Glutathione Peroxidase 5 Antibody (5A1)

Images

 
Western Blot: Glutathione Peroxidase 5 Antibody (5A1) [NBP2-75512] - Analysis of GPX5 on mouse testis tissue lysate using anti-GPX5 antibody at 1/500 dilution.
Immunocytochemistry/ Immunofluorescence: Glutathione Peroxidase 5 Antibody (5A1) [NBP2-75512] - Staining GPX5 (green) in Hela cells. The nuclear counter stain is DAPI (blue). Cells were fixed in paraformaldehyde, ...read more
Immunohistochemistry-Paraffin: Glutathione Peroxidase 5 Antibody (5A1) [NBP2-75512] - Analysis of paraffin-embedded mouse testis tissue using anti-GPX5 antibody. Counter stained with hematoxylin.
Western Blot: Glutathione Peroxidase 5 Antibody (5A1) [NBP2-75512] - Analysis of GPX5 on human sperm tissue lysate using anti-GPX5 antibody at 1/5,000 dilution.
Immunocytochemistry/ Immunofluorescence: Glutathione Peroxidase 5 Antibody (5A1) [NBP2-75512] - Staining GPX5 (green) in 293T cells. The nuclear counter stain is DAPI (blue). Cells were fixed in paraformaldehyde, ...read more
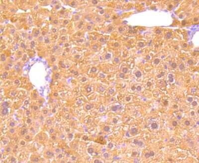
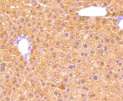
Immunohistochemistry-Paraffin: Glutathione Peroxidase 5 Antibody (5A1) [NBP2-75512] - Analysis of paraffin-embedded human liver tissue using anti-GPX5 antibody. Counter stained with hematoxylin.
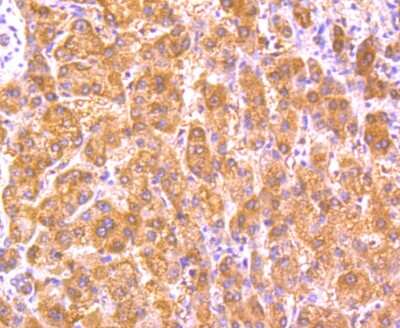
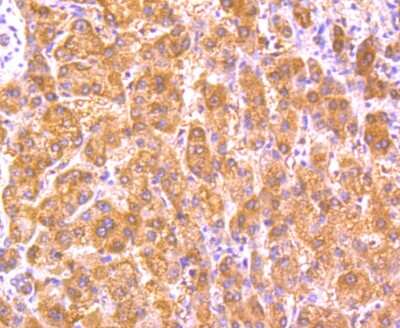
Immunohistochemistry-Paraffin: Glutathione Peroxidase 5 Antibody (5A1) [NBP2-75512] - Analysis of paraffin-embedded mouse liver tissue using anti-GPX5 antibody. Counter stained with hematoxylin.

Product Details

Summary
Product Discontinued
View other related Glutathione Peroxidase 5 Primary Antibodies

Order Details


    • Catalog Number
      NBP2-75512
    • Availability
      Product Discontinued

    Can't find what you are looking for? Use our Antibody Concierge Service & we will help you locate your antibody!

    Or feel free to contact us for alternative products.

Glutathione Peroxidase 5 Antibody (5A1) Summary

Immunogen
Synthetic peptide within Human Glutathione Peroxidase 5 aa 85-134 / 221. (SwissProt: O75715 Human; SwissProt: P21765 Mouse)
Localization
Secreted
Isotype
IgG1
Clonality
Monoclonal
Host
Mouse
Gene
GPX5
Purity
Immunogen affinity purified
Innovator's Reward
Test in a species/application not listed above to receive a full credit towards a future purchase.

Applications/Dilutions

Dilutions
  • Immunocytochemistry/ Immunofluorescence 1:50-1:200
  • Immunohistochemistry
  • Immunohistochemistry-Paraffin 1:50-1:200
  • Western Blot 1:500-1:2000
Theoretical MW
22 kDa.
Disclaimer note: The observed molecular weight of the protein may vary from the listed predicted molecular weight due to post translational modifications, post translation cleavages, relative charges, and other experimental factors.

Reactivity Notes

Mouse blocking reagent may be needed for IHC and ICC experiments to reduce high background signal. You can find these reagents under catalog numbers PK-2200-NB and MP-2400-NB. Please contact Technical Support if you have any. Please note that this antibody is reactive to Mouse and derived from the same host, Mouse. Mouse-On-questions.

