Histone H3 [Trimethyl Lys79] Antibody (SR42-06)

Images

 
Western Blot: Histone H3 [Trimethyl Lys79] Antibody (SR42-06) [NBP2-67343] - Histone H3T [Trimethyl Lys79] Antibody (SR42-06) [NBP2-67343] - Analysis of Histone H3(mono+di+tri methyl K79) on different lysates using ...read more
Immunohistochemistry-Paraffin: Histone H3 [Trimethyl Lys79] Antibody (SR42-06) [NBP2-67343] - Analysis of paraffin-embedded mouse colon tissue using anti-Histone H3(mono+di+tri methyl K79) antibody. Counter stained with ...read more
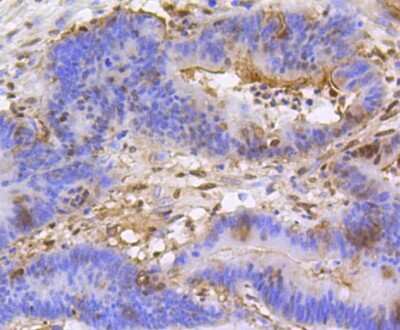
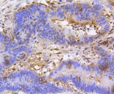
Immunohistochemistry-Paraffin: Histone H3 [Trimethyl Lys79] Antibody (SR42-06) [NBP2-67343] - Analysis of paraffin-embedded human colon cancer tissue using anti-Histone H3(mono+di+tri methyl K79) antibody. Counter ...read more
Immunohistochemistry-Paraffin: Histone H3 [Trimethyl Lys79] Antibody (SR42-06) [NBP2-67343] - Analysis of paraffin-embedded human tonsil tissue using anti-Histone H3(mono+di+tri methyl K79) antibody. Counter stained ...read more

Product Details

Summary
Product Discontinued
View other related Histone H3 Primary Antibodies

Order Details


    • Catalog Number
      NBP2-67343
    • Availability
      Product Discontinued

    Can't find what you are looking for? Use our Antibody Concierge Service & we will help you locate your antibody!

    Or feel free to contact us for alternative products.

Histone H3 [Trimethyl Lys79] Antibody (SR42-06) Summary

Additional Information
Recombinant Monoclonal Antibody.
Immunogen
Synthetic peptide within Human Histone H3 aa 56-105 / 136(tri methyl K79) conjugated to Keyhole Limpet Haemocyanin (KLH). (SwissProt: P68431 Human; SwissProt: P84243 Human; SwissProt: Q16695 Human; SwissProt: Q6NXT2 Human; SwissProt: Q71DI3 Human; SwissProt: P68433 Mouse; SwissProt: Q6LED0 Rat)
Modification
Trimethyl Lys79
Localization
Nucleus, Chromosome.
Isotype
IgG
Clonality
Monoclonal
Host
Rabbit
Gene
H3C14
Purity
Protein A purified
Innovator's Reward
Test in a species/application not listed above to receive a full credit towards a future purchase.

Applications/Dilutions

Dilutions
  • Immunohistochemistry
  • Immunohistochemistry-Paraffin 1:50-1:200
  • Western Blot 1:1000-1:2000
Theoretical MW
15 kDa.
Disclaimer note: The observed molecular weight of the protein may vary from the listed predicted molecular weight due to post translational modifications, post translation cleavages, relative charges, and other experimental factors.

Packaging, Storage & Formulations

Storage
Store at 4C short term. Aliquot and store at -20C long term. Avoid freeze-thaw cycles.
Buffer
TBS (pH7.4), 0.05% BSA, 40% Glycerol
Preservative
0.05% Sodium Azide
Concentration
1 mg/ml
Purity
Protein A purified

Alternate Names for Histone H3 [Trimethyl Lys79] Antibody (SR42-06)

  • H3 histone, family 3A
  • H3
  • H3.3A
  • H3.3B
  • H3F2
  • H3F3
  • H3F3A
  • H3F3B
  • H3FM
  • H3K79Me3
  • HIST2H3C
  • Histone H3
  • histone H3.3
  • MGC87782
  • MGC87783

Background

Chromatin is an arrangement of DNA and proteins which form chromosomes. Chromatin is formed from nucleosomes, which are comprised of a set of four histone proteins (H2A, H2B, H3, H4) wrapped with DNA. Chromatin is very dynamic, where post-translational modifications can regulate DNA to be copied, transcribed, or repaired.

