Histone Deacetylase 8/HDAC8 Antibody (JJ0845)

Images

 
Western Blot: Histone Deacetylase 8/HDAC8 Antibody (JJ0845) [NBP2-67837] - Analysis of HDAC8 on different lysates using anti-HDAC8 antibody at 1/1,000 dilution. Positive control: Lane 1: Hela Lane 2: K562
Immunocytochemistry/ Immunofluorescence: Histone Deacetylase 8/HDAC8 Antibody (JJ0845) [NBP2-67837] - Staining HDAC8 in HepG2 cells (green). The nuclear counter stain is DAPI (blue). Cells were fixed in ...read more
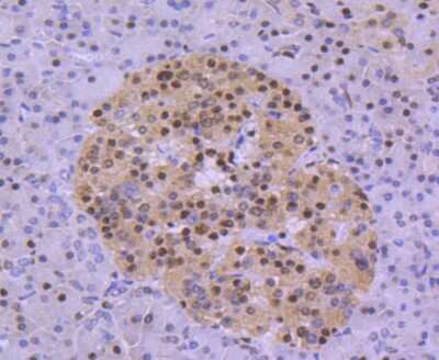
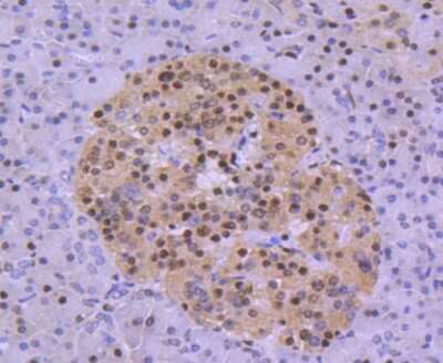
Immunohistochemistry-Paraffin: Histone Deacetylase 8/HDAC8 Antibody (JJ0845) [NBP2-67837] - Analysis of paraffin-embedded human pancreas tissue using anti-HDAC8 antibody. Counter stained with hematoxylin.
Flow Cytometry: Histone Deacetylase 8/HDAC8 Antibody (JJ0845) [NBP2-67837] - Analysis of K562 cells with HDAC8 antibody at 1/50 dilution (red) compared with an unlabelled control (cells without incubation with primary ...read more
Immunocytochemistry/ Immunofluorescence: Histone Deacetylase 8/HDAC8 Antibody (JJ0845) [NBP2-67837] - Staining HDAC8 in A549 cells (green). The nuclear counter stain is DAPI (blue). Cells were fixed in paraformaldehyde, ...read more
Immunocytochemistry/ Immunofluorescence: Histone Deacetylase 8/HDAC8 Antibody (JJ0845) [NBP2-67837] - Staining HDAC8 in Hela cells (green). The nuclear counter stain is DAPI (blue). Cells were fixed in paraformaldehyde, ...read more
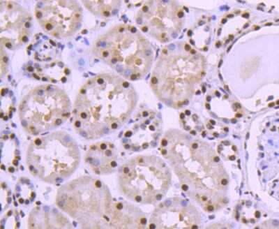
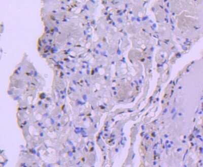
Immunohistochemistry-Paraffin: Histone Deacetylase 8/HDAC8 Antibody (JJ0845) [NBP2-67837] - Analysis of paraffin-embedded human kidney tissue using anti-HDAC8 antibody. Counter stained with hematoxylin.
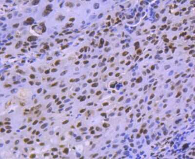
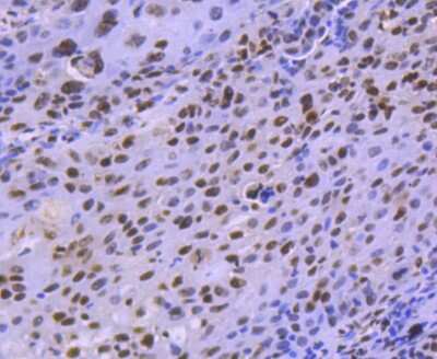
Immunohistochemistry-Paraffin: Histone Deacetylase 8/HDAC8 Antibody (JJ0845) [NBP2-67837] - Analysis of paraffin-embedded human lung cancer tissue using anti-HDAC8 antibody. Counter stained with hematoxylin.
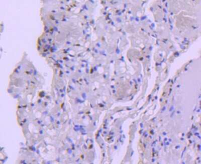
Immunohistochemistry-Paraffin: Histone Deacetylase 8/HDAC8 Antibody (JJ0845) [NBP2-67837] - Analysis of paraffin-embedded human lung tissue using anti-HDAC8 antibody. Counter stained with hematoxylin.

Order Details


    • Catalog Number
      NBP2-67837
    • Availability
      Product Discontinued

    Can't find what you are looking for? Use our Antibody Concierge Service & we will help you locate your antibody!

    Or feel free to contact us for alternative products.

Histone Deacetylase 8/HDAC8 Antibody (JJ0845) Summary

Additional Information
Recombinant Monoclonal Antibody.
Immunogen
Synthetic peptide within Human Histone Deacetylase 8/HDAC8 aa 51-100 / 377. (SwissProt: Q9BY41 Human)
Localization
Nucleus, Cytoplasm.
Isotype
IgG
Clonality
Monoclonal
Host
Rabbit
Gene
HDAC8
Purity
Protein A purified
Innovator's Reward
Test in a species/application not listed above to receive a full credit towards a future purchase.

