FJX1 Antibody

Images

 
Immunocytochemistry/ Immunofluorescence: FJX1 Antibody [NBP2-32442] - Staining of human cell line U-2 OS shows localization to vesicles. Antibody staining is shown in green.
Immunohistochemistry-Paraffin: FJX1 Antibody [NBP2-32442] - Staining of human endometrium shows moderate cytoplasmic positivity in glandular cells.
Immunohistochemistry-Paraffin: FJX1 Antibody [NBP2-32442] - Staining of human skeletal muscle shows no positivity in myocytes.
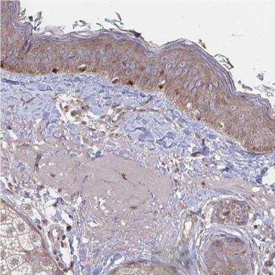
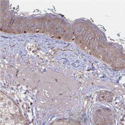
Immunohistochemistry-Paraffin: FJX1 Antibody [NBP2-32442] - Staining of human skin shows strong cytoplasmic positivity in keratinocytes.

Product Details

Summary
Product Discontinued
View other related FJX1 Primary Antibodies

Order Details


    • Catalog Number
      NBP2-32442
    • Availability
      Product Discontinued

    Can't find what you are looking for? Use our Antibody Concierge Service & we will help you locate your antibody!

    Or feel free to contact us for alternative products.

FJX1 Antibody Summary

Immunogen
This antibody was developed against a recombinant protein corresponding to amino acids: LALARVEARGAQWAQVQEELRAAHWTEGSVVSLTRWLPNLTDVVVPAPWRSEDGRLRPLRDAGGELANLSQAELVDLVQWT
Predicted Species
Mouse (95%), Rat (95%). Backed by our 100% Guarantee.
Isotype
IgG
Clonality
Polyclonal
Host
Rabbit
Gene
FJX1
Purity
Immunogen affinity purified
Innovator's Reward
Test in a species/application not listed above to receive a full credit towards a future purchase.

Applications/Dilutions

Dilutions
  • Immunocytochemistry/ Immunofluorescence 0.25-2 ug/ml
  • Immunohistochemistry 1:200 - 1:500
  • Immunohistochemistry-Paraffin 1:200 - 1:500
Application Notes
For IHC-Paraffin, HIER pH 6 retrieval is recommended. ICC/IF Fixation Permeabilization: Use PFA/Triton X-100.
Publications
Read Publication using NBP2-32442.

Packaging, Storage & Formulations

Storage
Store at 4C short term. Aliquot and store at -20C long term. Avoid freeze-thaw cycles.
Buffer
PBS (pH 7.2) and 40% Glycerol
Preservative
0.02% Sodium Azide
Purity
Immunogen affinity purified

Alternate Names for FJX1 Antibody

  • FLJ22416
  • FLJ25593
  • four jointed box 1 (Drosophila)
  • four-jointed box protein 1
  • Four-jointed protein homolog
  • putative secreted ligand homologous to fjx1

Background

The protein encoded by the FJX1 gene is the human ortholog of mouse and Drosophila four-jointed gene product. The Drosophila protein is important for growth and differentiation of legs and wings, and for proper development of the eyes. The exact function of this gene in humans is not known. (provided by RefSeq)

Limitations

This product is for research use only and is not approved for use in humans or in clinical diagnosis. Primary Antibodies are guaranteed for 1 year from date of receipt.

Customers Who Viewed This Item Also Viewed...

AF6278
Species: Hu, Mu
Applications: WB
AF1927
Species: Hu
Applications: IP, WB
AF7164
Species: Hu
Applications: WB
NBP1-78381
Species: Hu, Mu
Applications: ICC/IF, IHC,  IHC-P, KO, WB
NBP1-86687
Species: Hu
Applications: IHC,  IHC-P, WB
NBP1-87964
Species: Hu
Applications: IHC,  IHC-P
DY1857
Species: Mu
Applications: ELISA
MAB6734
Species: Hu
Applications: IHC
NBP1-82648
Species: Hu
Applications: ICC/IF, IHC,  IHC-P, WB
NB110-58358
Species: Ca, Hu, Mu, Rt, Ze
Applications: ChIP, IB, ICC/IF, IHC, IHC-Fr,  IHC-P, IP, KD, KO, Simple Western, WB
H00023682-M02
Species: Hu
Applications: ELISA, S-ELISA, WB
NB300-109
Species: Ch, Dr, Hu, I, Ma, Mu, Rt
Applications: Dual ISH-IHC, ICC/IF, IHC-FrFl, IHC-WhMt, IHC, IHC-Fr,  IHC-P, KO, Simple Western, WB
NBP2-21601
Species: Hu
Applications: ICC/IF, IHC,  IHC-P, WB
NBP3-04509
Species: Hu, Mu, Rt
Applications: ELISA, IHC,  IHC-P, WB
NBP1-84565
Species: Hu
Applications: IHC,  IHC-P
NBP1-89716
Species: Hu
Applications: IHC,  IHC-P, WB
NBP1-81763
Species: Hu
Applications: IHC,  IHC-P, WB
AF3635
Species: Mu
Applications: IHC, WB
NBP2-32442
Species: Hu, Mu, Rt
Applications: ICC/IF, IHC

Publications for FJX1 Antibody (NBP2-32442)(1)

We have publications tested in 1 application: WB.


Filter By Application
WB
(1)
All Applications
Filter By Species
All Species

Reviews for FJX1 Antibody (NBP2-32442) (0)

There are no reviews for FJX1 Antibody (NBP2-32442). By submitting a review you will receive an Amazon e-Gift Card or Novus Product Discount.
  • Review with no image -- $10/€7/£6/$10 CAD/¥70 Yuan/¥1110 Yen
  • Review with an image -- $25/€18/£15/$25 CAD/¥150 Yuan/¥2500 Yen

Product General Protocols

Find general support by application which include: protocols, troubleshooting, illustrated assays, videos and webinars.

Video Protocols

ICC/IF Video Protocol

FAQs for FJX1 Antibody (NBP2-32442) (0)

There are no specific FAQs related to this product. Read our general customer & technical service FAQs.

Secondary Antibodies

 

Isotype Controls

Additional FJX1 Products

Array NBP2-32442

Research Areas for FJX1 Antibody (NBP2-32442)

Find related products by research area.

Blogs on FJX1

There are no specific blogs for FJX1, but you can read our latest blog posts.

Contact Information

Product PDFs

Calculators

Concentration Calculator

The concentration calculator allows you to quickly calculate the volume, mass or concentration of your vial. Simply enter your mass, volume, or concentration values for your reagent and the calculator will determine the rest.

=
÷

Review this Product

Be the first to review our FJX1 Antibody and receive a gift card or discount.

Bioinformatics

Gene Symbol FJX1