Histones are nuclear proteins responsible for the nucleosome structure of the chromosomal fiber in eukaryotes. Changes in chromatin structure play a large role in the regulation of transcription. The chromatin fibers are compacted through the interaction of a linker histone, H1, with the DNA between the nucleosomes to form higher order chromatin structures.

Common histone modifications include methylation of lysine and arginine, acetylation of lysine, phosphorylation of threonine and serine, and sumoylation, biotinylation, and ubiquitylation of lysine. Posttranslational modifications such as acetylation of core histones regulates gene expression, thus altering protein function and regulation (1). Histone H3 is primarily acetylated at lysines 9, 14, 18, and 23 and have a theoretical molecular weight of 15 kDa. Acetylation at lysine 9 and 14 appears to control histone deposition, chromatin assembly and active transcription. Methylation of arginine residues within histone H3 has also been linked to transcription regulation. Histone H3 has been linked to various types of cancer as a biomarker through the aberrant expression of histone deacetylase (HDAC) enzymes and changes to chromatins (2-4).

References

1. Zhang, Y. X., Akumuo, R. C., Espana, R. A., Yan, C. X., Gao, W. J., & Li, Y. C. (2018). The histone demethylase KDM6B in the medial prefrontal cortex epigenetically regulates cocaine reward memory. Neuropharmacology, 141, 113-125. doi:10.1016/j.neuropharm.2018.08.030

2. Nandakumar, V., Hansen, N., Glenn, H. L., Han, J. H., Helland, S., Hernandez, K, ...Meldrum, D. R. (2016). Vorinostat differentially alters 3D nuclear structure of cancer and non-cancerous esophageal cells. Sci Rep, 6, 30593. doi:10.1038/srep30593

3. Zhou, M., Li, Y., Lin, S., Chen, Y., Qian, Y., Zhao, Z., & Fan, H. (2019). H3K9me3, H3K36me3, and H4K20me3 Expression Correlates with Patient Outcome in Esophageal Squamous Cell Carcinoma as Epigenetic Markers. Dig Dis Sci, 64(8), 2147-2157. doi:10.1007/s10620-019-05529-2

4. Li, Y., Guo, D., Sun, R., Chen, P., Qian, Q., & Fan, H. (2019). Methylation Patterns of Lys9 and Lys27 on Histone H3 Correlate with Patient Outcome in Gastric Cancer. Dig Dis Sci, 64(2), 439-446. doi:10.1007/s10620-018-5341-8

Limitations

This product is for research use only and is not approved for use in humans or in clinical diagnosis. Primary Antibodies are guaranteed for 1 year from date of receipt.

Customers Who Viewed This Item Also Viewed...

NBP2-07993
Species: Hu
Applications: WB
NBP2-52486
Species: Hu
Applications: CyTOF-ready, ELISA, Flow, ICC/IF, IHC,  IHC-P, WB
NBP2-07996
Species: Hu
Applications: WB
NB500-171
Species: Hu, I, Mu, Rt, Xp, Ye
Applications: ChIP, IB, ICC/IF, IHC,  IHC-P, Single-Cell Western, WB
NBP3-48615
Species: Hu, Mu, Rt
Applications: ICC/IF, IHC,  IHC-P, WB
NBP3-33534
Species: Hu, Mu, Rt
Applications: ELISA, IHC,  IHC-P, WB
NLS3775
Species: Hu, Pm
Applications: ICC/IF, IHC,  IHC-P
NBP1-85351
Species: Hu, Mu, Rt
Applications: ICC/IF, IHC,  IHC-P, WB
NBP3-46113
Species: Hu, Mu, Rt
Applications: ELISA, IHC, IP, , WB
AF5215
Species: Hu, Mu
Applications: ICC, WB
H00008330-P01
Species: Hu
Applications: ELISA, AP, PA, WB
NBP2-43535
Species: Hu, Mu, Rt
Applications: ChIP, DB, ICC/IF, IHC,  IHC-P, IP, WB
H00008351-M01
Species: Hu, Mu
Applications: ELISA, ICC/IF, IHC,  IHC-P, WB
H00008336-P01
Species: Hu
Applications: ELISA, AP, PA, WB
NBL1-11570
Species: Hu
Applications: WB
NBP2-67343
Species: Hu, Mu, Rt
Applications: WB, IHC

Publications for Histone H3 Antibody (NBP2-67343) (0)

There are no publications for Histone H3 Antibody (NBP2-67343).
By submitting your publication information earn gift cards and discounts for future purchases.

