Hsp70 interacting protein HIP Antibody (CL3708) - Azide and BSA Free

Images

 
Lane 1: Marker [kDa] 250, 130, 100, 70, 55, 35, 25, 15, 10Lane 2: Human cell line RT-4
Staining of human breast cancer shows cytoplasmic immunoreactivity in tumor cells.
Staining of human fallopian tube shows strong cytoplasmic immunoreactivity in epithelial cells.
Staining of human endometrium shows cytoplasmic immunoreactivity in glandular epithelium cells.
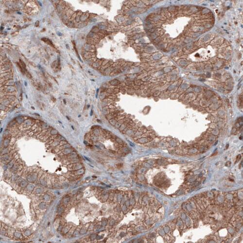
Staining of human colorectal cancer shows cytoplasmic immunoreactivity in tumor cells.
Staining of human kidney shows cytoplasmic positivity in renal tubules and glomerulus cells.
Staining of human liver shows cytoplasmic positivity in hepatocytes.
Staining of human prostate cancer shows moderate cytoplasmic positivity in tumor cells.

Product Details

Summary
Reactivity HuSpecies Glossary
Applications WB, IHC
Clone
CL3708
Clonality
Monoclonal
Host
Mouse
Conjugate
Unconjugated
Format
Azide and BSA Free
Concentration
LYOPH

Order Details

Hsp70 interacting protein HIP Antibody (CL3708) - Azide and BSA Free Summary

Description
Novus Biologicals Mouse Hsp70 interacting protein HIP Antibody (CL3708) - Azide and BSA Free (NBP2-61615) is a monoclonal antibody validated for use in IHC and WB. All Novus Biologicals antibodies are covered by our 100% guarantee.
Immunogen
This antibody was generated using a recombinant protein sequence of P50502, with the exact immunogen sequence remaining proprietary.
Isotype
IgG1
Clonality
Monoclonal
Host
Mouse
Gene
ST13
Purity
Protein A purified
Innovator's Reward
Test in a species/application not listed above to receive a full credit towards a future purchase.

Applications/Dilutions

Dilutions
  • Immunohistochemistry-Paraffin 1:10000 - 1:20000
  • Western Blot 1 ug/ml
Application Notes
IHC-Paraffin HIER pH6 retrieval is recommended.

Packaging, Storage & Formulations

Storage
Store at 4C short term. Aliquot and store at -20C long term. Avoid freeze-thaw cycles.
Buffer
Lyophilized from a 0.2 um filtered solution in PBS with Trehalose
Preservative
No Preservative
Concentration
LYOPH
Purity
Protein A purified
Reconstitution Instructions
Centrifuge the vial of lyophilized antibody at 12,000 x g for 20 seconds. Reconstitute by adding sterile, distilled water to achieve a final antibody concentration of 1mg/ml.

Alternate Names for Hsp70 interacting protein HIP Antibody (CL3708) - Azide and BSA Free

  • AAG2
  • aging-associated protein 2
  • FAM10A1FAM10A4
  • heat shock 70kD protein binding protein
  • Hip
  • HIPFLJ27260
  • HOP
  • hsc70-interacting protein
  • Hsp70-interacting protein
  • HSPABP1
  • P48MGC129952
  • PRO0786
  • Progesterone receptor-associated p48 protein
  • Protein FAM10A1
  • Putative tumor suppressor ST13
  • Renal carcinoma antigen NY-REN-33
  • SNC6HSPABP
  • suppression of tumorigenicity 13 (colon carcinoma) (Hsp70 interacting protein)
  • suppression of tumorigenicity 13 (colon carcinoma) (Hsp70-interacting protein)
  • Suppression of tumorigenicity 13 protein

Background

Hsp70 interacting protein HIP is encoded by this gene is an adaptor protein that mediates the association of the heat shock proteins HSP70 and HSP90. This protein has been shown to be involved in the assembly process of glucocorticoid receptor, which requires the assistance of multiple molecular chaperones. The expression of this gene is reported to be downregulated in colorectal carcinoma tissue suggesting that is a candidate tumor suppressor gene.

Limitations

This product is for research use only and is not approved for use in humans or in clinical diagnosis. Primary Antibodies are guaranteed for 1 year from date of receipt.

Customers Who Viewed This Item Also Viewed...

