JAZF1 Antibody (PCRP-JAZF1-1C2) - Azide and BSA Free

Images

 
Protein Array: JAZF1 Antibody (PCRP-JAZF1-1C2) - Azide and BSA Free [NBP3-14221] - Analysis of Protein Array containing more than 19,000 full-length human proteins using JAZF1 Antibody (PCRP-JAZF1-1C2).
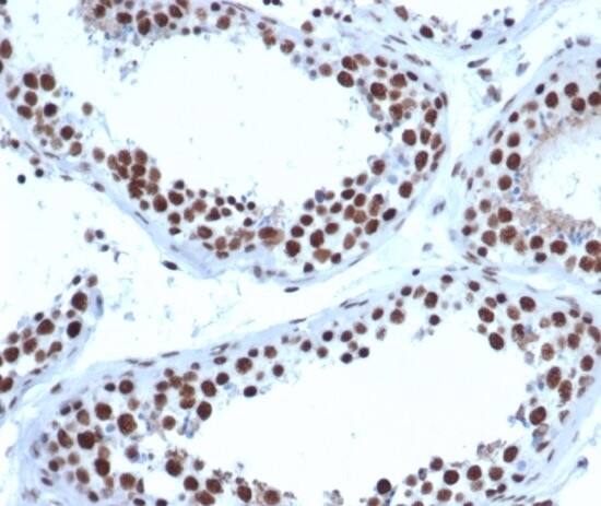
Formalin-fixed, paraffin-embedded human testis stained. Strong nuclear staining using JAZF1 Antibody (PCRP-JAZF1-1C2) - Azide and BSA Free at 2ug/ml. HIER: Tris/EDTA, pH9.0, 45min. 2 °: HRP-polymer, 30min. DAB, 5min.
Immunofluorescence analysis of PFA-fixed HeLa cells. JAZF1 Antibody (PCRP-JAZF1-1C2) - Azide and BSA Free followed by goat anti-mouse IgG-CF488 (green). CF640A phalloidin (red).
Flow cytometric analysis of PFA-fixed HeLa cells. JAZF1 Antibody (PCRP-JAZF1-1C2) - Azide and BSA Free followed by goat anti-mouse IgG-CF488 (blue), unstained cells (red).

Product Details

Summary
Reactivity HuSpecies Glossary
Applications WB, Flow, ICC/IF, IHC, IP, MA
Clone
PCRP-JAZF1-1C2
Clonality
Monoclonal
Host
Mouse
Conjugate
Unconjugated
Format
Azide and BSA Free
Concentration
1 mg/ml

Order Details

JAZF1 Antibody (PCRP-JAZF1-1C2) - Azide and BSA Free Summary

Description
1.0 mg/ml of antibody purified from Bioreactor Concentrate by Protein A/G. Prepared in 10mM PBS WITHOUT BSA & azide. Also available at 200 ug/ml WITH BSA & azide (NBP3-13885).

Antibody with azide - store at 2 to 8C. Antibody without azide - store at -20 to -80 C.
Immunogen
Recombinant fragment (around aa1-130) of human JAZF1 protein (exact sequence is proprietary) (Uniprot: Q86VZ6)
Localization
Nucleus
Isotype
IgG2a
Clonality
Monoclonal
Host
Mouse
Gene
JAZF1
Purity
Protein A or G purified
Innovator's Reward
Test in a species/application not listed above to receive a full credit towards a future purchase.

Applications/Dilutions

Dilutions
  • Flow Cytometry 1-2 ug/million cells
  • Immunocytochemistry/ Immunofluorescence 1-2 ug/ml
  • Immunohistochemistry-Paraffin 1-2 ug/ml
  • Immunoprecipitation 1-2 ug per 100-500 ug protein
  • Protein Array
  • Western Blot 1-2 ug/ml
Application Notes
Immunohistochemistry (Formalin-fixed): 1-2ug/ml for 30 minutes at RT. Staining of formalin-fixed tissues requires heating tissue sections in 10mM Tris with 1mM EDTA, pH 9.0, for 45 min at 95C followed by cooling at RT for 20 minutes
Theoretical MW
27.08 kDa.
Disclaimer note: The observed molecular weight of the protein may vary from the listed predicted molecular weight due to post translational modifications, post translation cleavages, relative charges, and other experimental factors.

Reactivity Notes

Predicted to react in Mouse.

