GPR3 Antibody

Images

 
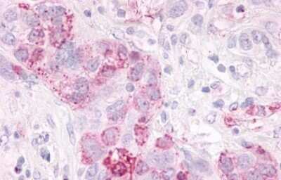
Immunohistochemistry-Paraffin: GPR3 Antibody [NLS120] - Anti-GPR3 antibody IHC of human Ovary, Carcinoma. Immunohistochemistry of formalin-fixed, paraffin-embedded tissue after heat-induced antigen retrieval.
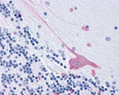
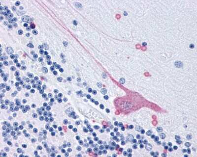
Immunohistochemistry-Paraffin: GPR3 Antibody [NLS120] - Analysis of anti-GPR3 antibody with human brain at 6 ug/ml.

Product Details

Summary
Product Discontinued
View other related GPR3 Primary Antibodies

Order Details


    • Catalog Number
      NLS120
    • Availability
      Product Discontinued

    Can't find what you are looking for? Use our Antibody Concierge Service & we will help you locate your antibody!

    Or feel free to contact us for alternative products.

GPR3 Antibody Summary

Immunogen
Synthetic 15 amino acid peptide from 1st extracellular domain of human GPR3.
Localization
Integral membrane protein.
Specificity
Human GPR3. BLAST analysis of the peptide immunogen showed no homology with other human proteins, except SPPL2A (60%).
Predicted Species
Bovine (93%), Monkey (93%), Primate (93%), Equine (93%). Backed by our 100% Guarantee.
Isotype
IgG
Clonality
Polyclonal
Host
Rabbit
Gene
GPR3
Purity
Immunogen affinity purified
Innovator's Reward
Test in a species/application not listed above to receive a full credit towards a future purchase.

Applications/Dilutions

Dilutions
  • Immunohistochemistry
  • Immunohistochemistry-Paraffin 6 ug/ml

Reactivity Notes

Predicted cross-reactivity based on sequence identity: Gorilla (100%), Marmoset (100%), Gibbon (93%), Mouse (87%), Rat (87%), Rabbit (87%).

Packaging, Storage & Formulations

Storage
Store at 4C short term. Aliquot and store at -20C long term. Avoid freeze-thaw cycles.
Buffer
PBS
Preservative
0.1% Sodium Azide
Concentration
1.0 mg/ml
Purity
Immunogen affinity purified

Alternate Names for GPR3 Antibody

  • ACCA
  • G protein-coupled receptor 3
  • GPR3

Background

GPR3 has been identified as a constitutively active lysophospholipid/lysosphingolipid receptor. GPR3 has been reported at low abundance predominantly in the central nervous system and in the lung and kidney (Iismaa et al., 1994). ESTs have been isolated from brain and colon libraries.

Limitations

This product is for research use only and is not approved for use in humans or in clinical diagnosis. Primary Antibodies are guaranteed for 1 year from date of receipt.

Customers Who Viewed This Item Also Viewed...

MAB6738
Species: Hu
Applications: Flow, IHC
NB100-524
Species: Hu, Mu
Applications: Flow-IC, Flow, ICC/IF, IHC, IHC-Fr,  IHC-P, IP, WB
MAB6898
Species: Hu, Mu
Applications: WB
NBP1-90274
Species: Hu
Applications: IHC,  IHC-P, WB
NB100-91662
Species: Hu, Mu, Rt
Applications: Flow, ICC/IF, IHC,  IHC-P, Simple Western, WB
NB110-41404
Species: Bv, Hu, Mu, Rt
Applications: ICC/IF, IHC, WB
NBP3-14361
Species: Hu
Applications: IHC,  IHC-P
NBP2-38403
Species: Hu
Applications: ICC/IF, IHC,  IHC-P, WB
NBP3-05161
Species: Hu, Mu
Applications: ELISA, ICC/IF, IHC,  IHC-P, WB
NB100-56566
Species: Bv, Hu, Ma, Mu, Po, Rt
Applications: B/N, ChIP, CyTOF-ready, DB, Dual ISH-IHC, ELISA(Cap), ELISA, Flow-CS, Flow-IC, Flow, ICC/IF, IHC, IHC-Fr,  IHC-P, In vitro, KD, KO, PAGE, Simple Western, WB
NB100-56152
Species: Hu
Applications: ICC/IF, IHC,  IHC-P, IP, WB
NBP2-38770
Species: Hu, Mu
Applications:  IHC-P, WB
NBP1-32728
Species: Hu, Mu, Rt
Applications: ICC/IF, IHC,  IHC-P, IP, WB
NLS418
Species: Hu
Applications: IHC,  IHC-P
NLS2756
Species: Hu, Pm
Applications: ICC, IHC,  IHC-P
NB100-56181
Species: Hu
Applications: IHC,  IHC-P, IP, WB
MAB8458
Species: Hu
Applications: CyTOF-ready, Flow, ICC
NLS1017
Species: Bt, Bv, Ca, Eq, Hu, Mu
Applications: IHC,  IHC-P

Publications for GPR3 Antibody (NLS120) (0)

There are no publications for GPR3 Antibody (NLS120).
By submitting your publication information earn gift cards and discounts for future purchases.

Reviews for GPR3 Antibody (NLS120) (0)

There are no reviews for GPR3 Antibody (NLS120). By submitting a review you will receive an Amazon e-Gift Card or Novus Product Discount.
  • Review with no image -- $10/€7/£6/$10 CAD/¥70 Yuan/¥1110 Yen
  • Review with an image -- $25/€18/£15/$25 CAD/¥150 Yuan/¥2500 Yen

Product General Protocols

View specific protocols for GPR3 Antibody (NLS120): Find general support by application which include: protocols, troubleshooting, illustrated assays, videos and webinars.

FAQs for GPR3 Antibody (NLS120) (0)

There are no specific FAQs related to this product. Read our general customer & technical service FAQs.

Secondary Antibodies

 

Isotype Controls

Additional GPR3 Products

Research Areas for GPR3 Antibody (NLS120)

Find related products by research area.

Blogs on GPR3

There are no specific blogs for GPR3, but you can read our latest blog posts.

Contact Information

Product PDFs

Calculators

Concentration Calculator

The concentration calculator allows you to quickly calculate the volume, mass or concentration of your vial. Simply enter your mass, volume, or concentration values for your reagent and the calculator will determine the rest.

=
÷

Review this Product

Be the first to review our GPR3 Antibody and receive a gift card or discount.

Bioinformatics

Gene Symbol GPR3
Entrez