ELMSAN1 Antibody - BSA Free

Images

 
Immunocytochemistry/ Immunofluorescence: ELMSAN1 Antibody [NBP1-88407] - Immunofluorescent staining of human cell line A-431 shows localization to nucleoplasm.
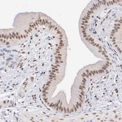
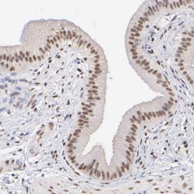
Immunohistochemistry-Paraffin: ELMSAN1 Antibody [NBP1-88407] - Staining of human gallbladder shows moderate nuclear positivity in glandular cells.

Product Details

Summary
Reactivity HuSpecies Glossary
Applications ICC/IF, IHC
Clonality
Polyclonal
Host
Rabbit
Conjugate
Unconjugated
Format
BSA Free

Order Details

View Available Formulations
Catalog# & Formulation Size Price

ELMSAN1 Antibody - BSA Free Summary

Description
Novus Biologicals Rabbit ELMSAN1 Antibody - BSA Free (NBP1-88407) is a polyclonal antibody validated for use in IHC and ICC/IF. All Novus Biologicals antibodies are covered by our 100% guarantee.
Immunogen
This antibody was developed against Recombinant Protein corresponding to amino acids: AQEEVEVDIKASDILILRSHESNAPGSAGGQASEKPREGTGKSRRALPFSEKKKKTETFSKTQNQENTFPCK
Isotype
IgG
Clonality
Polyclonal
Host
Rabbit
Gene
ELMSAN1
Purity
Affinity purified
Innovator's Reward
Test in a species/application not listed above to receive a full credit towards a future purchase.

Applications/Dilutions

Dilutions
  • Immunocytochemistry/ Immunofluorescence 0.25-2 ug/ml
  • Immunohistochemistry 1:20 - 1:50
  • Immunohistochemistry-Paraffin 1:20 - 1:50
Application Notes
For IHC-Paraffin, HIER pH 6 retrieval is recommended. Immunocytochemistry/Immunofluorescence Fixation Permeabilization: Use PFA/Triton X-100.
Control Peptide
ELMSAN1 Protein (NBP1-88407PEP)

Packaging, Storage & Formulations

Storage
Store at 4C short term. Aliquot and store at -20C long term. Avoid freeze-thaw cycles.
Buffer
PBS (pH 7.2) and 40% Glycerol
Preservative
0.02% Sodium Azide
Purity
Affinity purified

Alternate Names for ELMSAN1 Antibody - BSA Free

  • c14_5541
  • C14orf117
  • C14orf43
  • chromosome 14 open reading frame 117
  • chromosome 14 open reading frame 43
  • ELM2 and Myb/SANT-like domain containing 1
  • ELMSAN1
  • FLJ00335
  • hypothetical protein LOC91748
  • LSR68

Background

Chimera RNA interference (chimera RNAi) is process by which small interfering RNA/DNA chimera triggers the destruction of mRNA for the original gene. The discovery work, design, and application of chimera RNAi has been pioneered by Professor Kaoru Saigo and Dr. Kumiko Ui-Tei at the University of Tokyo. Chimera RNAi has many advantages over the conventional siRNAs. First, it has been demonstrated to have reliable knock-down for over 10,000 human genes. Because the human genome is composed of an intricate, genetic network, chimera RNAi's unique design has successfully obviated the off-target effects including microRNA-based influence. Another advantage of the chimera RNAi technology is its effectiveness at low concentrations (0.5nM to 5nM); only mRNA is destroyed so genomic genes are not affected. Finally, having both the sense and anti-sense strands consisting RNA/DNA chimera, it offers much greater compound stability for streamlining in vitro and in vivo assays and applications while minimizing interferon induction and other adverse reactions.

Limitations

This product is for research use only and is not approved for use in humans or in clinical diagnosis. Primary Antibodies are guaranteed for 1 year from date of receipt.

Customers Who Viewed This Item Also Viewed...

MAB1224
Species: Hu
Applications: IHC, WB
NB600-302
Species: Bv, Dr, Hu, Mu
Applications: ChIP, ELISA, Flow-IC, Flow, IB, ICC/IF, IHC, IHC-Fr,  IHC-P, IP, PLA, S-ELISA, Simple Western, WB
NBP2-59072
Species: Hu, Mu, Rt
Applications: ELISA, ICC/IF, IHC,  IHC-P, WB
NBP2-59451
Species: Hu
Applications: ELISA, Flow, ICC/IF, MiAr, Simple Western, WB
NBP2-46157
Species: Hu
Applications: Flow, IHC,  IHC-P, WB
NB100-56098
Species: Ca, Hu, Mu, Rt
Applications: IHC,  IHC-P, IP, WB
NBP2-92041
Species: Hu, Mu, Rt
Applications: ICC/IF, WB
NBP2-59786
Species: Hu
Applications: ICC/IF, IHC,  IHC-P, Simple Western
NB600-261
Species: Hu, Mu
Applications: ChIP, Flow, GS, IP, WB
NBP1-88407
Species: Hu
Applications: ICC/IF, IHC

Publications for ELMSAN1 Antibody (NBP1-88407) (0)

There are no publications for ELMSAN1 Antibody (NBP1-88407).
By submitting your publication information earn gift cards and discounts for future purchases.

Reviews for ELMSAN1 Antibody (NBP1-88407) (0)

There are no reviews for ELMSAN1 Antibody (NBP1-88407). By submitting a review you will receive an Amazon e-Gift Card or Novus Product Discount.
  • Review with no image -- $10/€7/£6/$10 CAD/¥70 Yuan/¥1110 Yen
  • Review with an image -- $25/€18/£15/$25 CAD/¥150 Yuan/¥2500 Yen

Product General Protocols

Find general support by application which include: protocols, troubleshooting, illustrated assays, videos and webinars.

Video Protocols

ICC/IF Video Protocol

FAQs for ELMSAN1 Antibody (NBP1-88407) (0)

There are no specific FAQs related to this product. Read our general customer & technical service FAQs.

Customers Who Bought This Also Bought

Contact Information

Product PDFs

Calculators

Concentration Calculator

The concentration calculator allows you to quickly calculate the volume, mass or concentration of your vial. Simply enter your mass, volume, or concentration values for your reagent and the calculator will determine the rest.

=
÷

Review this Product

Be the first to review our ELMSAN1 Antibody - BSA Free and receive a gift card or discount.

Bioinformatics

Gene Symbol ELMSAN1