HECTD4 Antibody (A2-F5-F10)

Images

 
Western Blot: HECTD4 Antibody (A2-F5-F10) [NBP2-75411] - Analysis of C12orf51 on SH-SY5Y (1) and A549 (2) using anti-C12orf51 antibody at 1/100 dilution.
Immunocytochemistry/ Immunofluorescence: HECTD4 Antibody (A2-F5-F10) [NBP2-75411] - Staining C12orf51 (green) in PC-3M cells. The nuclear counter stain is DAPI (blue). Cells were fixed in paraformaldehyde, permeabilised ...read more
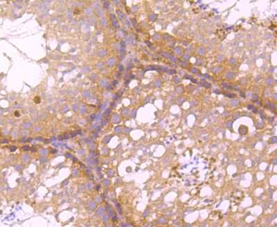
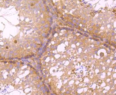
Immunohistochemistry-Paraffin: HECTD4 Antibody (A2-F5-F10) [NBP2-75411] - Analysis of paraffin-embedded mouse testis tissue using anti-C12orf51 antibody. Counter stained with hematoxylin.
Flow Cytometry: HECTD4 Antibody (A2-F5-F10) [NBP2-75411] - Analysis of SH-SY5Y cells with C12orf51 antibody at 1/100 dilution (red) compared with an unlabelled control (cells without incubation with primary antibody; ...read more
Immunocytochemistry/ Immunofluorescence: HECTD4 Antibody (A2-F5-F10) [NBP2-75411] - Staining C12orf51 (green) in HepG2 cells. The nuclear counter stain is DAPI (blue). Cells were fixed in paraformaldehyde, permeabilised ...read more
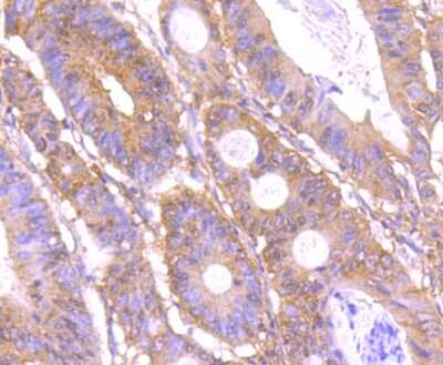
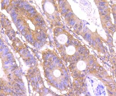
Immunohistochemistry-Paraffin: HECTD4 Antibody (A2-F5-F10) [NBP2-75411] - Analysis of paraffin-embedded human colon cancer tissue using anti-C12orf51 antibody. Counter stained with hematoxylin.
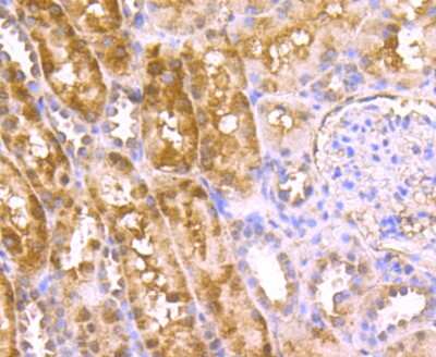
Immunohistochemistry-Paraffin: HECTD4 Antibody (A2-F5-F10) [NBP2-75411] - Analysis of paraffin-embedded human kidney tissue using anti-C12orf51 antibody. Counter stained with hematoxylin.

Product Details

Summary
Product Discontinued
View other related HECTD4 Primary Antibodies

Order Details


    • Catalog Number
      NBP2-75411
    • Availability
      Product Discontinued

    Can't find what you are looking for? Use our Antibody Concierge Service & we will help you locate your antibody!

    Or feel free to contact us for alternative products.

HECTD4 Antibody (A2-F5-F10) Summary

Immunogen
Recombinant protein within Human HECTD4 aa 232-516 / 3,996. (SwissProt: Q9Y4D8 Human)
Localization
Membrane. Single-pass membrane protein.
Isotype
IgG1
Clonality
Monoclonal
Host
Mouse
Gene
HECTD4
Purity
Protein A purified
Innovator's Reward
Test in a species/application not listed above to receive a full credit towards a future purchase.

