GPR52 Antibody

Images

 
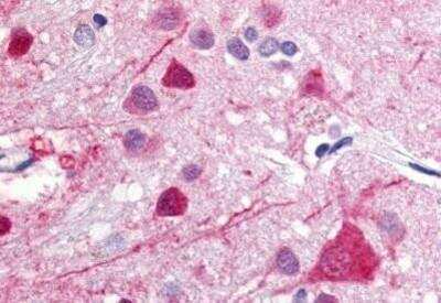
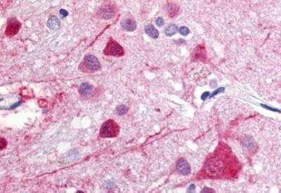
Immunohistochemistry-Paraffin: GPR52 Antibody [NB100-58996] - Analysis of anti-GPR52 antibody with human brain at concentration 2.5 ug/ml.

Product Details

Summary
Product Discontinued
View other related GPR52 Primary Antibodies

Order Details


    • Catalog Number
      NB100-58996
    • Availability
      Product Discontinued

    Can't find what you are looking for? Use our Antibody Concierge Service & we will help you locate your antibody!

    Or feel free to contact us for alternative products.

GPR52 Antibody Summary

Immunogen
Synthetic 20 amino acid peptide from 3rd cytoplasmic domain of human GPR52.
Epitope
3rd cytoplasmic domain of human
Specificity
Human GPR52. BLAST analysis of the peptide immunogen showed no homology with other human proteins.
Predicted Species
Mouse (95%), Rabbit (95%), Primate (100%). Backed by our 100% Guarantee.
Isotype
IgG
Clonality
Polyclonal
Host
Rabbit
Gene
GPR52
Purity
Immunogen affinity purified
Innovator's Reward
Test in a species/application not listed above to receive a full credit towards a future purchase.

Applications/Dilutions

Dilutions
  • ELISA 1:100 - 1:2000
  • Immunohistochemistry
  • Immunohistochemistry-Paraffin 25 ug/ml
Application Notes
IHC: NB100-58996 was validated for use in immunohistochemistry on a panel of 21 formalin-fixed, paraffin-embedded (FFPE) human tissues after heat induced antigen retrieval in pH 6.0 citrate buffer. After incubation with the primary antibody, slides were incubated with biotinylated secondary antibody, followed by alkaline phosphatase-streptavidin and chromogen. The stained slides were evaluated by a pathologist to confirm staining specificity.

Reactivity Notes

Predicted cross-reactivity based on sequence identity: Gorilla (100%), Gibbon (100%), Bat (80%), Bovine (80%), Porcine (80%), Chicken (80%).

Packaging, Storage & Formulations

Storage
Store at 4C short term. Aliquot and store at -20C long term. Avoid freeze-thaw cycles.
Buffer
PBS
Preservative
0.1% Sodium Azide
Concentration
1.0 mg/ml
Purity
Immunogen affinity purified

Alternate Names for GPR52 Antibody

  • G protein-coupled receptor 52
  • GPR52
  • MGC111751
  • probable G-protein coupled receptor 52

Background

GPR52 is an Orphan-A GPCR with an unknown ligand. It has been identified from the high-throughput genome (HTG) database and subsequently cloned. It is localized to human chromosome 1. Members of the GPCR superfamily participate in a variety of physiological functions and are major targets of pharmaceutical drugs.

Limitations

This product is for research use only and is not approved for use in humans or in clinical diagnosis. Primary Antibodies are guaranteed for 1 year from date of receipt.

Customers Who Viewed This Item Also Viewed...

NLS418
Species: Hu
Applications: IHC,  IHC-P
NB110-55498
Species: Ca, Hu
Applications: IHC, IHC-Fr,  IHC-P, WB
NBP1-86564
Species: Hu
Applications: ICC/IF, IHC,  IHC-P
NLS850
Species: Hu
Applications: IHC,  IHC-P
MAB194
Species: Hu, Mu
Applications: CyTOF-ready, Flow, ICC, WB
NBP1-89917
Species: Hu
Applications: ICC/IF, IHC,  IHC-P, WB
NBP1-78444
Species: Hu, Mu, Pm, Rb, Rt
Applications: ICC/IF, IHC,  IHC-P, Simple Western, WB
NBP2-24640
Species: Hu, Mu
Applications: ICC/IF, IHC,  IHC-P, WB
MAB1567
Species: Hu
Applications: CyTOF-reported, Flow
MAB8458
Species: Hu
Applications: CyTOF-ready, Flow, ICC
NBP1-78403
Species: Hu
Applications: ICC/IF, WB
AF3166
Species: Hu
Applications: IHC, Simple Western, WB
NLS2756
Species: Hu, Pm
Applications: ICC, IHC,  IHC-P
MAB3648
Species: Hu
Applications: CyTOF-ready, Flow, Neut
NLS1017
Species: Bt, Bv, Ca, Eq, Hu, Mu
Applications: IHC,  IHC-P
NB100-58996
Species: Hu, Mu, Pm, Rb
Applications: ELISA, IHC

Publications for GPR52 Antibody (NB100-58996) (0)

There are no publications for GPR52 Antibody (NB100-58996).
By submitting your publication information earn gift cards and discounts for future purchases.

Reviews for GPR52 Antibody (NB100-58996) (0)

There are no reviews for GPR52 Antibody (NB100-58996). By submitting a review you will receive an Amazon e-Gift Card or Novus Product Discount.
  • Review with no image -- $10/€7/£6/$10 CAD/¥70 Yuan/¥1110 Yen
  • Review with an image -- $25/€18/£15/$25 CAD/¥150 Yuan/¥2500 Yen

Product General Protocols

Find general support by application which include: protocols, troubleshooting, illustrated assays, videos and webinars.

FAQs for GPR52 Antibody (NB100-58996) (0)

There are no specific FAQs related to this product. Read our general customer & technical service FAQs.

Secondary Antibodies

 

Isotype Controls

Additional GPR52 Products

Array NB100-58996

Research Areas for GPR52 Antibody (NB100-58996)

Find related products by research area.

Blogs on GPR52

There are no specific blogs for GPR52, but you can read our latest blog posts.

Contact Information

Product PDFs

Calculators

Concentration Calculator

The concentration calculator allows you to quickly calculate the volume, mass or concentration of your vial. Simply enter your mass, volume, or concentration values for your reagent and the calculator will determine the rest.

=
÷

Review this Product

Be the first to review our GPR52 Antibody and receive a gift card or discount.

Bioinformatics

Gene Symbol GPR52
Entrez