Hydroxylysine kinase Antibody - BSA Free

Images

 
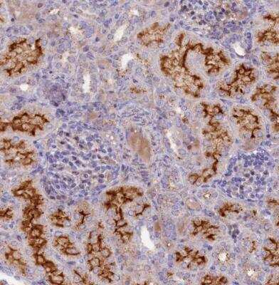
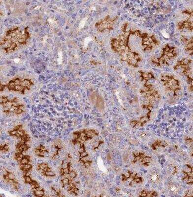
Immunohistochemistry-Paraffin: AGPHD1 Antibody [NBP1-81299] - Staining of human kidney shows strong cytoplasmic and membranous positivity in cells in tubules.

Product Details

Summary
Reactivity HuSpecies Glossary
Applications IHC
Clonality
Polyclonal
Host
Rabbit
Conjugate
Unconjugated
Format
BSA Free

Order Details

View Available Formulations
Catalog# & Formulation Size Price

Hydroxylysine kinase Antibody - BSA Free Summary

Description
Novus Biologicals Rabbit Hydroxylysine kinase Antibody - BSA Free (NBP1-81299) is a polyclonal antibody validated for use in IHC. All Novus Biologicals antibodies are covered by our 100% guarantee.
Immunogen
This antibody was developed against Recombinant Protein corresponding to amino acids: ALSKPTFSEEQASALVESVFGLKVSKVRPLPSYDDQNFHVYVSKTKDGPTEYVLKISNTKASKNPDLIEVQNHIIMFLKA
Isotype
IgG
Clonality
Polyclonal
Host
Rabbit
Gene
HYKK
Purity
Immunogen affinity purified
Innovator's Reward
Test in a species/application not listed above to receive a full credit towards a future purchase.

Applications/Dilutions

Dilutions
  • Immunohistochemistry 1:20 - 1:50
  • Immunohistochemistry-Paraffin 1:20 - 1:50
Application Notes
For IHC-Paraffin, HIER pH 6 retrieval is recommended.
Control Peptide
Hydroxylysine kinase Recombinant Protein Antigen (NBP1-81299PEP)

Packaging, Storage & Formulations

Storage
Store at 4C short term. Aliquot and store at -20C long term. Avoid freeze-thaw cycles.
Buffer
PBS (pH 7.2) and 40% Glycerol
Preservative
0.02% Sodium Azide
Purity
Immunogen affinity purified

Alternate Names for Hydroxylysine kinase Antibody - BSA Free

  • 5-hydroxy-L-lysine kinase
  • 5-hydroxylysine kinase
  • AGPHD1
  • aminoglycoside phosphotransferase domain-containing protein 1
  • hydroxylysine kinase

Limitations

This product is for research use only and is not approved for use in humans or in clinical diagnosis. Primary Antibodies are guaranteed for 1 year from date of receipt.

Customers Who Viewed This Item Also Viewed...

NBP1-81190
Species: Hu, Mu, Rt
Applications: IHC,  IHC-P, WB
NBP1-91655
Species: Hu
Applications: IHC,  IHC-P, WB
NBP2-61673
Species: Hu
Applications: ELISA, Flow, ICC/IF, WB
NBP2-61677
Species: Hu, Rt
Applications: ELISA, Flow, WB
NB200-323
Species: Hu, Rt
Applications: WB
NBP1-78403
Species: Hu
Applications: ICC/IF, WB
NBP3-23927
Species: Hu
Applications:  IHC-P
NB100-1798
Species: Hu, Mu
Applications: GS, GS, ICC/IF, IHC,  IHC-P, WB
NBP2-61743
Species: Hu
Applications: ELISA, Flow, ICC/IF, WB
NBP3-41993
Species: Hu, Po
Applications: IHC, WB
NBP2-57350
Species: Hu
Applications: ICC/IF, WB
NBP1-69364
Species: Hu, Mu
Applications: ICC/IF, IHC, WB

Publications for Hydroxylysine kinase Antibody (NBP1-81299) (0)

There are no publications for Hydroxylysine kinase Antibody (NBP1-81299).
By submitting your publication information earn gift cards and discounts for future purchases.

Reviews for Hydroxylysine kinase Antibody (NBP1-81299) (0)

There are no reviews for Hydroxylysine kinase Antibody (NBP1-81299). By submitting a review you will receive an Amazon e-Gift Card or Novus Product Discount.
  • Review with no image -- $10/€7/£6/$10 CAD/¥70 Yuan/¥1110 Yen
  • Review with an image -- $25/€18/£15/$25 CAD/¥150 Yuan/¥2500 Yen

Product General Protocols

Find general support by application which include: protocols, troubleshooting, illustrated assays, videos and webinars.

FAQs for Hydroxylysine kinase Antibody (NBP1-81299) (0)

There are no specific FAQs related to this product. Read our general customer & technical service FAQs.

Secondary Antibodies

 

Isotype Controls

Additional Hydroxylysine kinase Products

Blogs on Hydroxylysine kinase

There are no specific blogs for Hydroxylysine kinase, but you can read our latest blog posts.

Customers Who Bought This Also Bought

Contact Information

Product PDFs

Calculators

Concentration Calculator

The concentration calculator allows you to quickly calculate the volume, mass or concentration of your vial. Simply enter your mass, volume, or concentration values for your reagent and the calculator will determine the rest.

=
÷

Review this Product

Be the first to review our Hydroxylysine kinase Antibody - BSA Free and receive a gift card or discount.

Bioinformatics

Gene Symbol HYKK
Entrez
Uniprot