HM74A/PUMA-G/GPR109A/NIACR1 Antibody - BSA Free

Images

 
Immunohistochemistry-Paraffin: HM74A/PUMA-G/GPR109A/NIACR1 Antibody [NBP1-92180] - Staining of human tonsil shows strong cytoplasmic positivity in non-germinal center cells.
Niacin can activate the GPR109A/NRF2/autophagy signal pathway. The cells were collected at 0, 3, 6, 12, and 24 h to extract the total protein. The total protein was prepared and subjected to Western blotting using ...read more
(A) Effects of high glucose concentration (25.2 mM) on the mRNA expression of GPR109a in Caco-2 cells vs. low glucose concentration (5.6 mM). Results are expressed as means +/- standard error of the mean (SEM), n = 3, ...read more
(A) Effects of age and Type 2 Diabetes Mellitus (T2DM) on the mRNA expression of GPR109a in jejunal mucosa. Mouse mRNA abundance was determined by real-time PCR using jejunal mucosa and data were calculated as the ...read more
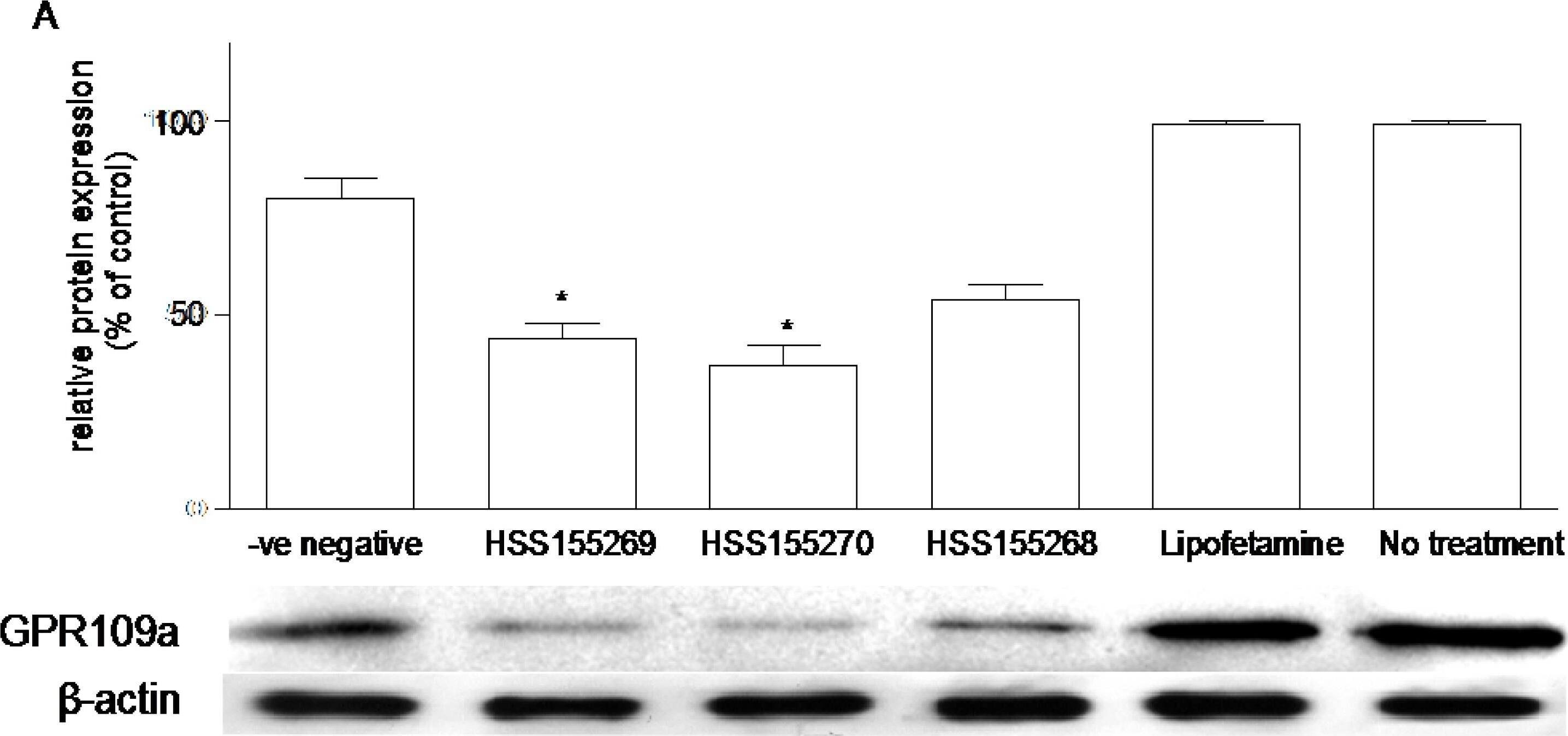
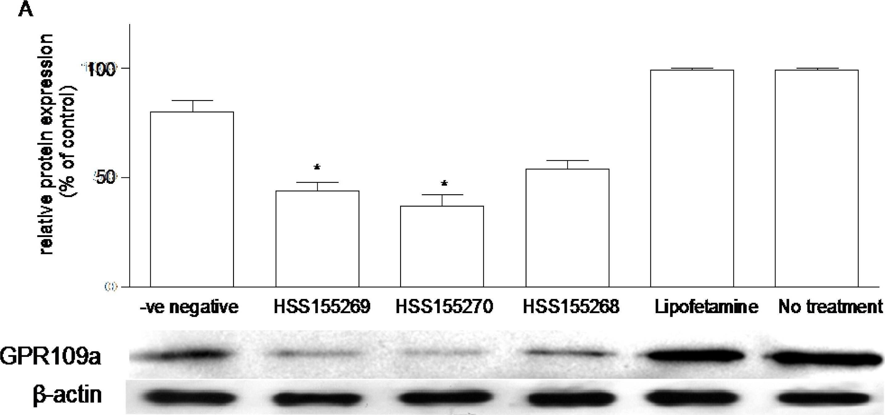
(A) Effects of siRNA knockdown of GPR109a on the expression of GPR109a protein in Caco-2 cells grown in 5.6 mM glucose. Western blot analysis showing the relative expression of niacin receptor in homogenates of cells ...read more

