gamma Tubulin Antibody (JF0972)

Images

 
Western Blot: gamma Tubulin Antibody (JF0972) [NBP2-66860] - Western blot analysis of gamma Tubulin on different lysates. Proteins were transferred to a PVDF membrane and blocked with 5% BSA in PBS for 1 hour at room ...read more
Immunocytochemistry/ Immunofluorescence: gamma Tubulin Antibody (JF0972) [NBP2-66860] - Staining gamma Tubulin in MCF-7 cells (red). The nuclear counter stain is DAPI (blue). Cells were fixed in paraformaldehyde, ...read more
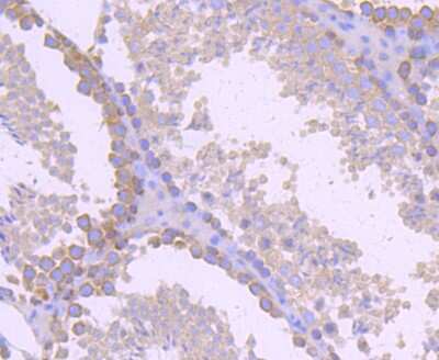
Immunohistochemistry-Paraffin: gamma Tubulin Antibody (JF0972) [NBP2-66860] - Analysis of paraffin-embedded mouse testis tissue using anti-gamma Tubulin antibody. Counter stained with hematoxylin.
Flow Cytometry: gamma Tubulin Antibody (JF0972) [NBP2-66860] - Flow cytometric analysis of gamma Tubulin was done on Jurkat cells. The cells were fixed, permeabilized and stained with the primary antibody (1/50) (red). ...read more
Western Blot: gamma Tubulin Antibody (JF0972) [NBP2-66860] - Analysis of gamma Tubulin on different lysates using anti-gamma Tubulin antibody at 1/1,000 dilution. Positive control: Lane 1: A431 Lane 2: Jurkat Lane 3: ...read more
Immunocytochemistry/ Immunofluorescence: gamma Tubulin Antibody (JF0972) [NBP2-66860] - Staining gamma Tubulin in Hela cells (red). The nuclear counter stain is DAPI (blue). Cells were fixed in paraformaldehyde, ...read more
Immunocytochemistry/ Immunofluorescence: gamma Tubulin Antibody (JF0972) [NBP2-66860] - Staining gamma Tubulin in SHG-44 cells (red). The nuclear counter stain is DAPI (blue). Cells were fixed in paraformaldehyde, ...read more
Immunohistochemistry-Paraffin: gamma Tubulin Antibody (JF0972) [NBP2-66860] - Analysis of paraffin-embedded mouse colon tissue using anti-gamma Tubulin antibody. Counter stained with hematoxylin.
Flow Cytometry: gamma Tubulin Antibody (JF0972) [NBP2-66860] - Analysis of Jurkat cells with gamma Tubulin antibody at 1/50 dilution (red) compared with an unlabelled control (cells without incubation with primary ...read more

Product Details

Summary
Product Discontinued
View other related gamma Tubulin Primary Antibodies

Order Details


    • Catalog Number
      NBP2-66860
    • Availability
      Product Discontinued

    Can't find what you are looking for? Use our Antibody Concierge Service & we will help you locate your antibody!

    Or feel free to contact us for alternative products.

gamma Tubulin Antibody (JF0972) Summary

Additional Information
Recombinant Monoclonal Antibody.
Immunogen
Recombinant protein within Human gamma Tubulin aa 227-407 / 451. (SwissProt: P23258 Human; SwissProt: Q9NRH3 Human; SwissProt: P83887 Mouse; SwissProt: Q8VCK3 Mouse; SwissProt: P83888 Rat; SwissProt: P23330 XenopusLaevis)
Localization
Cytoplasm.
Isotype
IgG
Clonality
Monoclonal
Host
Rabbit
Gene
TUBG1
Purity
Protein A purified
Innovator's Reward
Test in a species/application not listed above to receive a full credit towards a future purchase.

