Frizzled-5 Antibody

Images

 
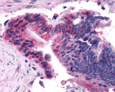
Immunohistochemistry-Paraffin: Frizzled-5 Antibody [NLS4273] - Anti-FZD5 / Frizzled 5 antibody IHC of human pancreas and carcinoma. Immunohistochemistry of formalin-fixed, paraffin-embedded tissue after heat-induced ...read more
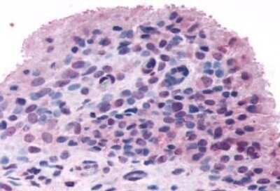
Immunohistochemistry-Paraffin: Frizzled-5 Antibody [NLS4273] - Analysis of anti-FZD5 / Frizzled 5 antibody with human colon, carcinoma.
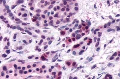
Immunohistochemistry-Paraffin: Frizzled-5 Antibody [NLS4273] - Anti-FZD5 / Frizzled 5 antibody IHC of human synovium, rheumatoid arthritis. Immunohistochemistry of formalin-fixed, paraffin-embedded tissue after ...read more

Product Details

Summary
Product Discontinued
View other related Frizzled-5 Primary Antibodies

Order Details


    • Catalog Number
      NLS4273
    • Availability
      Product Discontinued

    Can't find what you are looking for? Use our Antibody Concierge Service & we will help you locate your antibody!

    Or feel free to contact us for alternative products.

Frizzled-5 Antibody Summary

Immunogen
Synthetic 16 amino acid peptide from N-terminal extracellular domain of human FZD5 / Frizzled 5.
Specificity
Human FZD5 / Frizzled 5. BLAST analysis of the peptide immunogen showed no homology with other human proteins.
Predicted Species
Canine (94%), Rabbit (94%). Backed by our 100% Guarantee.
Isotype
IgG
Clonality
Polyclonal
Host
Rabbit
Gene
FZD5
Purity
Immunogen affinity purified
Innovator's Reward
Test in a species/application not listed above to receive a full credit towards a future purchase.

Applications/Dilutions

Dilutions
  • Immunohistochemistry
  • Immunohistochemistry-Paraffin 19 ug/ml

Reactivity Notes

Predicted cross-reactivity based on sequence identity: Gorilla (100%), Gibbon (100%), Elephant (100%), Marmoset (88%), Bovine (88%), Porcine (88%).

Packaging, Storage & Formulations

Storage
Store at 4C short term. Aliquot and store at -20C long term. Avoid freeze-thaw cycles.
Buffer
PBS
Preservative
0.1% Sodium Azide
Concentration
1.0 mg/ml
Purity
Immunogen affinity purified

Alternate Names for Frizzled-5 Antibody

  • C2orf31
  • chromosome 2 open reading frame 31
  • DKFZP434E2135
  • frizzled (Drosophila) homolog 5
  • frizzled homolog 5 (Drosophila)
  • Frizzled5
  • Frizzled-5
  • Frz-5
  • FZ-5
  • FZD5
  • fzE5
  • HFZ5
  • MGC129692
  • seven-transmembrane receptor frizzled-5
  • Wnt receptor

Background

FZD5 is a Frizzled Receptor that mediates Wnt signaling. FZD5 is associated with limb bud and bone marrow stem cell development. FZD5 contributes to the activated state of fibroblast-like synoviocytes from patients with rheumatoid arthritis. Recently, FZD5 has been implicated in melanoma metastasis through the Wnt5a and PKC pathway. FZD5 has been reported to be expressed in fetal kidney, fetal and adult liver, fetal lung, and adult pancreas. ESTs have been isolated from bone, liver/spleen, placenta, and prostate libraries. FZD5 was cloned from a retina cDNA library.

Limitations

This product is for research use only and is not approved for use in humans or in clinical diagnosis. Primary Antibodies are guaranteed for 1 year from date of receipt.

Customers Who Viewed This Item Also Viewed...

AF1329
Species: Hu, Mu, Rt
Applications: ChIP, CyTOF-ready, ICC, IHC, ICFlow, Simple Western, WB
645-WN
Species: Hu, Mu
Applications: BA
AF198
Species: Mu
Applications: IHC, WB
MAB1505
Species: Hu
Applications: CyTOF-ready, Flow, ICC
AF2440
Species: Mu
Applications: IHC, WB
AF1120
Species: Mu
Applications: IHC, WB
7344-LR
Species: Mu
Applications: BA
MAB194
Species: Hu, Mu
Applications: CyTOF-ready, Flow, ICC, WB
NBP1-20920
Species: Hu, Mu
Applications: ICC/IF, IHC,  IHC-P, PEP-ELISA, WB
5036-WN
Species: Hu
Applications: BA, BA
NBP1-51575
Species: Hu, Mu
Applications: ELISA, Flow, ICC/IF, IHC,  IHC-P, WB
NBP2-23659
Species: Hu, Mu, Pm
Applications: WB
5439-DK
Species: Hu
Applications: BA
AF1001
Species: Mu
Applications: IHC
NBP1-89679
Species: Hu, Mu, Rt
Applications: ChIP-EXO-SEQ, ICC/IF, IHC, IHC-Fr,  IHC-P, WB
NBP2-46367
Species: Hu, Mu, Rt
Applications: IHC,  IHC-P, WB
AF3287
Species: Hu, Mu, Rt
Applications: WB
NB100-2439
Species: Hu, Mu
Applications: ICC/IF, IHC,  IHC-P, PEP-ELISA, WB

Publications for Frizzled-5 Antibody (NLS4273) (0)

There are no publications for Frizzled-5 Antibody (NLS4273).
By submitting your publication information earn gift cards and discounts for future purchases.

Reviews for Frizzled-5 Antibody (NLS4273) (0)

There are no reviews for Frizzled-5 Antibody (NLS4273). By submitting a review you will receive an Amazon e-Gift Card or Novus Product Discount.
  • Review with no image -- $10/€7/£6/$10 CAD/¥70 Yuan/¥1110 Yen
  • Review with an image -- $25/€18/£15/$25 CAD/¥150 Yuan/¥2500 Yen

Product General Protocols

View specific protocols for Frizzled-5 Antibody (NLS4273): Find general support by application which include: protocols, troubleshooting, illustrated assays, videos and webinars.

FAQs for Frizzled-5 Antibody (NLS4273) (0)

There are no specific FAQs related to this product. Read our general customer & technical service FAQs.

Secondary Antibodies

 

Isotype Controls

Additional Frizzled-5 Products

Research Areas for Frizzled-5 Antibody (NLS4273)

Find related products by research area.

Blogs on Frizzled-5

There are no specific blogs for Frizzled-5, but you can read our latest blog posts.

Contact Information

Product PDFs

Calculators

Concentration Calculator

The concentration calculator allows you to quickly calculate the volume, mass or concentration of your vial. Simply enter your mass, volume, or concentration values for your reagent and the calculator will determine the rest.

=
÷

Review this Product

Be the first to review our Frizzled-5 Antibody and receive a gift card or discount.

Bioinformatics

Gene Symbol FZD5
Entrez