Product Details

Summary
Reactivity Hu, Mu, Rt, BvSpecies Glossary
Applications WB, IHC, Mycoplasma
Clonality
Polyclonal
Host
Rabbit
Conjugate
Unconjugated
Format
BSA Free

Order Details

View Available Formulations
Catalog# & Formulation Size Price

HM74A/PUMA-G/GPR109A/NIACR1 Antibody - BSA Free Summary

Description
Novus Biologicals Rabbit HM74A/PUMA-G/GPR109A/NIACR1 Antibody - BSA Free (NBP1-92180) is a polyclonal antibody validated for use in IHC and WB. Anti-HM74A/PUMA-G/GPR109A/NIACR1 Antibody: Cited in 7 publications. All Novus Biologicals antibodies are covered by our 100% guarantee.
Immunogen
This antibody was developed against Recombinant Protein corresponding to amino acids: NRCLQRKMTGEPDNNRSTSVELTGDPNKTRGAPEALMANSGEPWSPSYLGP
Isotype
IgG
Clonality
Polyclonal
Host
Rabbit
Gene
HCAR2
Purity
Affinity purified
Innovator's Reward
Test in a species/application not listed above to receive a full credit towards a future purchase.

Applications/Dilutions

Dilutions
  • Immunohistochemistry 1:50 - 1:200
  • Immunohistochemistry-Paraffin 1:50 - 1:200
  • Knockdown Validated Reported in scientific publication (PMID: 32397071).
  • Western Blot Reported in scientific literature (PMID 25622782).
Application Notes
For IHC-Paraffin, HIER pH 6 retrieval method is recommended.
Control Peptide
HM74A/PUMA-G/GPR109A/NIACR1 Protein (NBP1-92180PEP)
Publications
Read Publications using
NBP1-92180 in the following applications:

  • 1 publication
  • KD
    1 publication
  • WB
    5 publications

Reactivity Notes

Rat reactivity reported in scientific literature (PMID: 25622782). Use in Mouse reported in scientific literature (PMID:32377164). Use in Bovine reported in scientific literature (PMID: 32397071).

Packaging, Storage & Formulations

Storage
Store at 4C short term. Aliquot and store at -20C long term. Avoid freeze-thaw cycles.
Buffer
PBS (pH 7.2) and 40% Glycerol
Preservative
0.02% Sodium Azide
Purity
Affinity purified

Alternate Names for HM74A/PUMA-G/GPR109A/NIACR1 Antibody - BSA Free

  • GPR109A
  • HCA2
  • HCAR2
  • HM74A
  • hydroxycarboxylic acid receptor 2
  • Niacr1
  • Nicotinic Acid Receptor
  • PUMAG

Background

Nicotinic acid receptors are a group of Gi/Go protein-coupled receptors that are currently divided into GPR81, GPR109Aand GPR109B subtypes. GPR109B receptors originated from a gene duplication of GPR109A and have > 95% homology. Allsubtypes are widely expressed throughout adipose tissue and are found at lower levels on macrophages, neutrophils,Langerhans cells and in the spleen. Nicotinic acid receptors are involved in the inhibition of lipolysis. The humangenes encoding these receptors are located on chromosome 12 (12q24.3)

Limitations

This product is for research use only and is not approved for use in humans or in clinical diagnosis. Primary Antibodies are guaranteed for 1 year from date of receipt.

Customers Who Viewed This Item Also Viewed...

NBP2-24488
Species: Hu, Pm
Applications: IHC,  IHC-P, WB
DYC1825-2
Species: Hu, Mu, Rt
Applications: ELISA
NLS418
Species: Hu
Applications: IHC,  IHC-P
NLS2756
Species: Hu, Pm
Applications: ICC, IHC,  IHC-P
NLS2095
Species: Hu, Mu
Applications: ICC/IF, IHC,  IHC-P, WB
MAB8458
Species: Hu
Applications: CyTOF-ready, Flow, ICC
NLS1017
Species: Bt, Bv, Ca, Eq, Hu, Mu
Applications: IHC,  IHC-P
NLS2576
Species: Hu, Pm, Rt
Applications: IHC,  IHC-P
MAB194
Species: Hu, Mu
Applications: CyTOF-ready, Flow, ICC, WB
NBP2-22106
Species: Hu, Mu, Rt
Applications: IHC,  IHC-P, IP, WB
AF1230
Species: Hu, Mu, Rt
Applications: IHC, KO, WB
H00005729-B01P
Species: Hu
Applications: Flow, ICC/IF, WB
NBP1-00178
Species: Hu, Mu, Sh
Applications: Flow, ICC/IF, IHC, IHC-Fr, PEP-ELISA, WB
M6000B
Species: Mu
Applications: ELISA
NBP1-87311
Species: Hu, Mu, Rt
Applications: ICC/IF, IHC,  IHC-P, Simple Western, WB
NBP1-92180
Species: Hu, Mu, Rt, Bv
Applications: WB, IHC, Mycoplasma

Publications for HM74A/PUMA-G/GPR109A/NIACR1 Antibody (NBP1-92180)(8)

We have publications tested in 4 confirmed species: Human, Mouse, Rat, Bovine.

We have publications tested in 3 applications: IF/IHC, KD, WB.