Packaging, Storage & Formulations

Storage
Store at 4C short term. Aliquot and store at -20C long term. Avoid freeze-thaw cycles.
Buffer
PBS (pH7.4), 0.2% BSA, 50% Glycerol
Preservative
0.05% Sodium Azide
Concentration
2 mg/ml
Purity
Immunogen affinity purified

Alternate Names for Glutathione Peroxidase 5 Antibody (5A1)

  • EC 1.11.1
  • EC 1.11.1.9
  • EGLP
  • epididymal androgen-related protein
  • epididymal secretory glutathione peroxidase
  • Epididymis-specific glutathione peroxidase-like protein
  • glutathione peroxidase 5 (epididymal androgen-related protein)
  • Glutathione peroxidase 5
  • GPx-5
  • GSHPx-5

Background

Glutathione peroxidase (GPX)/glutathione reductase is part of the hydrogen peroxide scavenging system found within the epididymis in the mammalian male reproductive tract. GPX5 expression is epididymis-specific and the transcript is unique from other GPXs because it contains a deletion resulting in an mRNA that does not contain a selenocysteine (UGA) codon (an unusual amino acid present in other GPXs). This deletion also renders the mRNA incapable of encoding an active GPX isoenzyme. For this reason, GPX5 is selenium-independent and has very little activity towards hydrogen peroxide or organic hydroperoxides. GPX5, which is bound to the acrosome of sperm, may act to protect sperm from premature acrosome reaction in the epididymis. [provided by RefSeq]

Limitations

This product is for research use only and is not approved for use in humans or in clinical diagnosis. Primary Antibodies are guaranteed for 1 year from date of receipt.

Customers Who Viewed This Item Also Viewed...

NBP3-41832
Species: Mu, Rt
Applications: IHC,  IHC-P, WB
AF3398
Species: Hu, Mu, Rt
Applications: ICC, KO, Simple Western, WB
AF4199
Species: Hu, Mu, Rt
Applications: IHC, Simple Western, WB
NBP2-24915
Species: Bv, Hu, Mu, Rt
Applications: IHC,  IHC-P, WB
NBP1-32870
Species: Ch, Hu
Applications: IHC,  IHC-P, IP, KD, WB
AF3798
Species: Hu, Mu, Rt
Applications: IHC, KO, Simple Western, WB
MAB5457
Species: Hu, Mu, Rt
Applications: WB
NB100-344
Species: Hu
Applications: IHC,  IHC-P, WB
NBP1-86616
Species: Hu
Applications: IHC,  IHC-P, WB
AF4817
Species: Mu
Applications: Simple Western, WB
NBP3-32740
Species: Hu, Mu, Rt
Applications: Flow, ICC/IF, IHC,  IHC-P, IP, WB
NBP1-71702
Species: Ch, Hu, Mu
Applications: ChIP, ChIP, ICC/IF, IHC,  IHC-P, IP, Simple Western, WB
NBP2-67471
Species: Hu, Mu, Rt
Applications: ICC/IF, IHC,  IHC-P, WB
NBP2-45626
Species: Hu
Applications: ICC/IF, IHC,  IHC-P, WB
NBP1-32002
Species: Hu, Mu, Rt
Applications: ICC/IF, IHC,  IHC-P, IP, WB
MAB4675
Species: Mu
Applications: IHC, Neut, WB
AF231
Species: Hu
Applications: CyTOF-ready, Dual ISH-IHC, ELISA(Cap), ELISA(Det), ELISA(Sta), Flow, ICC, IHC, IP, Simple Western, WB
NBP3-35390
Species: Hu, Mu, Rt
Applications: ELISA, ICC/IF, IHC,  IHC-P, WB

Publications for Glutathione Peroxidase 5 Antibody (NBP2-75512) (0)

There are no publications for Glutathione Peroxidase 5 Antibody (NBP2-75512).
By submitting your publication information earn gift cards and discounts for future purchases.

Reviews for Glutathione Peroxidase 5 Antibody (NBP2-75512) (0)

There are no reviews for Glutathione Peroxidase 5 Antibody (NBP2-75512). By submitting a review you will receive an Amazon e-Gift Card or Novus Product Discount.
  • Review with no image -- $10/€7/£6/$10 CAD/¥70 Yuan/¥1110 Yen
  • Review with an image -- $25/€18/£15/$25 CAD/¥150 Yuan/¥2500 Yen

Product General Protocols

Find general support by application which include: protocols, troubleshooting, illustrated assays, videos and webinars.

Video Protocols

WB Video Protocol
ICC/IF Video Protocol

FAQs for Glutathione Peroxidase 5 Antibody (NBP2-75512) (0)

There are no specific FAQs related to this product. Read our general customer & technical service FAQs.

Secondary Antibodies

 

Isotype Controls

Additional Glutathione Peroxidase 5 Products

Blogs on Glutathione Peroxidase 5

There are no specific blogs for Glutathione Peroxidase 5, but you can read our latest blog posts.

Contact Information

Product PDFs

Calculators

Concentration Calculator

The concentration calculator allows you to quickly calculate the volume, mass or concentration of your vial. Simply enter your mass, volume, or concentration values for your reagent and the calculator will determine the rest.

=
÷

Review this Product

Be the first to review our Glutathione Peroxidase 5 Antibody (5A1) and receive a gift card or discount.

Bioinformatics

Gene Symbol GPX5