Guanylin Antibody - BSA Free

Images

 
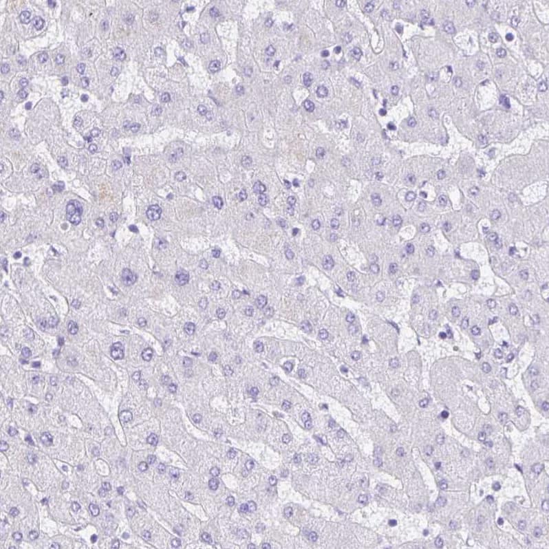
Orthogonal Strategies: Analysis in human small intestine and liver tissues using NBP1-89724 antibody. Corresponding GUCA2A RNA-seq data are presented for the same tissues.
Staining of human small intestine shows strong cytoplasmic positivity in Paneth cells.
Staining of human liver shows no cytoplasmic positivity in hepatocytes as expected.
Staining of human stomach shows no cytoplasmic positivity in glandular cells as expected.
Staining of human pancreas shows no cytoplasmic positivity in exocrine glandular cells as expected.
Analysis in control (vector only transfected HEK293T lysate) and gUCA2A over-expression lysate (Co-expressed with a C-terminal myc-DDK tag (~3.1 kDa) in mammalian HEK293T cells).

Product Details

Summary
Reactivity HuSpecies Glossary
Applications WB, IHC
Clonality
Polyclonal
Host
Rabbit
Conjugate
Unconjugated
Format
BSA Free
Validated by:
       

Orthogonal Strategies

 

Order Details

Guanylin Antibody - BSA Free Summary

Description
Novus Biologicals Rabbit Guanylin Antibody - BSA Free (NBP1-89724) is a polyclonal antibody validated for use in IHC and WB. Anti-Guanylin Antibody: Cited in 2 publications. All Novus Biologicals antibodies are covered by our 100% guarantee.
Immunogen
This antibody was developed against Recombinant Protein corresponding to amino acids: SLESVKKLKDLQEPQEPRVGKLRNFAPIPGEPVVPILCSNPNFPEELKPLCKEPNAQEILQRLEEIAEDPGTCEICAYAACTGC
Isotype
IgG
Clonality
Polyclonal
Host
Rabbit
Gene
GUCA2A
Purity
Affinity purified
Innovator's Reward
Test in a species/application not listed above to receive a full credit towards a future purchase.

Applications/Dilutions

Dilutions
  • Immunohistochemistry 1:1000 - 1:2500
  • Immunohistochemistry-Paraffin 1:1000 - 1:2500
  • Western Blot 0.04-0.4 ug/ml
Application Notes
For IHC-Paraffin, HIER pH 6 retrieval is recommended.
Control Peptide
Guanylin Protein (NBP1-89724PEP)
Publications
Read Publications using
NBP1-89724 in the following applications:

Reactivity Notes

Human reactivity reported in scientific literature (PMID: 25304930).

Packaging, Storage & Formulations

Storage
Store at 4C short term. Aliquot and store at -20C long term. Avoid freeze-thaw cycles.
Buffer
PBS (pH 7.2) and 40% Glycerol
Preservative
0.02% Sodium Azide
Purity
Affinity purified

Alternate Names for Guanylin Antibody - BSA Free

  • GCAP-I
  • guanylate cyclase activator 2A (guanylin)
  • Guanylate cyclase activator 2A
  • Guanylate cyclase-activating protein 1
  • Guanylate cyclase-activating protein I
  • guanylin
  • GUCA2guanylate cyclase activator 2A (guanylin 2, intestinal, heat-stable)
  • STARA

Background

Endogenous activator of intestinal guanylate cyclase. It stimulates this enzyme through the same receptorbinding region as the heat-stable enterotoxins

Limitations

This product is for research use only and is not approved for use in humans or in clinical diagnosis. Primary Antibodies are guaranteed for 1 year from date of receipt.

Customers Who Viewed This Item Also Viewed...

NBP1-81788
Species: Hu
Applications: IHC,  IHC-P
NBP3-45631
Species: Hu, Mu, Rt
Applications: ELISA, ICC/IF, IHC, WB
NBP1-31333
Species: Hu, Mu, Rb, Rt
Applications: WB
AF3366
Species: Hu
Applications: ICC, IHC, Simple Western, WB
NBP3-12239
Species: Hu, Mu, Rt
Applications: ELISA, ICC/IF, IHC,  IHC-P, IP, WB
NBP2-55158
Species: Hu, Pm
Applications: IHC, IHC-Fr,  IHC-P
NBP3-46892
Species: Hu, Mu, Rt
Applications: ELISA, ICC/IF, IHC, WB
NBP2-46349
Species: Hu
Applications: IHC,  IHC-P, WB
NBP2-46617
Species: Hu, Mu, Rt
Applications: ICC/IF, IHC,  IHC-P, WB
NBP2-02521
Species: Hu, Mu, Rt
Applications: ICC/IF, IHC,  IHC-P, WB
NBP2-46201
Species: Hu
Applications: IHC,  IHC-P, WB
MAB4375
Species: Hu, Mu, Rt
Applications: IHC
NBP2-37447
Species: Hu
Applications: CyTOF-ready, ELISA, Flow, ICC/IF, IHC,  IHC-P
NBP2-58895
Species: Hu
Applications: IHC,  IHC-P
H00006532-D01P
Species: Hu, Mu
Applications: WB

Publications for Guanylin Antibody (NBP1-89724)(2)

We have publications tested in 1 confirmed species: Human.

We have publications tested in 1 application: IF/IHC.


Filter By Application
IF/IHC
(2)
All Applications
Filter By Species
Human
(2)
All Species

Reviews for Guanylin Antibody (NBP1-89724) (0)

There are no reviews for Guanylin Antibody (NBP1-89724). By submitting a review you will receive an Amazon e-Gift Card or Novus Product Discount.
  • Review with no image -- $10/€7/£6/$10 CAD/¥70 Yuan/¥1110 Yen
  • Review with an image -- $25/€18/£15/$25 CAD/¥150 Yuan/¥2500 Yen

Product General Protocols

Find general support by application which include: protocols, troubleshooting, illustrated assays, videos and webinars.

Video Protocols

WB Video Protocol

FAQs for Guanylin Antibody (NBP1-89724) (0)

There are no specific FAQs related to this product. Read our general customer & technical service FAQs.

Secondary Antibodies

 

Isotype Controls

Additional Guanylin Products

Research Areas for Guanylin Antibody (NBP1-89724)

Find related products by research area.

Blogs on Guanylin

There are no specific blogs for Guanylin, but you can read our latest blog posts.

Customers Who Bought This Also Bought

Contact Information

Product PDFs

Calculators

Concentration Calculator

The concentration calculator allows you to quickly calculate the volume, mass or concentration of your vial. Simply enter your mass, volume, or concentration values for your reagent and the calculator will determine the rest.

=
÷

Review this Product

Be the first to review our Guanylin Antibody - BSA Free and receive a gift card or discount.

Bioinformatics

Gene Symbol GUCA2A