Filter By Application
IF/IHC
(1)
KD
(1)
WB
(5)
All Applications
Filter By Species
Human
(1)
Mouse
(1)
Rat
(2)
Bovine
(1)
All Species
Showing Publications 1 - 8 of 8.
Publications using NBP1-92180 Applications Species
Grunenwald A, Peliconi J, Zarantonello A et al. HCAR2 is a novel receptor for heme Blood Advances 2025-09-09 [PMID: 40353812]
Yang Y, Pei T, Hu X et al. Dietary vitamin B3 supplementation induces the antitumor immunity against liver cancer via biased GPR109A signaling in myeloid cell Cell Reports Medicine 2024-09-17 [PMID: 39293389]
Chen J, Lin T, Zhang S et al. Niacin/?-hydroxybutyrate regulates milk fat and milk protein synthesis via the GPR109A/Gi/mTORC1 pathway Food & function 2023-03-20 [PMID: 36866679]
Lee W, Yu H, Tain Y et al. Vinpocetine Ameliorates Metabolic-Syndrome-Associated Bladder Overactivity in Fructose-Fed Rats by Restoring Succinate-Modulated cAMP Levels and Exerting Anti-Inflammatory Effects in the Bladder Detrusor Muscle Biomedicines 2022-10-26 [PMID: 36359236] (WB, Rat) WB Rat
Guo W, Liu J, Li W et al. Niacin Alleviates Dairy Cow Mastitis by Regulating the GPR109A/AMPK/NRF2 Signaling Pathway Int J Mol Sci 2020-05-08 [PMID: 32397071] (KD, WB, IF/IHC, Bovine) KD, WB, IF/IHC Bovine
Sun J, Yuan B, Wu Y et al. Sodium Butyrate Protects N2a Cells against A beta Toxicity In Vitro Mediators of Inflammation 2020-04-15 [PMID: 32377164] (WB, Mouse) WB Mouse
Wong TP, Chan LK, Leung PS. Involvement of the Niacin Receptor GPR109a in the LocalControl of Glucose Uptake in Small Intestine of Type 2Diabetic Mice. Nutrients 2015-09-15 [PMID: 26371038] (WB, Human) WB Human
Chen L, So WY, Li SY et al. Niacin-induced hyperglycemia is partially mediated via niacin receptor GPR109a in pancreatic islets Mol. Cell. Endocrinol. 2015-01-23 [PMID: 25622782] (WB, Rat) WB Rat

Reviews for HM74A/PUMA-G/GPR109A/NIACR1 Antibody (NBP1-92180) (0)

There are no reviews for HM74A/PUMA-G/GPR109A/NIACR1 Antibody (NBP1-92180). By submitting a review you will receive an Amazon e-Gift Card or Novus Product Discount.
  • Review with no image -- $10/€7/£6/$10 CAD/¥70 Yuan/¥1110 Yen
  • Review with an image -- $25/€18/£15/$25 CAD/¥150 Yuan/¥2500 Yen

Product General Protocols

Find general support by application which include: protocols, troubleshooting, illustrated assays, videos and webinars.

Video Protocols

WB Video Protocol

FAQs for HM74A/PUMA-G/GPR109A/NIACR1 Antibody (NBP1-92180) (0)

There are no specific FAQs related to this product. Read our general customer & technical service FAQs.

Secondary Antibodies

 

Isotype Controls

Additional HM74A/PUMA-G/GPR109A/NIACR1 Products

Research Areas for HM74A/PUMA-G/GPR109A/NIACR1 Antibody (NBP1-92180)

Find related products by research area.

Blogs on HM74A/PUMA-G/GPR109A/NIACR1

There are no specific blogs for HM74A/PUMA-G/GPR109A/NIACR1, but you can read our latest blog posts.

Customers Who Bought This Also Bought

Contact Information

Product PDFs

Calculators

Concentration Calculator

The concentration calculator allows you to quickly calculate the volume, mass or concentration of your vial. Simply enter your mass, volume, or concentration values for your reagent and the calculator will determine the rest.

=
÷

Review this Product

Be the first to review our HM74A/PUMA-G/GPR109A/NIACR1 Antibody - BSA Free and receive a gift card or discount.

Bioinformatics

Gene Symbol HCAR2
Entrez
Uniprot