Glutathione Peroxidase 1/GPX1 Antibody (JF0944)

Images

 
Western Blot: Glutathione Peroxidase 1/GPX1 Antibody (JF0944) [NBP2-66874] - Analysis of Glutathione Peroxidase 1 on THP-1 cells lysates using anti-Glutathione Peroxidase 1 antibody at 1/1,000 dilution.
Immunocytochemistry/ Immunofluorescence: Glutathione Peroxidase 1/GPX1 Antibody (JF0944) [NBP2-66874] - Staining Glutathione Peroxidase 1 in HepG2 cells (green). The nuclear counter stain is DAPI (blue). Cells were ...read more
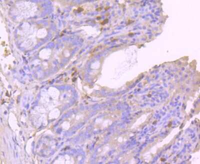
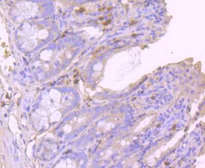
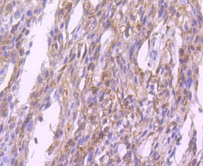
Immunohistochemistry-Paraffin: Glutathione Peroxidase 1/GPX1 Antibody (JF0944) [NBP2-66874] - Analysis of paraffin-embedded mouse colon tissue using anti-Glutathione Peroxidase 1 antibody. Counter stained with ...read more
Immunocytochemistry/ Immunofluorescence: Glutathione Peroxidase 1/GPX1 Antibody (JF0944) [NBP2-66874] - Staining Glutathione Peroxidase 1 in 293 cells (green). The nuclear counter stain is DAPI (blue). Cells were fixed ...read more
Immunocytochemistry/ Immunofluorescence: Glutathione Peroxidase 1/GPX1 Antibody (JF0944) [NBP2-66874] - Staining Glutathione Peroxidase 1 in 293T cells (green). The nuclear counter stain is DAPI (blue). Cells were fixed ...read more
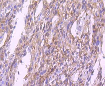
Immunohistochemistry-Paraffin: Glutathione Peroxidase 1/GPX1 Antibody (JF0944) [NBP2-66874] - Analysis of paraffin-embedded human breast carcinoma tissue using anti-Glutathione Peroxidase 1 antibody. Counter stained ...read more
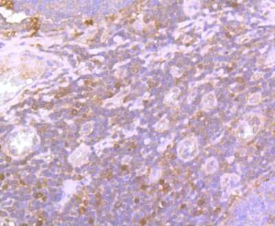
Immunohistochemistry-Paraffin: Glutathione Peroxidase 1/GPX1 Antibody (JF0944) [NBP2-66874] - Analysis of paraffin-embedded human kidney tissue using anti-Glutathione Peroxidase 1 antibody. Counter stained with ...read more
Immunohistochemistry-Paraffin: Glutathione Peroxidase 1/GPX1 Antibody (JF0944) [NBP2-66874] - Analysis of paraffin-embedded human liver tissue using anti-Glutathione Peroxidase 1 antibody. Counter stained with ...read more
Immunohistochemistry-Paraffin: Glutathione Peroxidase 1/GPX1 Antibody (JF0944) [NBP2-66874] - Analysis of paraffin-embedded human tonsil tissue using anti-Glutathione Peroxidase 1 antibody. Counter stained with ...read more

Order Details


    • Catalog Number
      NBP2-66874
    • Availability
      Product Discontinued

    Can't find what you are looking for? Use our Antibody Concierge Service & we will help you locate your antibody!

    Or feel free to contact us for alternative products.

Glutathione Peroxidase 1/GPX1 Antibody (JF0944) Summary

Additional Information
Recombinant Monoclonal Antibody.
Immunogen
Synthetic peptide within Human Glutathione Peroxidase 1/GPX1 aa 1-50 / 203. (SwissProt: P07203 Human; SwissProt: P04041 Rat)
Localization
Cytoplasm.
Isotype
IgG
Clonality
Monoclonal
Host
Rabbit
Gene
GPX1
Purity
Protein A purified
Innovator's Reward
Test in a species/application not listed above to receive a full credit towards a future purchase.

Applications/Dilutions

Dilutions
  • Immunocytochemistry/ Immunofluorescence 1:50-1:200
  • Immunohistochemistry
  • Immunohistochemistry-Paraffin 1:50-1:1000
  • Immunoprecipitation
  • Western Blot 1:1000-1:2000
Publications
Read Publication using NBP2-66874.

