FAM83H Antibody - BSA Free

Images

 
Western Blot: FAM83H Antibody [NBP1-93737] - Analysis in human cell line MCF-7.
Western Blot: FAM83H Antibody [NBP1-93737] -Analysis in rat cell line NBT-II.
Immunohistochemistry-Paraffin: FAM83H Antibody [NBP1-93737] - Staining of human stomach shows weak cytoplasmic positivity in glandular cells.
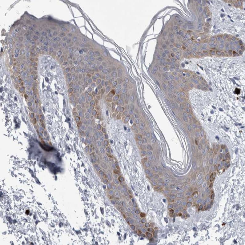
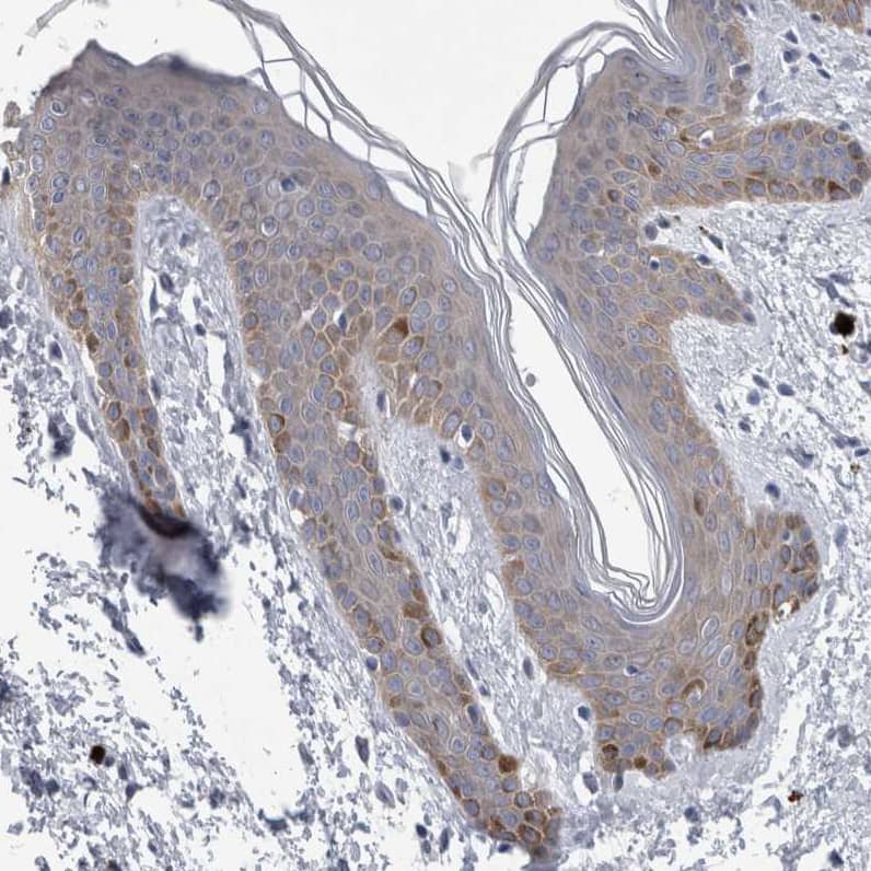
Staining of human skin shows strong cytoplasmic positivity in melanocytes.
Orthogonal Strategies: Analysis in human skin and skeletal muscle tissues using NBP1-93737 antibody. Corresponding FAM83H RNA-seq data are presented for the same tissues.
Analysis in rat cell line NBT-II.
Staining of human duodenum shows weak cytoplasmic positivity in glandular cells.
Analysis in human cell line MCF-7.
Staining of human skeletal muscle shows no positivity in myocytes as expected.
Staining of human stomach shows weak cytoplasmic positivity in glandular cells.

Product Details

Summary
Reactivity Hu, RtSpecies Glossary
Applications WB, IHC
Clonality
Polyclonal
Host
Rabbit
Conjugate
Unconjugated
Format
BSA Free
Validated by:
       

Orthogonal Strategies

 

Order Details

FAM83H Antibody - BSA Free Summary

Description
Novus Biologicals Rabbit FAM83H Antibody - BSA Free (NBP1-93737) is a polyclonal antibody validated for use in IHC, WB and ICC/IF. Anti-FAM83H Antibody: Cited in 1 publication. All Novus Biologicals antibodies are covered by our 100% guarantee.
Immunogen
This antibody was developed against Recombinant Protein corresponding to amino acids: SDKDKCSAIFRSDSLGTQGRLSRTLPASAEERDRLLRRMESMRKEKRVYSRFEVFCKKEEASSPGAGEGPAEEGTRDSKVGKFVPKILGTF
Isotype
IgG
Clonality
Polyclonal
Host
Rabbit
Gene
FAM83H
Purity
Immunogen affinity purified
Innovator's Reward
Test in a species/application not listed above to receive a full credit towards a future purchase.

