappa Light Chain Antibody (HP6053) - Azide and BSA Free and receive a gift card or discount.

Bioinformatics

Gene Symbol IGKC