Packaging, Storage & Formulations

Storage
Store at -20 to -80C. Avoid freeze-thaw cycles.
Buffer
10mM PBS
Preservative
No Preservative
Concentration
1 mg/ml
Purity
Protein A or G purified

Alternate Names for JAZF1 Antibody (PCRP-JAZF1-1C2) - Azide and BSA Free

  • JAZF zinc finger 1
  • juxtaposed with another zinc finger gene 1
  • juxtaposed with another zinc finger protein 1
  • TAK1-interacting protein 27
  • TIP27ZNF802DKFZp761K2222
  • Zinc finger protein 802

Background

The JAZF1 gene encodes a nuclear protein with three C2H2-type zinc fingers, and functions as a transcriptional repressor.Chromosomal aberrations involving this gene are associated with endometrial stromal tumors. Alternatively splicedvariants which encode diff

Limitations

This product is for research use only and is not approved for use in humans or in clinical diagnosis. Primary Antibodies are guaranteed for 1 year from date of receipt.

Customers Who Viewed This Item Also Viewed...

MAB4184
Species: Hu, Mu
Applications: ICC, IP, WB
H00006934-M06
Species: Hu, Mu
Applications: ELISA, ICC/IF, IHC,  IHC-P, WB
NBP1-82916
Species: Hu, Mu
Applications: ICC/IF, IHC,  IHC-P, WB
NBP2-45603
Species: Hu, Mu, Rt
Applications: Flow, IHC,  IHC-P, WB
NBP1-89680
Species: Hu, Mu
Applications: ChIP, ICC/IF, IHC,  IHC-P, Simple Western, WB
MAB1417
Species: Bv, Hu, Mu
Applications: ICC, IHC
AF3735
Species: Hu
Applications: IHC, WB
MAB4734
Species: Hu
Applications: CyTOF-ready, Flow, ICC, WB
NBP2-02627
Species: Ca, Hu, Pm, Mu, Rt
Applications: Flow, ICC/IF, IHC,  IHC-P, WB
NBP3-45255
Species: Hu, Mu, Rt
Applications: ELISA, IHC, WB
MAB7936
Species: Hu
Applications: CyTOF-ready, IHC, ICFlow
NBP2-22106
Species: Hu, Mu, Rt
Applications: IHC,  IHC-P, IP, WB
H00003087-M02
Species: Hu
Applications: ELISA, ICC/IF, S-ELISA, WB
NB200-106
Species: Mu, Rt
Applications: ELISA, ICC/IF, IHC, IHC-Fr,  IHC-P, WB
NBP1-32796
Species: Hu, Mu
Applications: IHC,  IHC-P, WB
NBP2-45600
Species: Ca, Hu, Pm, Mu, Rt
Applications: ICC/IF, IHC,  IHC-P, WB
NBP1-85589
Species: Hu
Applications: ICC/IF, IHC,  IHC-P, WB
H00029107-M08
Species: Hu
Applications: ELISA, ICC/IF, KD, S-ELISA, WB
NBP1-82454
Species: Hu, Mu
Applications: ICC/IF, IHC,  IHC-P, WB
NBP3-38209
Species: Hu, Rt
Applications: ELISA, ICC/IF, IHC,  IHC-P, IP, WB

Publications for JAZF1 Antibody (NBP3-14221) (0)

There are no publications for JAZF1 Antibody (NBP3-14221).
By submitting your publication information earn gift cards and discounts for future purchases.

Reviews for JAZF1 Antibody (NBP3-14221) (0)

There are no reviews for JAZF1 Antibody (NBP3-14221). By submitting a review you will receive an Amazon e-Gift Card or Novus Product Discount.
  • Review with no image -- $10/€7/£6/$10 CAD/¥70 Yuan/¥1110 Yen
  • Review with an image -- $25/€18/£15/$25 CAD/¥150 Yuan/¥2500 Yen

Product General Protocols

Video Protocols

WB Video Protocol
ICC/IF Video Protocol

FAQs for JAZF1 Antibody (NBP3-14221) (0)

There are no specific FAQs related to this product. Read our general customer & technical service FAQs.

Secondary Antibodies

 

Isotype Controls

Additional JAZF1 Products

Research Areas for JAZF1 Antibody (NBP3-14221)

Find related products by research area.

Blogs on JAZF1

There are no specific blogs for JAZF1, but you can read our latest blog posts.

Customers Who Bought This Also Bought

Contact Information

Product PDFs

Calculators

Concentration Calculator

The concentration calculator allows you to quickly calculate the volume, mass or concentration of your vial. Simply enter your mass, volume, or concentration values for your reagent and the calculator will determine the rest.

=
÷

Review this Product

Be the first to review our JAZF1 Antibody (PCRP-JAZF1-1C2) - Azide and BSA Free and receive a gift card or discount.

Bioinformatics

Gene Symbol JAZF1