IP3R1 Antibody (JA11-35)

Images

 
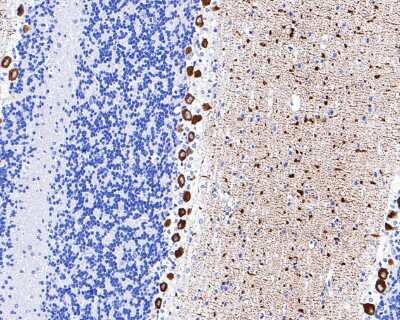
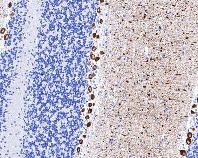
Immunohistochemistry-Paraffin: IP3R1 Antibody (JA11-35) [NBP2-66910] - Immunohistochemical analysis of paraffin-embedded mouse cerebellum tissue using anti-IP3R1 antibody. The section was pre-treated using heat mediated ...read more
Immunohistochemistry-Paraffin: IP3R1 Antibody (JA11-35) [NBP2-66910] - Analysis of paraffin-embedded mouse hippocampus tissue using anti-IP3 Receptor antibody. Counter stained with hematoxylin.
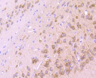
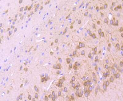
Immunohistochemistry-Paraffin: IP3R1 Antibody (JA11-35) [NBP2-66910] - Immunohistochemical analysis of paraffin-embedded rat cerebellum tissue using anti-IP3R1 antibody. The section was pre-treated using heat mediated ...read more

Product Details

Summary
Product Discontinued
View other related IP3R1 Primary Antibodies

Order Details


    • Catalog Number
      NBP2-66910
    • Availability
      Product Discontinued

    Can't find what you are looking for? Use our Antibody Concierge Service & we will help you locate your antibody!

    Or feel free to contact us for alternative products.

IP3R1 Antibody (JA11-35) Summary

Additional Information
Recombinant Monoclonal Antibody.
Immunogen
Recombinant protein within Human IP3R1 aa 2190-2280 / 2758. (SwissProt: Q14643 Human; SwissProt: P11881 Mouse; SwissProt: P29994 Rat)
Localization
Endoplasmic reticulum membrane, secretory vesicle membrane, perinuclear region.
Isotype
IgG
Clonality
Monoclonal
Host
Rabbit
Gene
ITPR1
Purity
Protein A purified
Innovator's Reward
Test in a species/application not listed above to receive a full credit towards a future purchase.

Applications/Dilutions

Dilutions
  • Immunohistochemistry
  • Immunohistochemistry-Paraffin 1:50-1:200
  • Western Blot 1:500

Packaging, Storage & Formulations

Storage
Store at 4C short term. Aliquot and store at -20C long term. Avoid freeze-thaw cycles.
Buffer
TBS (pH7.4), 0.05% BSA, 40% Glycerol
Preservative
0.05% Sodium Azide
Concentration
1 mg/ml
Purity
Protein A purified

Alternate Names for IP3R1 Antibody (JA11-35)

  • DKFZp313E1334
  • DKFZp313N1434
  • inositol 14,5-triphosphate receptor, type 1
  • inositol 14,5-trisphosphate receptor type 1
  • InsP3R1
  • IP3 receptor isoform 1
  • IP3 receptor
  • IP3R 1
  • IP3R
  • IP3R1
  • ITPR1
  • SCA15
  • SCA16
  • spinocerebellar ataxia 15
  • spinocerebellar ataxia 16
  • Type 1 inositol 14,5-trisphosphate receptor
  • Type 1 InsP3 receptor

Background

IP3R1 (inositol 1,4,5-triphosphate receptor type 1) is an intracellular calcium release channel that mediates calcium release from the endoplasmic reticulum. There are 3 mammalian InsP3R receptors: Insp3R1, Insp3R2, and Insp3R3. Defects in the gene which encodes InsP3R1, ITPR1, are the cause of spinocerebellar ataxia type 15 (SCA15).

