GPR153 Antibody

Images

 
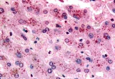
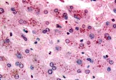
Immunohistochemistry-Paraffin: GPR153 Antibody [NBP1-02392] - Staining of human liver. Immunohistochemistry of formalin-fixed, paraffin-embedded tissue after heat-induced antigen retrieval. Antibody concentration 17 ...read more

Product Details

Summary
Product Discontinued
View other related GPR153 Primary Antibodies

Order Details


    • Catalog Number
      NBP1-02392
    • Availability
      Product Discontinued

    Can't find what you are looking for? Use our Antibody Concierge Service & we will help you locate your antibody!

    Or feel free to contact us for alternative products.

GPR153 Antibody Summary

Immunogen
Synthetic 16 amino acid peptide from C-terminal cytoplasmic domain of human GPR153.
Specificity
Human GPR153. BLAST analysis of the peptide immunogen showed no homology with other human proteins, except PCDHGA2 (56%), PCDHGA4 (50%).
Predicted Species
Rat (94%). Backed by our 100% Guarantee.
Isotype
IgG
Clonality
Polyclonal
Host
Rabbit
Gene
GPR153
Purity
Immunogen affinity purified
Innovator's Reward
Test in a species/application not listed above to receive a full credit towards a future purchase.

Applications/Dilutions

Dilutions
  • ELISA
  • Immunohistochemistry 1:10 - 1:500
  • Immunohistochemistry-Paraffin 34 ug/ml
Application Notes
IHC: NBP1-02392 was validated for use in immunohistochemistry on a panel of 21 formalin-fixed, paraffin-embedded (FFPE) human tissues after heat induced antigen retrieval in pH 6.0 citrate buffer. After incubation with the primary antibody, slides were incubated with biotinylated secondary antibody, followed by alkaline phosphatase-streptavidin and chromogen. The stained slides were evaluated by a pathologist to confirm staining specificity.

Reactivity Notes

Predicted cross-reactivity based on seqeunce identity: Marmoset (88%), Mouse (88%), Bovine (88%), Hamster (88%), Elephant (88%), Bat (81%), Canine (81%), Porcine (81%).

Packaging, Storage & Formulations

Storage
Store at 4C short term. Aliquot and store at -20C long term. Avoid freeze-thaw cycles.
Buffer
PBS
Preservative
0.1% Sodium Azide
Concentration
1.0 mg/ml
Purity
Immunogen affinity purified

Alternate Names for GPR153 Antibody

  • DKFZp762B2210
  • G protein-coupled receptor 153
  • GPR153
  • PGR1
  • PGR1G-protein coupled receptor PGR1
  • probable G-protein coupled receptor 153

Background

GPR153 is an Orphan-U GPCR with an unknown ligand.

Limitations

This product is for research use only and is not approved for use in humans or in clinical diagnosis. Primary Antibodies are guaranteed for 1 year from date of receipt.

Customers Who Viewed This Item Also Viewed...

NBP2-16684
Species: Hu, Mu, Rt
Applications: EM, IHC,  IHC-P, WB
664-LI
Species: Hu
Applications: BA
NBP2-33740
Species: Hu
Applications: ICC/IF, IHC,  IHC-P, WB
NB110-57150
Species: Hu, Mu, Rt
Applications: IHC,  IHC-P, WB
AF2009
Species: Hu
Applications: ICC, IHC
NBP1-88220
Species: Hu, Mu, Rt
Applications: ICC/IF, IHC,  IHC-P, KD, WB
NBP2-67605
Species: Hu, Pm, Mu
Applications: ICC/IF, IHC,  IHC-P, IP, ISH, WB
NBP2-24763
Species: Hu, Pm
Applications: IHC,  IHC-P, WB
MAB2772
Species: Hu, Pm
Applications: Block, CyTOF-ready, ELISA(Cap), ELISA(Det), ELISA(Sta), Flow, ICC
NBP3-20223
Species: Hu
Applications: ICC/IF, IP, WB
NBP2-31564
Species: Hu
Applications: IHC,  IHC-P, WB
NBP1-83790
Species: Hu
Applications: IHC,  IHC-P, WB
AF3398
Species: Hu, Mu, Rt
Applications: ICC, KO, Simple Western, WB
NB300-731
Species: Gp, Hu, Mu, Rb, Rt, Sh, Ye
Applications: B/N, ChIP, Flow, GS, ICC/IF, IHC,  IHC-P, IP, WB
NBP1-59008
Species: Hu, Mu
Applications: IHC,  IHC-P, WB
7268-CT
Species: Hu
Applications: BA
MAB9350
Species: Hu
Applications: IHC,  IHC-P, WB
8457-AS
Species: Hu
Applications: EnzAct
AF4885
Species: Mu
Applications: IP, WB
NBP1-02392
Species: Hu, Pm, Rt
Applications: ELISA, IHC

Publications for GPR153 Antibody (NBP1-02392) (0)

There are no publications for GPR153 Antibody (NBP1-02392).
By submitting your publication information earn gift cards and discounts for future purchases.

Reviews for GPR153 Antibody (NBP1-02392) (0)

There are no reviews for GPR153 Antibody (NBP1-02392). By submitting a review you will receive an Amazon e-Gift Card or Novus Product Discount.
  • Review with no image -- $10/€7/£6/$10 CAD/¥70 Yuan/¥1110 Yen
  • Review with an image -- $25/€18/£15/$25 CAD/¥150 Yuan/¥2500 Yen

Product General Protocols

Find general support by application which include: protocols, troubleshooting, illustrated assays, videos and webinars.

FAQs for GPR153 Antibody (NBP1-02392) (0)

There are no specific FAQs related to this product. Read our general customer & technical service FAQs.

Secondary Antibodies

 

Isotype Controls

Additional GPR153 Products

Research Areas for GPR153 Antibody (NBP1-02392)

Find related products by research area.

Blogs on GPR153

There are no specific blogs for GPR153, but you can read our latest blog posts.

Contact Information

Product PDFs

Calculators

Concentration Calculator

The concentration calculator allows you to quickly calculate the volume, mass or concentration of your vial. Simply enter your mass, volume, or concentration values for your reagent and the calculator will determine the rest.

=
÷

Review this Product

Be the first to review our GPR153 Antibody and receive a gift card or discount.

Bioinformatics

Gene Symbol GPR153
Uniprot