Applications/Dilutions

Dilutions
  • Immunohistochemistry 1:20 - 1:50
  • Immunohistochemistry-Paraffin 1:20 - 1:50
  • Western Blot 0.04 - 0.4 ug/ml
Application Notes
For IHC-Paraffin, HIER pH 6 retrieval is recommended.
Control Peptide
FAM83H Protein (NBP1-93737PEP)
Publications
Read Publication using NBP1-93737.

Reactivity Notes

Immunogen displays the following percentage of sequence identity for non-tested species: Mouse (89%).

Packaging, Storage & Formulations

Storage
Store at 4C short term. Aliquot and store at -20C long term. Avoid freeze-thaw cycles.
Buffer
PBS (pH 7.2) and 40% Glycerol
Preservative
0.02% Sodium Azide
Purity
Immunogen affinity purified

Alternate Names for FAM83H Antibody - BSA Free

  • family with sequence similarity 83, member H
  • protein FAM83H

Limitations

This product is for research use only and is not approved for use in humans or in clinical diagnosis. Primary Antibodies are guaranteed for 1 year from date of receipt.

Customers Who Viewed This Item Also Viewed...

H00010117-Q01
Species: Hu
Applications: ELISA, AP, PA, WB
1719-SE
Species: Hu
Applications: EnzAct
MAB1142
Species: Hu
Applications: CyTOF-ready, Flow, WB
NBP3-47082
Species: Hu, Mu, Rt
Applications: ELISA, ICC/IF, IHC, WB
NBP3-41280
Species: Hu
Applications: WB
AF3026
Species: Mu
Applications: WB
NBP2-31800
Species: Hu
Applications: IHC,  IHC-P, WB
NBP1-87446
Species: Hu, Rt
Applications: IHC,  IHC-P, WB
NBP1-85500
Species: Hu, Mu
Applications: ICC/IF, IHC,  IHC-P, Simple Western, WB
NBP2-24646
Species: Bv, Ca, Eq, Hu, Mu, Pm
Applications: IHC,  IHC-P, WB
NBP1-90299
Species: Hu
Applications: ICC/IF, IHC, IHC-Fr,  IHC-P, WB
H00005355-P01
Species: Hu
Applications: ELISA, AP, PA, PAGE, WB
NBP3-35541
Species: Hu, Mu, Rt
Applications: ELISA, ICC/IF, IHC,  IHC-P, WB
NB100-360
Species: Hu, Mu, Rt
Applications: IB, ICC/IF, IHC,  IHC-P, IP, WB
NBP2-13075
Species: Ba, Hu, Pm, Mu, Rt
Applications: DB, ELISA, IB, ICC/IF, IHC-FrFl, IHC, IHC-Fr,  IHC-P, IP, WB
NBP2-49409
Species: Hu
Applications: IHC,  IHC-P
NBP2-03417
Species: Hu, Mu, Rt
Applications: Flow, IHC,  IHC-P, WB
NBP1-89330
Species: Hu
Applications: IHC,  IHC-P

Publications for FAM83H Antibody (NBP1-93737)(1)

We have publications tested in 1 application: ICC/IF.


Filter By Application
ICC/IF
(1)
All Applications
Filter By Species
All Species

Reviews for FAM83H Antibody (NBP1-93737) (0)

There are no reviews for FAM83H Antibody (NBP1-93737). By submitting a review you will receive an Amazon e-Gift Card or Novus Product Discount.
  • Review with no image -- $10/€7/£6/$10 CAD/¥70 Yuan/¥1110 Yen
  • Review with an image -- $25/€18/£15/$25 CAD/¥150 Yuan/¥2500 Yen

Product General Protocols

Find general support by application which include: protocols, troubleshooting, illustrated assays, videos and webinars.

Video Protocols

WB Video Protocol

FAQs for FAM83H Antibody (NBP1-93737) (0)

There are no specific FAQs related to this product. Read our general customer & technical service FAQs.

Customers Who Bought This Also Bought

Contact Information

Product PDFs

Calculators

Concentration Calculator

The concentration calculator allows you to quickly calculate the volume, mass or concentration of your vial. Simply enter your mass, volume, or concentration values for your reagent and the calculator will determine the rest.

=
÷

Review this Product

Be the first to review our FAM83H Antibody - BSA Free and receive a gift card or discount.

Bioinformatics

Gene Symbol FAM83H