Applications/Dilutions

Dilutions
  • Flow Cytometry 1:50-1:100
  • Immunocytochemistry/ Immunofluorescence 1:50
  • Immunohistochemistry
  • Immunohistochemistry-Paraffin 1:50-1:100
  • Western Blot 1:500
Theoretical MW
439 kDa.
Disclaimer note: The observed molecular weight of the protein may vary from the listed predicted molecular weight due to post translational modifications, post translation cleavages, relative charges, and other experimental factors.

Reactivity Notes

Mouse blocking reagent may be needed for IHC and ICC experiments to reduce high background signal. You can find these reagents under catalog numbers PK-2200-NB and MP-2400-NB. Please contact Technical Support if you have any. Please note that this antibody is reactive to Mouse and derived from the same host, Mouse. Mouse-On-questions.

Packaging, Storage & Formulations

Storage
Store at 4C short term. Aliquot and store at -20C long term. Avoid freeze-thaw cycles.
Buffer
PBS (pH7.4), 0.2% BSA, 50% Glycerol
Preservative
0.05% Sodium Azide
Concentration
2 mg/ml
Purity
Protein A purified

Alternate Names for HECTD4 Antibody (A2-F5-F10)

  • C12orf51
  • chromosome 12 open reading frame 51

Limitations

This product is for research use only and is not approved for use in humans or in clinical diagnosis. Primary Antibodies are guaranteed for 1 year from date of receipt.

Customers Who Viewed This Item Also Viewed...

NBP1-30249
Species: Hu, Mu, Xp
Applications: ELISA, Flow, ICC/IF, IHC, WB
AF5236
Species: Mu
Applications: WB
NBP1-87940
Species: Hu
Applications: IHC,  IHC-P
NBP2-13262
Species: Hu
Applications: ICC/IF, IHC,  IHC-P, WB
NBP2-56562
Species: Hu
Applications: ICC/IF
NBP1-92581
Species: Hu
Applications: IHC,  IHC-P
NBP2-37397
Species: Hu, Mu, Rt
Applications: CyTOF-ready, ELISA, Flow, ICC/IF, IHC,  IHC-P, WB
NBP3-48857
Species: Mu, Rt
Applications: IHC,  IHC-P, WB
H00023316-M03
Species: Hu
Applications: ELISA, ICC/IF, IHC, IHC-Fr, WB
NB300-578
Species: Am, Ca, Ch, Fe, Ha, Hu, Mu, Po, Pm, Rb, Rt, Sh
Applications: Flow, ICC/IF, IHC, IHC-Fr,  IHC-P, IP, WB
NBP2-83632
Species: Hu
Applications: IHC,  IHC-P, WB
NBP1-83122
Species: Hu
Applications: ICC/IF, IHC,  IHC-P
AF6237
Species: Hu
Applications: Simple Western, WB
3500-RS
Species: Hu
Applications: BA
NBP1-85841
Species: Hu
Applications: ICC/IF, IHC,  IHC-P, WB
NBP2-13599
Species: Hu
Applications: ICC/IF, IHC,  IHC-P

Publications for HECTD4 Antibody (NBP2-75411) (0)

There are no publications for HECTD4 Antibody (NBP2-75411).
By submitting your publication information earn gift cards and discounts for future purchases.

Reviews for HECTD4 Antibody (NBP2-75411) (0)

There are no reviews for HECTD4 Antibody (NBP2-75411). By submitting a review you will receive an Amazon e-Gift Card or Novus Product Discount.
  • Review with no image -- $10/€7/£6/$10 CAD/¥70 Yuan/¥1110 Yen
  • Review with an image -- $25/€18/£15/$25 CAD/¥150 Yuan/¥2500 Yen

Product General Protocols

Find general support by application which include: protocols, troubleshooting, illustrated assays, videos and webinars.

Video Protocols

WB Video Protocol
ICC/IF Video Protocol

FAQs for HECTD4 Antibody (NBP2-75411) (0)

There are no specific FAQs related to this product. Read our general customer & technical service FAQs.

Contact Information

Product PDFs

Calculators

Concentration Calculator

The concentration calculator allows you to quickly calculate the volume, mass or concentration of your vial. Simply enter your mass, volume, or concentration values for your reagent and the calculator will determine the rest.

=
÷

Review this Product

Be the first to review our HECTD4 Antibody (A2-F5-F10) and receive a gift card or discount.

Bioinformatics

Gene Symbol HECTD4