Limitations

This product is for research use only and is not approved for use in humans or in clinical diagnosis. Primary Antibodies are guaranteed for 1 year from date of receipt.

Customers Who Viewed This Item Also Viewed...

NBP2-80143
Species: Am, Bv, Ca, Ch, Fi, Gp, Hu, Mu, Po, Rb, Rt
Applications: Flow, ICC/IF, IHC, IHC-Fr,  IHC-P, IP, WB
NB300-543
Species: Am, Bv, Ca, Ma, Fi, Hu, Ma-Mn, Mu, Pm, Rb, Rt, Sh
Applications: B/N, ICC/IF, IHC, IHC-Fr,  IHC-P, IP, WB
AF2364
Species: Hu
Applications: IHC, WB
NBP1-21399
Species: Hu
Applications: IHC,  IHC-P, IP, WB (-)
NB100-2466
Species: Hu, Mu, Rt
Applications: ICC/IF, IHC,  IHC-P, PEP-ELISA, WB
MAB7446
Species: Hu
Applications: CyTOF-ready, Flow
NBP2-46198
Species: Hu
Applications: IHC,  IHC-P, WB
NBP3-25643
Species: Ca, Fe, Hu, Mu, Rt
Applications: ICC/IF, IHC,  IHC-P, WB
NB120-2860
Species: Ba, Bv, Ch, Hu, Mu, Rt
Applications: ELISA, Flow, ICC/IF, IHC,  IHC-P, WB
NBP2-15669
Species: Mu, Rt, Ze
Applications: IHC-WhMt, IHC, WB
NBP2-14871
Species: Mu, Rt
Applications: ICC/IF, WB
NBP1-32870
Species: Ch, Hu
Applications: IHC,  IHC-P, IP, KD, WB
NBP1-84957
Species: Hu
Applications: IHC,  IHC-P, WB
H00000518-P01
Species: Hu
Applications: ELISA, AP, PA, WB
NBP2-82026
Species: Hu, Mu, Rt
Applications: ELISA, ICC/IF, IHC,  IHC-P, WB
NBP1-88370
Species: Hu, Mu
Applications: ICC/IF, IHC,  IHC-P, WB
MAB5745
Species: Hu
Applications: IHC, WB
NBP1-86125
Species: Hu
Applications: IHC,  IHC-P
NBP2-66910
Species: Hu, Mu, Rt
Applications: WB, IHC

Publications for IP3R1 Antibody (NBP2-66910) (0)

There are no publications for IP3R1 Antibody (NBP2-66910).
By submitting your publication information earn gift cards and discounts for future purchases.

Reviews for IP3R1 Antibody (NBP2-66910) (0)

There are no reviews for IP3R1 Antibody (NBP2-66910). By submitting a review you will receive an Amazon e-Gift Card or Novus Product Discount.
  • Review with no image -- $10/€7/£6/$10 CAD/¥70 Yuan/¥1110 Yen
  • Review with an image -- $25/€18/£15/$25 CAD/¥150 Yuan/¥2500 Yen

Product General Protocols

Find general support by application which include: protocols, troubleshooting, illustrated assays, videos and webinars.

Video Protocols

WB Video Protocol

FAQs for IP3R1 Antibody (NBP2-66910) (0)

There are no specific FAQs related to this product. Read our general customer & technical service FAQs.

Secondary Antibodies

 

Isotype Controls

Additional IP3R1 Products

Array NBP2-66910

Research Areas for IP3R1 Antibody (NBP2-66910)

Find related products by research area.

Blogs on IP3R1

There are no specific blogs for IP3R1, but you can read our latest blog posts.

Contact Information

Product PDFs

Calculators

Concentration Calculator

The concentration calculator allows you to quickly calculate the volume, mass or concentration of your vial. Simply enter your mass, volume, or concentration values for your reagent and the calculator will determine the rest.

=
÷

Review this Product

Be the first to review our IP3R1 Antibody (JA11-35) and receive a gift card or discount.

Bioinformatics

Gene Symbol ITPR1