Applications/Dilutions

Dilutions
  • Flow Cytometry 1:50-1:100
  • Immunocytochemistry/ Immunofluorescence 1:50-1:200
  • Immunohistochemistry
  • Immunohistochemistry-Paraffin 1:50-1:200
  • Immunoprecipitation
  • Western Blot 1:500-1:2000

Packaging, Storage & Formulations

Storage
Store at 4C short term. Aliquot and store at -20C long term. Avoid freeze-thaw cycles.
Buffer
TBS (pH7.4), 0.05% BSA, 40% Glycerol
Preservative
0.05% Sodium Azide
Concentration
1 mg/ml
Purity
Protein A purified

Alternate Names for gamma Tubulin Antibody (JF0972)

  • gamma Tubulin
  • Gamma-1-tubulin
  • Gamma-tubulin complex component 1
  • GCP-1
  • TUBG
  • TUBG1
  • TUBGCP1
  • tubulin gamma-1 chain
  • tubulin, gamma 1
  • tubulin, gamma polypeptide

Background

The gamma-tubulin (TUBG1; relative molecular weight about 48 kDa) is a minor member of tubulin family (less that 0.01% of tubulin dimer). The g-tubulin ring structures, however, serve to provide structural primer for initiation of microtubular nucleation and growth, thereby being crutial for microtubule-based cellular processes, above all for mitotic spindle formation. In animal cells, a center of microtubule organization is the centrosome composed of a pair of cylindrical centrioles surrounded by fibrous pericentriolar material containing g-tubulin. Formation of the mitotic spindle is preceded by duplication of centrosome during S phase. Before mitosis, both centrosomes increase their microtubule nucleation capacity and form two microtuble asters that are pushed apart from each other by the forces of motor proteins associated at the microtubule surface.

Limitations

This product is for research use only and is not approved for use in humans or in clinical diagnosis. Primary Antibodies are guaranteed for 1 year from date of receipt.

Customers Who Viewed This Item Also Viewed...

H00027175-M01
Species: Hu
Applications: ELISA, ICC/IF, S-ELISA, WB
MAB333
Species: Hu
Applications: ELISA(Cap), ELISA(Det), ELISA(Sta), Neut, WB
NBP1-81841
Species: Hu
Applications: ICC/IF, IHC,  IHC-P, WB
MAB208
Species: Hu
Applications: CyTOF-ready, ELISA(Cap), ELISA(Det), ELISA(Sta), ICC, ICFlow, Neut, Simple Western, WB
NBP2-13657
Species: Hu
Applications: ICC/IF, IHC,  IHC-P
DY453
Species: Mu
Applications: ELISA
AF1073
Species: Hu
Applications: IHC, WB
NBP1-31330
Species: Hu, Pm, Mu, Rt
Applications: ICC/IF, IHC,  IHC-P, IP, WB
AF2128
Species: Mu
Applications: IHC, WB
AF1286
Species: Hu
Applications: IHC, IP, Simple Western, WB
DIP100
Species: Hu
Applications: ELISA
MAB1195
Species: All-Multi
Applications: ICC, IHC, ICFlow, Simple Western, WB
NB100-793
Species: Hu, Rt
Applications: ICC/IF, IHC,  IHC-P, PEP-ELISA, WB
NBP2-55165
Species: Hu
Applications: ICC/IF, IHC,  IHC-P, WB
DY443
Species: Mu
Applications: ELISA
NBP1-58359
Species: Hu
Applications: IHC,  IHC-P, WB
NBP2-84300
Species: Hu
Applications: IHC,  IHC-P, WB
NBP2-66860
Species: Hu, Mu, Rt, Am, Bv, Ca, Ch, Fi, Ha, Pm, Xp
Applications: WB, Flow, ICC/IF, IHC, IP

Publications for gamma Tubulin Antibody (NBP2-66860) (0)

There are no publications for gamma Tubulin Antibody (NBP2-66860).
By submitting your publication information earn gift cards and discounts for future purchases.

Reviews for gamma Tubulin Antibody (NBP2-66860) (0)

There are no reviews for gamma Tubulin Antibody (NBP2-66860). By submitting a review you will receive an Amazon e-Gift Card or Novus Product Discount.
  • Review with no image -- $10/€7/£6/$10 CAD/¥70 Yuan/¥1110 Yen
  • Review with an image -- $25/€18/£15/$25 CAD/¥150 Yuan/¥2500 Yen

Product General Protocols

Video Protocols

WB Video Protocol
ICC/IF Video Protocol

FAQs for gamma Tubulin Antibody (NBP2-66860) (0)

There are no specific FAQs related to this product. Read our general customer & technical service FAQs.

Secondary Antibodies

 

Isotype Controls

Additional gamma Tubulin Products

Research Areas for gamma Tubulin Antibody (NBP2-66860)

Find related products by research area.

Blogs on gamma Tubulin

There are no specific blogs for gamma Tubulin, but you can read our latest blog posts.

Contact Information

Product PDFs

Calculators

Concentration Calculator

The concentration calculator allows you to quickly calculate the volume, mass or concentration of your vial. Simply enter your mass, volume, or concentration values for your reagent and the calculator will determine the rest.

=
÷

Review this Product

Be the first to review our gamma Tubulin Antibody (JF0972) and receive a gift card or discount.

Bioinformatics

Gene Symbol TUBG1