Packaging, Storage & Formulations

Storage
Store at 4C short term. Aliquot and store at -20C long term. Avoid freeze-thaw cycles.
Buffer
TBS (pH7.4), 0.05% BSA, 40% Glycerol
Preservative
0.05% Sodium Azide
Concentration
1 mg/ml
Purity
Protein A purified

Alternate Names for Glutathione Peroxidase 1/GPX1 Antibody (JF0944)

  • Cellular glutathione peroxidase
  • CGPx
  • EC 1.11.1
  • EC 1.11.1.9
  • Glutathione Peroxidase 1
  • GPX1
  • GPx-1
  • GSHPX1
  • GSHPx-1
  • MGC14399
  • MGC88245

Background

FUNCTION: Protects the hemoglobin in erythrocytes from oxidative breakdown. CATALYTIC ACTIVITY: 2 glutathione + H2O2 = glutathione disulfide + 2 H2O. SUBUNIT: Homotetramer. SUBCELLULAR LOCATION: Cytoplasm. SIMILARITY: Belongs to the glutathione peroxidase family.

Limitations

This product is for research use only and is not approved for use in humans or in clinical diagnosis. Primary Antibodies are guaranteed for 1 year from date of receipt.

Customers Who Viewed This Item Also Viewed...

AF3398
Species: Hu, Mu, Rt
Applications: ICC, KO, Simple Western, WB
NB100-1992
Species: Bv, Ca, Ch, Dr, Gt, Gp, Ha, Hu, Pm, Mu, Po, Rb, Rt, Sh, Sq, Xp
Applications: ELISA, ICC/IF, IHC,  IHC-P, IP, Simple Western, WB
NBP2-24915
Species: Bv, Hu, Mu, Rt
Applications: IHC,  IHC-P, WB
MAB5457
Species: Hu, Mu, Rt
Applications: WB
AF4199
Species: Hu, Mu, Rt
Applications: IHC, Simple Western, WB
NBP1-86616
Species: Hu
Applications: IHC,  IHC-P, WB
NBP2-58917
Species: Hu
Applications: IHC,  IHC-P, WB
NBP2-16684
Species: Hu, Mu, Rt
Applications: EM, IHC,  IHC-P, WB
NBP1-32002
Species: Hu, Mu, Rt
Applications: ICC/IF, IHC,  IHC-P, IP, WB
MAB7428
Species: Hu, Mu, Rt
Applications: CyTOF-ready, ICFlow, WB
NBP3-32740
Species: Hu, Mu, Rt
Applications: Flow, ICC/IF, IHC,  IHC-P, IP, WB
NBP1-32822
Species: Al, Av, Hu, Mu, Pl, Rt, Ze
Applications: ChIP, Flow, ICC/IF, IHC,  IHC-P, IP, KD, Simple Western, WB
NB200-103
Species: Hu, Mu, Rt, Xp(-), Ye
Applications: CyTOF-ready, ELISA, Flow-IC, Flow, ICC/IF, IHC, IHC-Fr,  IHC-P, IP, WB
NBP2-52983
Species: Hu, Mu
Applications: Flow, ICC/IF, IHC,  IHC-P, WB
NBP2-66874
Species: Hu, Rt
Applications: WB, ICC/IF, IHC, IP

Publications for Glutathione Peroxidase 1/GPX1 Antibody (NBP2-66874)(1)

Reviews for Glutathione Peroxidase 1/GPX1 Antibody (NBP2-66874) (0)

There are no reviews for Glutathione Peroxidase 1/GPX1 Antibody (NBP2-66874). By submitting a review you will receive an Amazon e-Gift Card or Novus Product Discount.
  • Review with no image -- $10/€7/£6/$10 CAD/¥70 Yuan/¥1110 Yen
  • Review with an image -- $25/€18/£15/$25 CAD/¥150 Yuan/¥2500 Yen

Product General Protocols

Find general support by application which include: protocols, troubleshooting, illustrated assays, videos and webinars.

Video Protocols

WB Video Protocol
ICC/IF Video Protocol

FAQs for Glutathione Peroxidase 1/GPX1 Antibody (NBP2-66874) (0)

There are no specific FAQs related to this product. Read our general customer & technical service FAQs.

Secondary Antibodies

 

Isotype Controls

Additional Glutathione Peroxidase 1/GPX1 Products

Research Areas for Glutathione Peroxidase 1/GPX1 Antibody (NBP2-66874)

Find related products by research area.

Blogs on Glutathione Peroxidase 1/GPX1

There are no specific blogs for Glutathione Peroxidase 1/GPX1, but you can read our latest blog posts.

Contact Information

Product PDFs

Calculators

Concentration Calculator

The concentration calculator allows you to quickly calculate the volume, mass or concentration of your vial. Simply enter your mass, volume, or concentration values for your reagent and the calculator will determine the rest.

=
÷

Review this Product

Be the first to review our Glutathione Peroxidase 1/GPX1 Antibody (JF0944) and receive a gift card or discount.

Bioinformatics

Gene Symbol GPX1