NBP1-81696
Species: Hu, Mu, Rt
Applications: ICC/IF, IHC,  IHC-P, WB
NB120-2928
Species: Hu, Mu, Pm, Rb, Rt, Sh
Applications: ICC/IF, IHC,  IHC-P, IP, WB
NBP1-90267
Species: Hu, Mu, Rt
Applications: ICC/IF, IHC,  IHC-P, WB
H00010963-M01
Species: Hu, Mu
Applications: ELISA, ICC/IF, IHC,  IHC-P, IP, S-ELISA, WB
NBP2-75440
Species: Hu, Mu, Rt
Applications: Flow, ICC/IF, IHC,  IHC-P, IP, WB
NBP2-16991
Species: Hu
Applications: ELISA, ICC/IF, IHC,  IHC-P, WB
NB120-2788
Species: Bv, Fe, Fi, Ha, Hu, Mu, Pm, Rt
Applications: B/N, Flow, IB, ICC/IF, IHC, IHC-Fr,  IHC-P, IP, Simple Western, WB
NBP2-75930
Species: Hu, Mu, Rt
Applications: Flow, ICC/IF, IHC,  IHC-P, WB
NB300-576
Species: Ch, Gp, Hu, Mu, Pm, Rb, Rt, Xp
Applications: Flow, ICC/IF, IHC,  IHC-P, IP, WB
NBP2-03433
Species: Ca, Hu, Mu, Rt
Applications: Flow, ICC/IF, IHC,  IHC-P, WB
NBP3-13279
Species: Hu, Mu, Rt
Applications: ICC/IF, IHC,  IHC-P, WB
NBP2-24763
Species: Hu, Pm
Applications: IHC,  IHC-P, WB
H00007178-M06
Species: Hu, Mu, Rt
Applications: ELISA, WB
NB110-57586
Species: Bv, Ch, Hu, Mu, Pm, Rb, Rt
Applications: IHC,  IHC-P, KD, WB
NB100-56161
Species: Hu, Mu, Rt
Applications: IHC,  IHC-P, IP, WB
AF2894
Species: Hu, Mu
Applications: CyTOF-ready, ICFlow, Simple Western, WB
PAF-ST2
Species: Hu
Applications: IP, KO, WB
NBP1-89953
Species: Hu, Mu
Applications: ICC/IF, IHC,  IHC-P
NBP3-12600
Species: Hu
Applications: ICC/IF, IHC,  IHC-P, IP, WB
NB300-164
Species: Ca, Hu, Mu, Po, Pm, Rt(-)
Applications: Dual ISH-IHC, ICC/IF, IHC, IHC-Fr,  IHC-P, IP, KO, PLA, WB

Publications for Hsp70 interacting protein HIP Antibody (NBP3-43918) (0)

There are no publications for Hsp70 interacting protein HIP Antibody (NBP3-43918).
By submitting your publication information earn gift cards and discounts for future purchases.

Reviews for Hsp70 interacting protein HIP Antibody (NBP3-43918) (0)

There are no reviews for Hsp70 interacting protein HIP Antibody (NBP3-43918). By submitting a review you will receive an Amazon e-Gift Card or Novus Product Discount.
  • Review with no image -- $10/€7/£6/$10 CAD/¥70 Yuan/¥1110 Yen
  • Review with an image -- $25/€18/£15/$25 CAD/¥150 Yuan/¥2500 Yen

Product General Protocols

Find general support by application which include: protocols, troubleshooting, illustrated assays, videos and webinars.

Video Protocols

WB Video Protocol

FAQs for Hsp70 interacting protein HIP Antibody (NBP3-43918) (0)

There are no specific FAQs related to this product. Read our general customer & technical service FAQs.

Secondary Antibodies

 

Isotype Controls

Additional Hsp70 interacting protein HIP Products

Research Areas for Hsp70 interacting protein HIP Antibody (NBP3-43918)

Find related products by research area.

Blogs on Hsp70 interacting protein HIP

There are no specific blogs for Hsp70 interacting protein HIP, but you can read our latest blog posts.

Customers Who Bought This Also Bought

Contact Information

Product PDFs

Calculators

Concentration Calculator

The concentration calculator allows you to quickly calculate the volume, mass or concentration of your vial. Simply enter your mass, volume, or concentration values for your reagent and the calculator will determine the rest.

=
÷

Review this Product

Be the first to review our Hsp70 interacting protein HIP Antibody (CL3708) - Azide and BSA Free and receive a gift card or discount.

Bioinformatics

Gene Symbol ST13