Reviews for Histone H3 Antibody (NBP2-67343) (0)

There are no reviews for Histone H3 Antibody (NBP2-67343). By submitting a review you will receive an Amazon e-Gift Card or Novus Product Discount.
  • Review with no image -- $10/€7/£6/$10 CAD/¥70 Yuan/¥1110 Yen
  • Review with an image -- $25/€18/£15/$25 CAD/¥150 Yuan/¥2500 Yen

Product General Protocols

Find general support by application which include: protocols, troubleshooting, illustrated assays, videos and webinars.

Video Protocols

WB Video Protocol

FAQs for Histone H3 Antibody (NBP2-67343) (0)

There are no specific FAQs related to this product. Read our general customer & technical service FAQs.

Secondary Antibodies

 

Isotype Controls

Additional Histone H3 Products

Research Areas for Histone H3 Antibody (NBP2-67343)

Find related products by research area.

Blogs on Histone H3. Showing 1-10 of 11 blog posts - Show all blog posts.

Epigenetics of Depression: How Can Psychological Stress Alter Your DNA?
By Emily Cartwright, PhDHow Can Psychological Stress Alter Your DNA? Traumatic events, work demands, relationship conflicts, and health problems are all examples of psychological stressors that can result in phy...  Read full blog post.

Article Review: Glucose-induced transcriptional regulation in cancer
Epigenetic mechanisms have been implicated in many physiological and pathophysiological processes. Among these, histone modifications including methylation, phosphorylation, acetylation and ubiquitination, significantly modify gene expression. In c...  Read full blog post.

The role of DNMT3B in the co-incidence of methyltransferase and tumor suppressor expression in malignancies
Epigenetics is the process of heritable change in gene activity despite alteration of the hosts DNA sequence, essentially causing a change in a phenotype without a change in the genotype of a host. To change the gene sequence without interfering w...  Read full blog post.

The role of DNMT3A in development
Epigenetics is the study of heritable change in gene activity despite alteration of the hosts DNA sequence.  Change in gene activity done independently of the DNA sequence is achieved by way of histone and DNA methylation.  Gene silencing in DNA ...  Read full blog post.

EZH1 has more to offer than gene repression
EZH1 is part of the Polycomb-group family of proteins, which are responsible for remodeling chromatin in genes and modulating epigenetic silencing during development.  Specifically, EZHI is a component of PRC2, or polycomb repressive complex-2.  PR...  Read full blog post.

Understanding Transcription with RNA Polymerase II
RNA polymerase II is a large 12-subunit complex that synthesizes all mRNAs and several non-coding RNAs in eukaryotic cells. It is a DNA-dependent RNA polymerase enzyme that catalyzes transcription of DNA into RNA based on the four ribonucleoside triph...  Read full blog post.

Histone H3
Eukaryotic chromosomes are formed through the highly organized and structural wrapping of DNA genetic material around histone proteins into the classic "bead on a string" globular structure of nucleosomes. The histone family consists of five family me...  Read full blog post.

EZH2: Epigenetic Regulation Made Easy!
Enhancer of Zeste homolog 2 (EZH2) is the methyltransferase enzyme responsible for trimethylating lysine 27 on histone H3 to produce H3K27Me3. EZH2 is a polycomb group protein that is an essential epigenetic regulator that is often found deregulated i...  Read full blog post.

Understanding the Reasons for Histone H3 K4 Trimethylation (H3K4Me3)
Epigenetic mechanisms allow distinction between the active and inactive compartments of the genome, allowing proper cell lineage and embryogenesis. The trimethylation of Histone 3 at lysine 4 (H3K4Me3) is a common epigenetic histone modification that ...  Read full blog post.

The 'epi-genie' is Out of the Bottle: Functional Histone 3 Variants in Human Disease
Discovery of histone variants using highly specific antibodies has led to the emerging notion that alterations in histone modifications and further changes in chromatin structure are induced by exchange of histone variants. Covalent histone modificati...  Read full blog post.

Showing 1-10 of 11 blog posts - Show all blog posts.

Contact Information

Product PDFs

Calculators

Concentration Calculator

The concentration calculator allows you to quickly calculate the volume, mass or concentration of your vial. Simply enter your mass, volume, or concentration values for your reagent and the calculator will determine the rest.

=
÷

Review this Product

Be the first to review our Histone H3 [Trimethyl Lys79] Antibody (SR42-06) and receive a gift card or discount.

Bioinformatics

Gene Symbol H3C14
Entrez
Uniprot