Applications/Dilutions

Dilutions
  • Flow Cytometry 1:50-1:100
  • Immunocytochemistry/ Immunofluorescence 1:100-1:500
  • Immunohistochemistry
  • Immunohistochemistry-Paraffin 1:50-1:200
  • Immunoprecipitation
  • Western Blot 1:500-1:2000

Packaging, Storage & Formulations

Storage
Store at 4C short term. Aliquot and store at -20C long term. Avoid freeze-thaw cycles.
Buffer
TBS (pH7.4), 0.05% BSA, 40% Glycerol
Preservative
0.05% Sodium Azide
Concentration
1 mg/ml
Purity
Protein A purified

Alternate Names for Histone Deacetylase 8/HDAC8 Antibody (JJ0845)

  • EC 3.5.1.98
  • HD8
  • HDAC8
  • HDACL1
  • Histone Deacetylase 8
  • histone deacetylase-like 1
  • RPD3

Background

Histones play a critical role in transcriptional regulation, cell cycle progression, and developmental events. Histone acetylation/deacetylation alters chromosome structure and affects transcription factor access to DNA. The protein encoded by this gene belongs to class I of the histone deacetylase/acuc/apha family. It has histone deacetylase activity and represses transcription when tethered to a promoter.

Limitations

This product is for research use only and is not approved for use in humans or in clinical diagnosis. Primary Antibodies are guaranteed for 1 year from date of receipt.

Customers Who Viewed This Item Also Viewed...

NBP2-03993
Species: Bv, Ca, Hu, Mu, Pm
Applications: WB
NB100-56340
Species: Hu, Mu, Rt
Applications: IHC, IHC-Fr,  IHC-P, KO, Simple Western, WB
NB100-1669
Species: Hu
Applications: ChIP, ICC/IF, IHC,  IHC-P, IP, Simple Western, WB
NBP2-07996
Species: Hu
Applications: WB
NBP2-52486
Species: Hu
Applications: CyTOF-ready, ELISA, Flow, ICC/IF, IHC,  IHC-P, WB
NB100-1923
Species: Ce
Applications: IHC,  IHC-P, IP, WB
NBP1-87109
Species: Hu, Mu
Applications: ICC/IF, IHC,  IHC-P, KD, WB
NB110-58358
Species: Ca, Hu, Mu, Rt, Ze
Applications: ChIP, IB, ICC/IF, IHC, IHC-Fr,  IHC-P, IP, KD, KO, Simple Western, WB
MAB7940
Species: Hu
Applications: IHC, WB
NB500-171
Species: Hu, I, Mu, Rt, Xp, Ye
Applications: ChIP, IB, ICC/IF, IHC,  IHC-P, Single-Cell Western, WB
NBP3-46113
Species: Hu, Mu, Rt
Applications: ELISA, IHC, IP, , WB
NBL1-11570
Species: Hu
Applications: WB
H00008365-M01
Species: Hu
Applications: ELISA, ICC/IF, S-ELISA
NBL1-11567
Species: Hu
Applications: WB
AF5215
Species: Hu, Mu
Applications: ICC, WB
NLS3775
Species: Hu, Pm
Applications: ICC/IF, IHC,  IHC-P
NBP1-85351
Species: Hu, Mu, Rt
Applications: ICC/IF, IHC,  IHC-P, WB
NBP2-67837
Species: Hu
Applications: WB, Flow, ICC/IF, IHC, IP

Publications for Histone Deacetylase 8/HDAC8 Antibody (NBP2-67837) (0)

There are no publications for Histone Deacetylase 8/HDAC8 Antibody (NBP2-67837).
By submitting your publication information earn gift cards and discounts for future purchases.

Reviews for Histone Deacetylase 8/HDAC8 Antibody (NBP2-67837) (0)

There are no reviews for Histone Deacetylase 8/HDAC8 Antibody (NBP2-67837). By submitting a review you will receive an Amazon e-Gift Card or Novus Product Discount.
  • Review with no image -- $10/€7/£6/$10 CAD/¥70 Yuan/¥1110 Yen
  • Review with an image -- $25/€18/£15/$25 CAD/¥150 Yuan/¥2500 Yen

Product General Protocols

Video Protocols

WB Video Protocol
ICC/IF Video Protocol

FAQs for Histone Deacetylase 8/HDAC8 Antibody (NBP2-67837) (0)

There are no specific FAQs related to this product. Read our general customer & technical service FAQs.

Secondary Antibodies

 

Isotype Controls

Additional Histone Deacetylase 8/HDAC8 Products

Research Areas for Histone Deacetylase 8/HDAC8 Antibody (NBP2-67837)

Find related products by research area.

Blogs on Histone Deacetylase 8/HDAC8

There are no specific blogs for Histone Deacetylase 8/HDAC8, but you can read our latest blog posts.

Contact Information

Product PDFs

Calculators

Concentration Calculator

The concentration calculator allows you to quickly calculate the volume, mass or concentration of your vial. Simply enter your mass, volume, or concentration values for your reagent and the calculator will determine the rest.

=
÷

Review this Product

Be the first to review our Histone Deacetylase 8/HDAC8 Antibody (JJ0845) and receive a gift card or discount.

Bioinformatics

Gene Symbol HDAC8